Shopping Cart
Remove All
Your shopping cart is currently empty
Anti-Caspase-6 Antibody (5J689) is a Rabbit antibody targeting Caspase-6. Anti-Caspase-6 Antibody (5J689) can be used in ICC/IF,IHC,IP,WB.
| Pack Size | Price | USA Warehouse | Global Warehouse | Quantity |
|---|---|---|---|---|
| 50 μL | $296 | 7-10 days | 7-10 days | |
| 100 μL | $498 | 7-10 days | 7-10 days |
| Description | Anti-Caspase-6 Antibody (5J689) is a Rabbit antibody targeting Caspase-6. Anti-Caspase-6 Antibody (5J689) can be used in ICC/IF,IHC,IP,WB. |
| Synonyms | OTTHUMP00000162743, OTTHUMP00000162742, MCH2, Caspase-6 subunit p11, Caspase6, Caspase 6, apoptosis related cysteine peptidase, Caspase 6 apoptosis related cysteine protease, CASP6_HUMAN, CASP-6, CASP6, Apoptotic protease Mch-2, Apoptotic protease MCH2 |
| Ig Type | IgG |
| Clone | 5J689 |
| Reactivity | Human,Mouse,Rat |
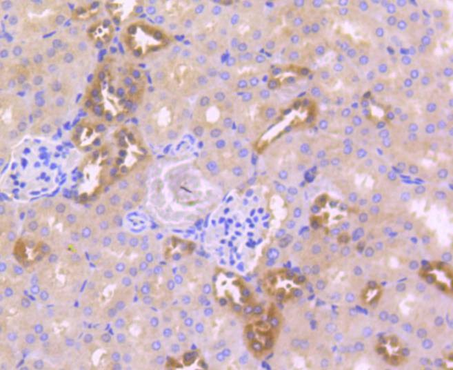
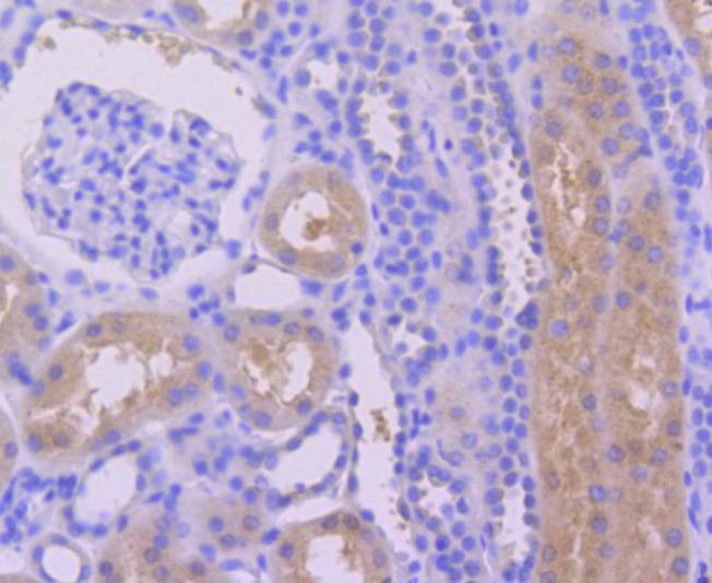
| Verified Activity | 1. Western blot analysis of Caspase-6 on different lysates using anti-Caspase-6 antibody at 1/1,000 dilution. Positive control: Lane 1: Mouse colon, Lane 2: MCF-7. 2. Immunohistochemical analysis of paraffin-embedded human breast carcinoma tissue using anti-Caspase-6 antibody. Counter stained with hematoxylin. 3. Immunohistochemical analysis of paraffin-embedded human kidney tissue using anti-Caspase-6 antibody. Counter stained with hematoxylin. 4. Immunohistochemical analysis of paraffin-embedded mouse kidney tissue using anti-Caspase-6 antibody. Counter stained with hematoxylin. 5. ICC staining Caspase-6 in SW480 cells (green). The nuclear counter stain is DAPI (blue). Cells were fixed in paraformaldehyde, permeabilised with 0.25% Triton X100/PBS. ![]() ![]() ![]() ![]() ![]() |
| Application | |
| Recommended Dose | WB: 1:1000-2000; IHC: 1:50-200; ICC/IF: 1:50-200 |
| Antibody Type | Monoclonal |
| Host Species | Rabbit |
| Construction | Recombinant Antibody |
| Purification | ProA affinity purified |
| Appearance | Liquid |
| Formulation | 1*TBS (pH7.4), 1%BSA, 40%Glycerol. Preservative: 0.05% Sodium Azide. |
| Research Background | A unique family of cysteine proteases has been described that differs in sequence, structure and substrate specificity from any previously described protease family. This family, Ced-3/caspase-1, is comprised of caspase-1, caspase-2, caspase-3, caspase-4, caspase-6, caspase-7 (also designated Mch3, ICE-LAP3 or CMH-1), caspase-9 and caspase-10. Ced-3/ caspase-1 family members function as key components of the apoptotic machinery and act to destroy specific target proteins which are critical to cellular longevity. Poly(ADP-ribose)polymerase plays an integral role in surveying for DNA mutations and double strand breaks. Caspase-3, caspase-7 and caspase-9, but not caspase-1, have been shown to cleave the nuclear protein PARP into an apoptotic fragment. caspase-6, but not caspase-3, has been shown to cleave the nuclear lamins, which are critical to maintaining the integrity of the nuclear envelope and cellular morphology. Caspase-10 has been shown to activate caspase-3 and caspase-7 in response to apoptotic stimuli. |
| Conjucates | Unconjugated |
| Immunogen | Recombinant Protein |
| Uniprot ID |
| Molecular Weight | Theoretical: 11/33 kDa. |
| Stability & Storage | Store at -20°C or -80°C for 12 months. Avoid repeated freeze-thaw cycles. |
| Transport | Shipping with blue ice. |
| Size | Quantity | Unit Price | Amount | Operation |
|---|

Copyright © 2015-2026 TargetMol Chemicals Inc. All Rights Reserved.