Shopping Cart
Remove All
Your shopping cart is currently empty
Anti-CBX3 Antibody (1K457) is a Mouse antibody targeting CBX3. Anti-CBX3 Antibody (1K457) can be used in IHC,WB.

| Pack Size | Price | USA Stock | Global Stock | Quantity |
|---|---|---|---|---|
| 50 μL | $217 | 7-10 days | 7-10 days | |
| 100 μL | $318 | 7-10 days | 7-10 days |
| Description | Anti-CBX3 Antibody (1K457) is a Mouse antibody targeting CBX3. Anti-CBX3 Antibody (1K457) can be used in IHC,WB. |
| Synonyms | Chromobox protein homolog 3 (HECH) (Heterochromatin protein 1 homolog gamma) (HP1 gamma) (Modifier 2 protein), CBX 3 |
| Ig Type | IgG1 |
| Clone | 1K457 |
| Reactivity | Human,Mouse,Rat |
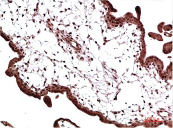
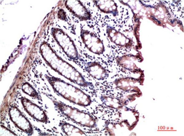
| Verified Activity | 1. Western blot analysis of 1) Hela Cell Lysate, 2)3T3 Cell Lysate, 3) PC12 Cell Lysate using HP-1γ Mouse mAb diluted at 1:1000. 2. Immunohistochemical analysis of paraffin-embedded Human Colon Carcinoma Tissue using HP-1γ Mouse mAb diluted at 1:200. 3. Immunohistochemical analysis of paraffin-embedded Human Placenta Tissue using HP-1γ Mouse mAb diluted at 1:200. ![]() ![]() ![]() |
| Application | |
| Recommended Dose | WB: 1:500-2000; IHC: 1:50-2000 |
| Antibody Type | Monoclonal |
| Host Species | Mouse |
| Construction | Hybridoma Monoclonal Antibody |
| Appearance | Liquid |
| Formulation | Liquid in PBS containing 50% glycerol, 0.5% BSA and 0.02% sodium azide. |
| Conjucates | Unconjugated |
| Immunogen | Recombinant Protein: HP-1γ |
| Uniprot ID |
| Molecular Weight | Theoretical: 24 kDa. |
| Stability & Storage | Store at -20°C or -80°C for 12 months. Avoid repeated freeze-thaw cycles. |
| Transport | Shipping with blue ice. |
| Size | Quantity | Unit Price | Amount | Operation |
|---|

Copyright © 2015-2026 TargetMol Chemicals Inc. All Rights Reserved.