Shopping Cart
Remove All
Your shopping cart is currently empty
Synonyms: HP1A, Heterochromatin protein 1 homolog alpha (HP1 alpha), Chromobox protein homolog 5, CBX5, Antigen p25

| Pack Size | Price | USA Stock | Global Stock | Quantity |
|---|---|---|---|---|
| 50 μL | $217 | 7-10 days | 7-10 days | |
| 100 μL | $317 | 7-10 days | 7-10 days |
| Description | Anti-CBX5 Antibody (7S799) is a Mouse antibody targeting CBX5. Anti-CBX5 Antibody (7S799) can be used in IHC. |
| Synonyms | HP1A, Heterochromatin protein 1 homolog alpha (HP1 alpha), Chromobox protein homolog 5, CBX5, Antigen p25 |
| Ig Type | IgG1 |
| Clone | 7S799 |
| Reactivity | Human,Mouse,Rat |
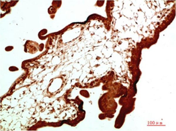
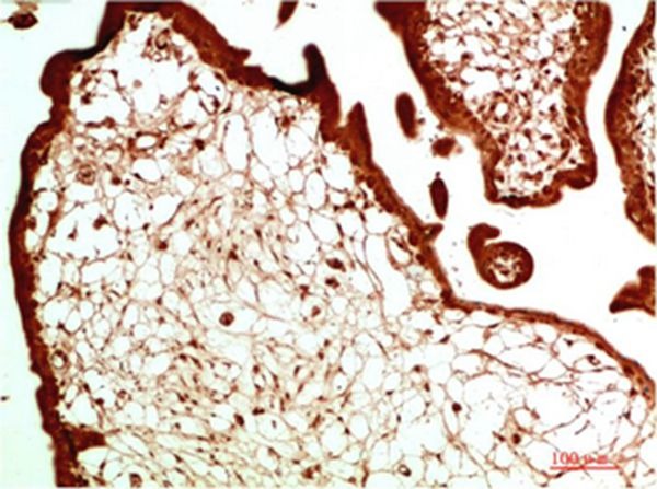
| Verified Activity | 1. Immunohistochemical analysis of paraffin-embedded Human Placenta Tissue using HP-1α Mouse mAb diluted at 1:500. 2. Immunohistochemical analysis of paraffin-embedded Human Placenta Tissue using HP-1α Mouse mAb diluted at 1:500. |
| Application | |
| Recommended Dose | IHC: 1:50-2000 |
| Antibody Type | Monoclonal |
| Host Species | Mouse |
| Construction | Hybridoma Monoclonal Antibody |
| Appearance | Liquid |
| Formulation | Liquid in PBS containing 50% glycerol, 0.5% BSA and 0.02% sodium azide. |
| Conjucates | Unconjugated |
| Immunogen | Recombinant Protein: HP-1α |
| Molecular Weight | Theoretical: 22 kDa. |
| Stability & Storage | Store at -20°C or -80°C for 12 months. Avoid repeated freeze-thaw cycles. |
| Transport | Shipping with blue ice. |
| Size | Quantity | Unit Price | Amount | Operation |
|---|

Copyright © 2015-2026 TargetMol Chemicals Inc. All Rights Reserved.