Shopping Cart
Remove All
Your shopping cart is currently empty
Anti-CCL4 Polyclonal Antibody is a Rabbit antibody targeting CCL4. Anti-CCL4 Polyclonal Antibody can be used in IF, IHC-Fr, IHC-P.
| Pack Size | Price | USA Warehouse | Global Warehouse | Quantity |
|---|---|---|---|---|
| 50 μL | $222 | 7-10 days | 7-10 days | |
| 100 μL | $374 | 7-10 days | 7-10 days | |
| 200 μL | $528 | 7-10 days | 7-10 days |
| Description | Anti-CCL4 Polyclonal Antibody is a Rabbit antibody targeting CCL4. Anti-CCL4 Polyclonal Antibody can be used in IF, IHC-Fr, IHC-P. |
| Synonyms | Small-inducible cytokine A4, SIS-gamma, Scya4, Protein H400, Macrophage inflammatory protein 1-beta (MIP-1-beta), Immune activation protein 2 (ACT-2;ACT2), Ccl4, C-C motif chemokine 4 |
| Ig Type | IgG |
| Reactivity | Human,Rat (predicted:Mouse) |
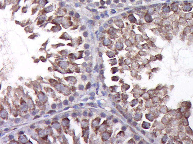
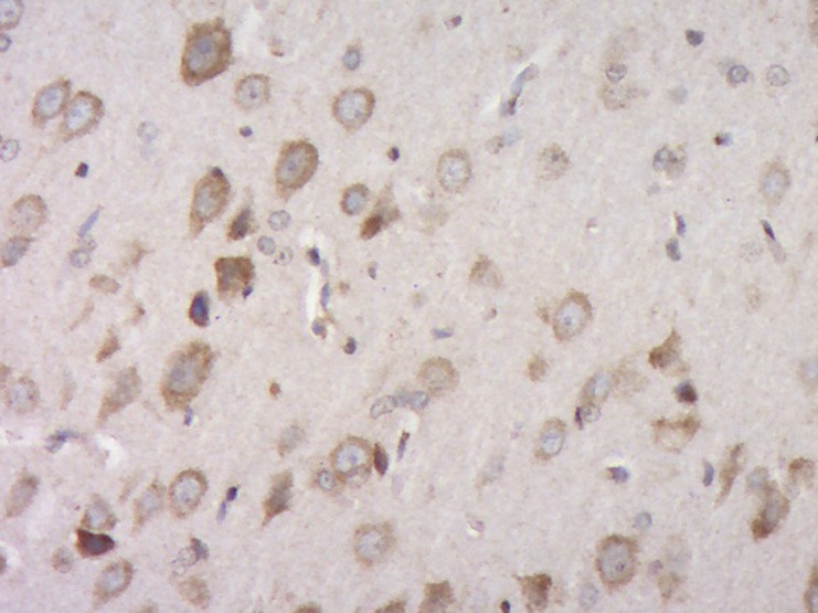
| Verified Activity | 1. Paraformaldehyde-fixed, paraffin embedded (Rat brain); Antigen retrieval by boiling in sodium citrate buffer (pH6.0) for 15 min; Block endogenous peroxidase by 3% hydrogen peroxide for 20 min; Blocking buffer (normal goat serum) at 37°C for 30 min; Antibody incubation with (CCL4) Polyclonal Antibody, Unconjugated (TMAB-00311) at 1:400 overnight at 4°C, followed by operating according to SP Kit (Rabbit) instructions and DAB staining. 2. Paraformaldehyde-fixed, paraffin embedded (Rat testis); Antigen retrieval by boiling in sodium citrate buffer (pH6.0) for 15 min; Block endogenous peroxidase by 3% hydrogen peroxide for 20 min; Blocking buffer (normal goat serum) at 37°C for 30 min; Antibody incubation with (CCL4) Polyclonal Antibody, Unconjugated (TMAB-00311) at 1:400 overnight at 4°C, followed by operating according to SP Kit (Rabbit) instructions and DAB staining. ![]() ![]() |
| Application | |
| Recommended Dose | IHC-P: 1:100-500; IHC-Fr: 1:100-500; IF: 1:100-500 |
| Antibody Type | Polyclonal |
| Host Species | Rabbit |
| Subcellular Localization | Secreted. |
| Construction | Polyclonal Antibody |
| Purification | Protein A purified |
| Appearance | Liquid |
| Formulation | 0.01M TBS (pH7.4) with 1% BSA, 0.02% Proclin300 and 50% Glycerol. |
| Concentration | 1 mg/mL |
| Research Background | MIP1 alpha and MIP1 beta were originally co-purified from medium conditioned by an LPS-stimulated murine macrophage cell line. Human MIP1 beta refers to the products of several independently cloned cDNAs, including Act2, PAT 744, hH400, G26, HIMAP, HC21, and MAD 5a. The predicted protein products of these cDNAs represent variants that are between 94% - 98% identical and these proteins are all approximately 75% homologous to murine MIP1 beta. MIP1 beta also shares approximately 70% amino acid identity with MIP1 alpha. MIP1 proteins are expressed primarily in T cells, B cells, and monocytes after antigen or mitogen stimulation. The MIP1 proteins have chemoattractant and adhesive effects on lymphocytes, with MIP1 alpha and MIP1 beta preferentially attracting CD8+ and CD4+ T cells, respectively. A signal transducing receptor designated the CC chemokine receptor 1 (CC CKR1) with seven transmembrane domains that binds MIP1 alpha, MIP1 beta, MCP1 and RANTES with varying affinities has been isolated. |
| Immunogen | KLH conjugated synthetic peptide: mouse MIP-1 beta |
| Antigen Species | Mouse |
| Gene Name | CCL4 |
| Gene ID | |
| Protein Name | C-C motif chemokine 4 |
| Uniprot ID | |
| Biology Area | HIV-related,Beta Chemokines (CC),Macrophage / Inflamm.,Cytokines and cytokine receptors ELISA kits |
| Function | Monokine with inflammatory and chemokinetic properties. Binds to CCR5. One of the major HIV-suppressive factors produced by CD8+ T-cells. Recombinant MIP-1-beta induces a dose-dependent inhibition of different strains of HIV-1, HIV-2, and simian immunodeficiency virus (SIV). The processed form MIP-1-beta(3-69) retains the abilities to induce down-modulation of surface expression of the chemokine receptor CCR5 and to inhibit the CCR5-mediated entry of HIV-1 in T-cells. MIP-1-beta(3-69) is also a ligand for CCR1 and CCR2 isoform B. |
| Molecular Weight | Theoretical: 7.8 kDa. |
| Stability & Storage | Store at -20°C or -80°C for 12 months. Avoid repeated freeze-thaw cycles. |
| Transport | Shipping with blue ice. |
| Size | Quantity | Unit Price | Amount | Operation |
|---|

Copyright © 2015-2026 TargetMol Chemicals Inc. All Rights Reserved.