Shopping Cart
Remove All
Your shopping cart is currently empty
Anti-Caspase-1 Antibody (4V493) is a Rabbit antibody targeting Caspase-1. Anti-Caspase-1 Antibody (4V493) can be used in FCM,IHC,WB.
| Pack Size | Price | USA Warehouse | Global Warehouse | Quantity |
|---|---|---|---|---|
| 50 μL | $298 | 7-10 days | 7-10 days | |
| 100 μL | $497 | 7-10 days | 7-10 days |
| Description | Anti-Caspase-1 Antibody (4V493) is a Rabbit antibody targeting Caspase-1. Anti-Caspase-1 Antibody (4V493) can be used in FCM,IHC,WB. |
| Synonyms | p45, Interleukin-1 β convertase (IL-1BC), Interleukin-1 beta convertase (IL-1BC), Interleukin-1 b-converting enzyme (ICE, IL1BCE, IL-1BC, IL1BC, IL-1 β-converting enzyme), IL-1 b-converting enzyme), Caspase-1, CASP 1 |
| Ig Type | IgG |
| Clone | 4V493 |
| Reactivity | Human,Mouse,Rat |
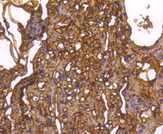
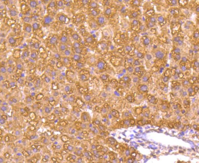
| Verified Activity | 1. Western blot analysis of Caspase-1 on different lysates using anti-Caspase-1 antibody at 1/1,000 dilution. Positive control: Lane 1: THP-1, Lane 2: Jurkat. 2. Immunohistochemical analysis of paraffin-embedded human lung tissue using anti-Caspase-1 antibody. Counter stained with hematoxylin. 3. Immunohistochemical analysis of paraffin-embedded human lung cancer tissue using anti-Caspase-1 antibody. Counter stained with hematoxylin. 4. Immunohistochemical analysis of paraffin-embedded mouse liver tissue using anti-Caspase-1 antibody. Counter stained with hematoxylin. 5. Flow cytometric analysis of Hela cells with Caspase-1 antibody at 1/50 dilution (red) compared with an unlabelled control (cells without incubation with primary antibody; black). Alexa Fluor 488-conjugated goat anti rabbit IgG was used as the secondary antibody. ![]() ![]() ![]() ![]() ![]() |
| Application | |
| Recommended Dose | WB: 1:1000-2000; IHC: 1:50-200; FCM: 1:50-100 |
| Antibody Type | Monoclonal |
| Host Species | Rabbit |
| Construction | Recombinant Antibody |
| Purification | ProA affinity purified |
| Appearance | Liquid |
| Formulation | 1*TBS (pH7.4), 1%BSA, 40%Glycerol. Preservative: 0.05% Sodium Azide. |
| Research Background | Caspase-1, originally designated ICE (for IL-1 converting enzyme), is a member of the group of caspases with large prodomains. Caspase-1 promotes maturation of interleukin IL-1β and interleukin18 (IL-18) by proteolytic cleavage of precursor forms into biologically active pro-inflamatory cytokines. Active caspase-1, a (p20/p10)2 tetramer, is necessary and sufficient for cleavage of precursor IL-1 as well as for induction of apoptosis in some cell lines. The highly conserved family of caspases mediate many of the morphological and biochemical features of apoptosis, including structural dismantling of cell bodies and nuclei, fragmentation of genomic DNA, destruction of regulatory proteins and propagation of other pro-apoptotic molecules. The human Caspase-1 gene maps to chromosome 2q14 and encodes a cytoplasmic protein expressed in liver, heart, skeletal muscle kidney and testis. Caspase-1 has been implicated in inflammation, septic shock, and other situations such as wound healing and the growth of certain leukemias. |
| Conjucates | Unconjugated |
| Immunogen | Recombinant Protein |
| Uniprot ID |
| Molecular Weight | Theoretical: 45 kDa. |
| Stability & Storage | Store at -20°C or -80°C for 12 months. Avoid repeated freeze-thaw cycles. |
| Transport | Shipping with blue ice. |
| Size | Quantity | Unit Price | Amount | Operation |
|---|

Copyright © 2015-2026 TargetMol Chemicals Inc. All Rights Reserved.