Shopping Cart
Remove All
Your shopping cart is currently empty
Anti-CBX3 Antibody (8Z290) is a Rabbit antibody targeting CBX3. Anti-CBX3 Antibody (8Z290) can be used in FCM,IHC,IP,WB.
| Pack Size | Price | USA Warehouse | Global Warehouse | Quantity |
|---|---|---|---|---|
| 50 μL | $296 | 7-10 days | 7-10 days | |
| 100 μL | $496 | 7-10 days | 7-10 days |
| Description | Anti-CBX3 Antibody (8Z290) is a Rabbit antibody targeting CBX3. Anti-CBX3 Antibody (8Z290) can be used in FCM,IHC,IP,WB. |
| Synonyms | Modifier 2 protein, HP1Hs gamma, HP1 gamma homolog, HP1 gamma, Heterochromatin protein HP1 gamma, Heterochromatin protein 1 homolog gamma, Heterochromatin like protein 1, HECH, GAMMA, Chromobox protein homolog 3, Chromobox homolog 3 (HP1 gamma homolog, Drosophila), Chromobox homolog 3, CBX3_HUMAN, CBX3, CBX 3 |
| Ig Type | IgG |
| Clone | 8Z290 |
| Reactivity | Human,Mouse,Rat |
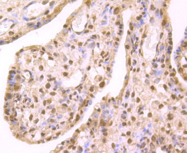
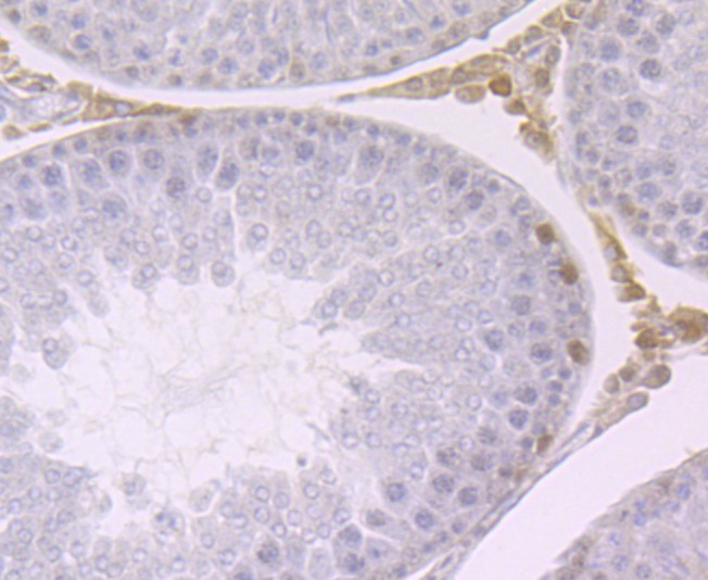
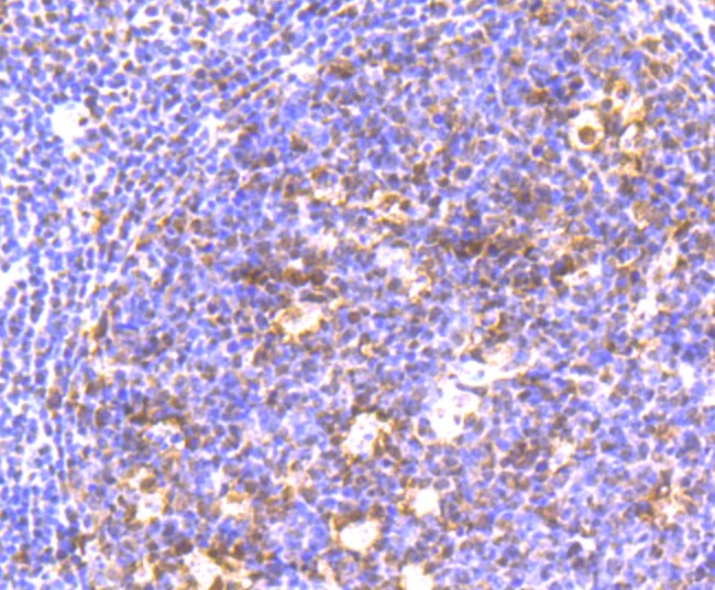
| Verified Activity | 1. Western blot analysis of HP1 gamma on PC-12 (1) and MCF-7 (2) cell lysate using anti-HP1 gamma antibody at 1/500 dilution. 2. Immunohistochemical analysis of paraffin-embedded rat testis tissue using anti-HP1 gamma antibody. Counter stained with hematoxylin. 3. Immunohistochemical analysis of paraffin-embedded human tonsil tissue using anti-HP1 gamma antibody. Counter stained with hematoxylin. 4. Immunohistochemical analysis of paraffin-embedded human placenta tissue using anti-HP1 gamma antibody. Counter stained with hematoxylin. 5. Immunohistochemical analysis of paraffin-embedded mouse colon tissue using anti-HP1 gamma antibody. Counter stained with hematoxylin. 6. Flow cytometric analysis of Hela cells with HP1 gamma antibody at 1/100 dilution (red) compared with an unlabelled control (cells without incubation with primary antibody; black). Alexa Fluor® 488-conjugated goat anti-rabbit IgG was used as the secondary antibody. ![]() ![]() ![]() ![]() ![]() ![]() |
| Application | |
| Recommended Dose | WB: 1:500; IHC: 1:50-200; IP: 1:10-50; FCM: 1:50-100 |
| Antibody Type | Monoclonal |
| Host Species | Rabbit |
| Construction | Recombinant Antibody |
| Purification | ProA affinity purified |
| Appearance | Liquid |
| Formulation | 1*TBS (pH7.4), 1%BSA, 40%Glycerol. Preservative: 0.05% Sodium Azide. |
| Research Background | Chromatin assembly factor-1 (CAF-1) is a multisubunit protein complex that comprises three polypeptide subunits known as p150, p60, and p48. CAF-1 is a nucleosome assembly factor that deposits newly synthesized and acetylated histones H3/H4 into nascent chromatin during DNA replication. The p150 subunit of CAF-1 also supports the maintenance of heterochromatin, which requires the synthesis of both new histones and heterochromatin proteins and their orderly assembly during DNA replication. Heterochromatin is characterized as densely coiled chromatin that generally replicates late during S phase, has a low gene density, and contains large blocks of repetitive DNA that is relatively inaccessible to DNA-modifying reagents. In late S phase, p150 directly associates with heterochromatin associated proteins 1 (HP1α, HP1β and HP1γ). As cells prepare for mitosis, CAF-1 p150 and some HP1 progressively dissociate from heterochromatin, coinciding with the phosphorylation of Histone H3. The HP1 proteins reassociate with chromatin at the end of mitosis, as Histone H3 is dephosphorylated. |
| Conjucates | Unconjugated |
| Immunogen | Recombinant Protein |
| Uniprot ID |
| Molecular Weight | Theoretical: 20 kDa. |
| Stability & Storage | Store at -20°C or -80°C for 12 months. Avoid repeated freeze-thaw cycles. |
| Transport | Shipping with blue ice. |
| Size | Quantity | Unit Price | Amount | Operation |
|---|

Copyright © 2015-2026 TargetMol Chemicals Inc. All Rights Reserved.