Shopping Cart
Remove All
Your shopping cart is currently empty
Anti-CD117 Antibody (3E831) is a Rabbit antibody targeting CD117. Anti-CD117 Antibody (3E831) can be used in IHC,WB.
| Pack Size | Price | USA Warehouse | Global Warehouse | Quantity |
|---|---|---|---|---|
| 50 μL | $297 | 7-10 days | 7-10 days | |
| 100 μL | $496 | 7-10 days | 7-10 days |
| Description | Anti-CD117 Antibody (3E831) is a Rabbit antibody targeting CD117. Anti-CD117 Antibody (3E831) can be used in IHC,WB. |
| Synonyms | v-kit Hardy-Zuckerman 4 feline sarcoma viral oncogene homolog, SCFR, PBT, c-kit, CD117 |
| Ig Type | IgG |
| Clone | 3E831 |
| Reactivity | Human |
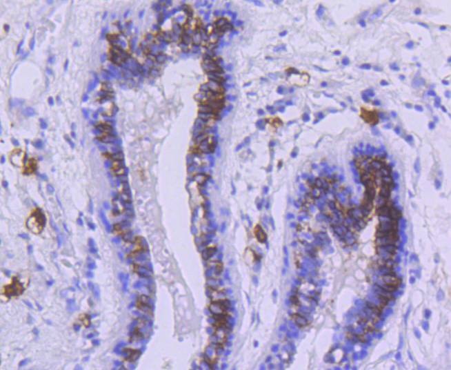
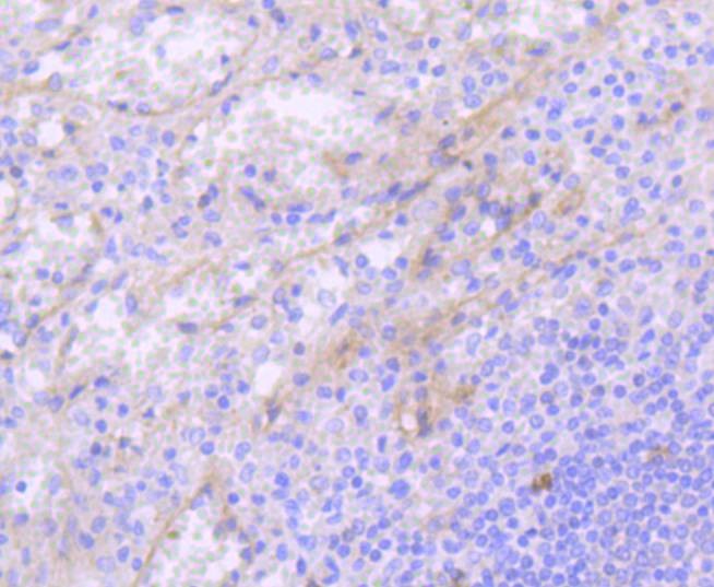
| Verified Activity | 1. Immunohistochemical analysis of paraffin-embedded human breast carcinoma tissue using anti-c-Kit antibody. Counter stained with hematoxylin. 2. Immunohistochemical analysis of paraffin-embedded human spleen tissue using anti-c-Kit antibody. Counter stained with hematoxylin. ![]() ![]() |
| Application | |
| Recommended Dose | WB: 1:1000; IHC: 1:50-200 |
| Antibody Type | Monoclonal |
| Host Species | Rabbit |
| Construction | Recombinant Antibody |
| Purification | ProA affinity purified |
| Appearance | Liquid |
| Formulation | 1*TBS (pH7.4), 1%BSA, 40%Glycerol. Preservative: 0.05% Sodium Azide. |
| Research Background | The c-Kit proto-oncogene is a member of the receptor tyrosine kinase family and, more specifically, is closely related to the platelet derived growth factor receptor (PDGFR). c-Kit, the normal cellular homolog of the HZ4-feline sarcoma virus transforming gene (v-Kit), encodes a transmembrane receptor. c-Kit regulates a variety of biological responses including chemotaxis, cell proliferation, apoptosis and adhesion. c-Kit is also identical with the product of the W locus in mice and, as such, is integral to the development of mast cells and hematopoiesis. The ligand for the c-Kit receptor (KL) has been identified and is encoded at the murine steel (SI) locus. Kit is the human homolog of the proto-oncogene c-Kit. Mutations in Kit are integral for tumor growth and progression in various cancers. |
| Conjucates | Unconjugated |
| Immunogen | Recombinant Protein |
| Uniprot ID |
| Molecular Weight | Theoretical: 110 kDa. |
| Stability & Storage | Store at -20°C or -80°C for 12 months. Avoid repeated freeze-thaw cycles. |
| Transport | Shipping with blue ice. |
| Size | Quantity | Unit Price | Amount | Operation |
|---|

Copyright © 2015-2026 TargetMol Chemicals Inc. All Rights Reserved.