Shopping Cart
Remove All
Your shopping cart is currently empty
Anti-CASP2 Antibody (8H206) is a Rabbit antibody targeting CASP2. Anti-CASP2 Antibody (8H206) can be used in FCM,ICC/IF,IHC,WB.
| Pack Size | Price | USA Warehouse | Global Warehouse | Quantity |
|---|---|---|---|---|
| 50 μL | $296 | 7-10 days | 7-10 days | |
| 100 μL | $498 | 7-10 days | 7-10 days |
| Description | Anti-CASP2 Antibody (8H206) is a Rabbit antibody targeting CASP2. Anti-CASP2 Antibody (8H206) can be used in FCM,ICC/IF,IHC,WB. |
| Synonyms | Protease ICH-1, Neural precursor cell expressed developmentally down-regulated protein 2, NEDD-2, ICH1 NEDD2, EC 3.4.22.55, Caspase-2, Caspase2, CASP-2 |
| Ig Type | IgG |
| Clone | 8H206 |
| Reactivity | Human,Mouse |
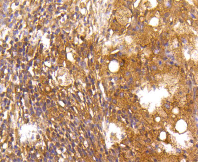
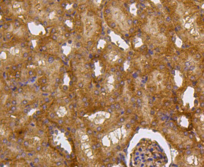
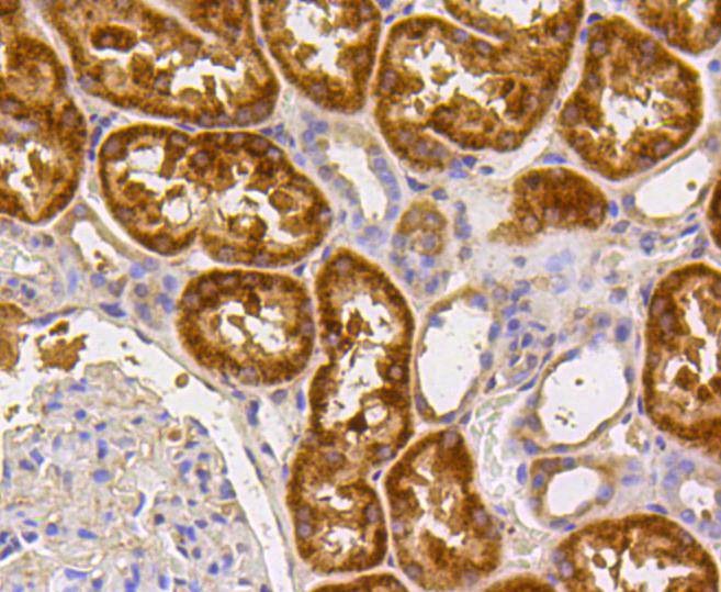
| Verified Activity | 1. Western blot analysis of Caspase-2 on 293 cell lysate using anti-Caspase-2 antibody at 1/1,000 dilution. 2. Immunohistochemical analysis of paraffin-embedded human lung cancer tissue using anti-Caspase-2 antibody. Counter stained with hematoxylin. 3. Immunohistochemical analysis of paraffin-embedded human kidney tissue using anti-Caspase-2 antibody. Counter stained with hematoxylin. 4. Immunohistochemical analysis of paraffin-embedded mouse kidney tissue using anti-Caspase-2 antibody. Counter stained with hematoxylin. 5. ICC staining Caspase-2 in Hela cells (green). The nuclear counter stain is DAPI (blue). Cells were fixed in paraformaldehyde, permeabilised with 0.25% Triton X100/PBS. 6. ICC staining Caspase-2 in A549 cells (green). The nuclear counter stain is DAPI (blue). Cells were fixed in paraformaldehyde, permeabilised with 0.25% Triton X100/PBS. 7. Flow cytometric analysis of Jurkat cells with Caspase-2 antibody at 1/50 dilution (blue) compared with an unlabelled control (cells without incubation with primary antibody; red). Alexa Fluor 488-conjugated goat anti rabbit IgG was used as the secondary antibody. ![]() ![]() ![]() ![]() ![]() ![]() ![]() |
| Application | |
| Recommended Dose | WB: 1:1000-2000; IHC: 1:50-200; ICC/IF: 1:50-200; FCM: 1:50-100 |
| Antibody Type | Monoclonal |
| Host Species | Rabbit |
| Construction | Recombinant Antibody |
| Purification | ProA affinity purified |
| Appearance | Liquid |
| Formulation | 1*TBS (pH7.4), 1%BSA, 40%Glycerol. Preservative: 0.05% Sodium Azide. |
| Research Background | Caspase-2 (Nedd2, ICH-1) is an aspartate-specific cysteine protease that is activated in response to various apoptotic stimuli. Caspase-2 is unique among the caspases in that it has features of both upstream caspases (long prodomain) and downstream caspases (DEXD substrate specificity). Caspase-2 is highly expressed in the brain during development, and is expressed at low levels in adult tissue. Specifically, caspase-2 localizes to the mitochondria, the Golgi, the cytoplasm, and the nucleus. Caspase-2 exists as two isoforms, caspase-2L and caspase-2S, which are produced by alternative splicing and differ in their N and C-termini. Caspase-2L acts as a positive regulator of apoptosis, whereas caspase-2S functions as a negative regulator of apoptosis. Following apoptotic stimuli, the caspase-2L precursor undergoes cleavage at Asp-153 to produce a fragment (p30). The p30 fragment undergoes further cleavage to generate a fragment containing amino acids 153-308 (p18) and a fragment containing amino acids 317-435 (p13 or p14). As apoptosis progresses, the p13 (p14) fragment can undergo further processing to yield a fragment containing amino acids 331-435 (p12). |
| Conjucates | Unconjugated |
| Immunogen | Recombinant Protein |
| Uniprot ID |
| Molecular Weight | Theoretical: 48/30/12 kDa. |
| Stability & Storage | Store at -20°C or -80°C for 12 months. Avoid repeated freeze-thaw cycles. |
| Transport | Shipping with blue ice. |
| Size | Quantity | Unit Price | Amount | Operation |
|---|

Copyright © 2015-2026 TargetMol Chemicals Inc. All Rights Reserved.