Shopping Cart
Remove All
Your shopping cart is currently empty
Anti-CAMTA1 Polyclonal Antibody is a Rabbit antibody targeting CAMTA1. Anti-CAMTA1 Polyclonal Antibody can be used in IF,IHC-Fr,IHC-P.
| Pack Size | Price | USA Warehouse | Global Warehouse | Quantity |
|---|---|---|---|---|
| 50 μL | $221 | 7-10 days | 7-10 days | |
| 100 μL | $372 | 7-10 days | 7-10 days | |
| 200 μL | $528 | 7-10 days | 7-10 days |
| Description | Anti-CAMTA1 Polyclonal Antibody is a Rabbit antibody targeting CAMTA1. Anti-CAMTA1 Polyclonal Antibody can be used in IF,IHC-Fr,IHC-P. |
| Synonyms | KIAA0833, CMTA1, Calmodulin-binding transcription activator 1 |
| Ig Type | IgG |
| Reactivity | Mouse,Rat (predicted:Human,Dog,Pig,Cow,Horse,Rabbit,Sheep) |
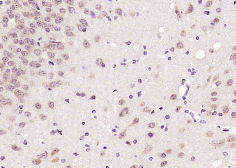
| Verified Activity | 1. Image was kindly submitted by Dr. Luan Zhou at the University of Massachusetts Medical School. Frozen mouse retina stained with Rabbit Anti-CAMTA1 Polyclonal Antibody (TMAB-00277) 2. Paraformaldehyde-fixed, paraffin embedded (rat brain); Antigen retrieval by boiling in sodium citrate buffer (pH6.0) for 15 min; Block endogenous peroxidase by 3% hydrogen peroxide for 20 min; Blocking buffer (normal goat serum) at 37°C for 30 min; Antibody incubation with (CAMTA1) Polyclonal Antibody, Unconjugated (TMAB-00277) at 1:200 overnight at 4°C, followed by operating according to SP Kit (Rabbit) instructionsand DAB staining. 3. Paraformaldehyde-fixed, paraffin embedded (mouse brain); Antigen retrieval by boiling in sodium citrate buffer (pH6.0) for 15 min; Block endogenous peroxidase by 3% hydrogen peroxide for 20 min; Blocking buffer (normal goat serum) at 37°C for 30 min; Antibody incubation with (CAMTA1) Polyclonal Antibody, Unconjugated (TMAB-00277) at 1:200 overnight at 4°C, followed by operating according to SP Kit (Rabbit) instructionsand DAB staining. ![]() ![]() ![]() |
| Application | |
| Recommended Dose | IHC-P: 1:100-500; IHC-Fr: 1:100-500; IF: 1:100-500 |
| Antibody Type | Polyclonal |
| Host Species | Rabbit |
| Subcellular Localization | Nucleus (Probable). Cytoplasm. |
| Tissue Specificity | Normally expressed in non-neoplastic adult central nervous system tissues: detected in whole brain, cerebellum, brain cortex, occipital lobe, frontal lobe, temporal lobe, putamen. Expression levels are low in oligodendroglial tumors, and are reduced by ha |
| Construction | Polyclonal Antibody |
| Purification | Protein A purified |
| Appearance | Liquid |
| Formulation | 0.01M TBS (pH7.4) with 1% BSA, 0.02% Proclin300 and 50% Glycerol. |
| Concentration | 1 mg/mL |
| Research Background | CAMTA1 is a transcription activator which is a putatuove tumor suppressor. It is thought to interact with calmodulin. Defects in CAMTA1 are detected in patients with oligodendroglioma and astrocytoma. |
| Immunogen | KLH conjugated synthetic peptide: human CAMTA1 |
| Antigen Species | Human |
| Gene Name | CAMTA1 |
| Gene ID | |
| Protein Name | Calmodulin-binding transcription activator 1 |
| Uniprot ID | |
| Biology Area | Tumor suppressors,Tumor Suppressors |
| Function | Transcriptional activator. May act as a tumor suppressor. |
| Molecular Weight | Theoretical: 183 kDa. |
| Stability & Storage | Store at -20°C or -80°C for 12 months. Avoid repeated freeze-thaw cycles. |
| Transport | Shipping with blue ice. |
| Size | Quantity | Unit Price | Amount | Operation |
|---|

Copyright © 2015-2026 TargetMol Chemicals Inc. All Rights Reserved.