Shopping Cart
Remove All
Your shopping cart is currently empty
Anti-CCDC80 Polyclonal Antibody is a Rabbit antibody targeting CCDC80. Anti-CCDC80 Polyclonal Antibody can be used in IF,IHC-Fr,IHC-P.
| Pack Size | Price | USA Warehouse | Global Warehouse | Quantity |
|---|---|---|---|---|
| 50 μL | $220 | 7-10 days | 7-10 days | |
| 100 μL | $372 | 7-10 days | 7-10 days | |
| 200 μL | $528 | 7-10 days | 7-10 days |
| Description | Anti-CCDC80 Polyclonal Antibody is a Rabbit antibody targeting CCDC80. Anti-CCDC80 Polyclonal Antibody can be used in IF,IHC-Fr,IHC-P. |
| Synonyms | URB, Up-regulated in BRS-3 deficient mouse homolog, steroid sensitive protein 1, steroid sensitive gene 1, SSG1, Protein Ymer, okuribin, Nuclear envelope protein okuribin, DRO1, Down regulated by oncogenes protein 1, Coiled coil domain containing protein 50, Coiled coil domain containing 80, CL2, CCDC80, CCD80, CCD50 |
| Ig Type | IgG |
| Reactivity | Mouse,Rat (predicted:Human,Chicken,Pig,Cow,Horse,Rabbit,Sheep) |
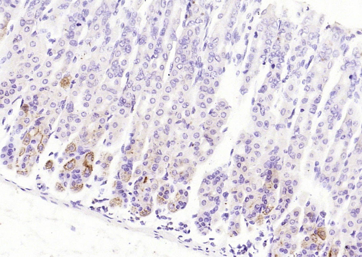
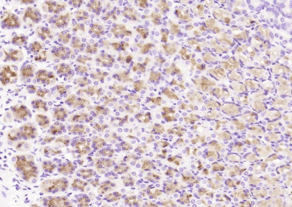
| Verified Activity | 1. Paraformaldehyde-fixed, paraffin embedded (rat stomach); Antigen retrieval by boiling in sodium citrate buffer (pH6.0) for 15 min; Block endogenous peroxidase by 3% hydrogen peroxide for 20 min; Blocking buffer (normal goat serum) at 37°C for 30 min; Antibody incubation with (CCDC80) Polyclonal Antibody, Unconjugated (TMAB-00303) at 1:200 overnight at 4°C, followed by operating according to SP Kit (Rabbit) instructionsand DAB staining. 2. Paraformaldehyde-fixed, paraffin embedded (mouse stomach); Antigen retrieval by boiling in sodium citrate buffer (pH6.0) for 15 min; Block endogenous peroxidase by 3% hydrogen peroxide for 20 min; Blocking buffer (normal goat serum) at 37°C for 30 min; Antibody incubation with (CCDC80) Polyclonal Antibody, Unconjugated (TMAB-00303) at 1:200 overnight at 4°C, followed by operating according to SP Kit (Rabbit) instructionsand DAB staining. ![]() ![]() |
| Application | |
| Recommended Dose | IHC-P: 1:100-500; IHC-Fr: 1:100-500; IF: 1:100-500 |
| Antibody Type | Polyclonal |
| Host Species | Rabbit |
| Subcellular Localization | Secreted, extracellular space, extracellular matrix (By similarity). |
| Tissue Specificity | Expressed in dermal papilla and dermal fibroblasts (at protein level). Expressed in heart, thymus, placenta, pancreas, colon, epithelium, spleen and osteoblasts. |
| Construction | Polyclonal Antibody |
| Purification | Protein A purified |
| Appearance | Liquid |
| Formulation | 0.01M TBS (pH7.4) with 1% BSA, 0.02% Proclin300 and 50% Glycerol. |
| Concentration | 1 mg/mL |
| Research Background | CCDC80 (Coiled-Coil Domain Containing 80) is a Protein Coding gene. Diseases associated with CCDC80 include Herpes Zoster Oticus and Localized Osteosarcoma. Gene Ontology (GO) annotations related to this gene include heparin binding and glycosaminoglycan binding. |
| Immunogen | KLH conjugated synthetic peptide: human CCDC80 |
| Antigen Species | Human |
| Gene Name | CCDC80 |
| Gene ID | |
| Protein Name | Coiled-coil domain-containing protein 80 |
| Uniprot ID | |
| Biology Area | Bone,Metabolism,Adipogenesis |
| Function | Promotes cell adhesion and matrix assembly (By similarity). |
| Molecular Weight | Theoretical: 106 kDa. |
| Stability & Storage | Store at -20°C or -80°C for 12 months. Avoid repeated freeze-thaw cycles. |
| Transport | Shipping with blue ice. |
| Size | Quantity | Unit Price | Amount | Operation |
|---|

Copyright © 2015-2026 TargetMol Chemicals Inc. All Rights Reserved.