Shopping Cart
Remove All
Your shopping cart is currently empty
Anti-Calsequestrin 1 Antibody (2G592) is a Rabbit antibody targeting Calsequestrin 1. Anti-Calsequestrin 1 Antibody (2G592) can be used in FCM,IHC,WB.
| Pack Size | Price | USA Warehouse | Global Warehouse | Quantity |
|---|---|---|---|---|
| 50 μL | $298 | 7-10 days | 7-10 days | |
| 100 μL | $498 | 7-10 days | 7-10 days |
| Description | Anti-Calsequestrin 1 Antibody (2G592) is a Rabbit antibody targeting Calsequestrin 1. Anti-Calsequestrin 1 Antibody (2G592) can be used in FCM,IHC,WB. |
| Synonyms | VMCQA, PDIB1, CASQ, calsequestrin 1 (fast-twitch, skeletal muscle) |
| Ig Type | IgG |
| Clone | 2G592 |
| Reactivity | Human,Mouse,Rat |
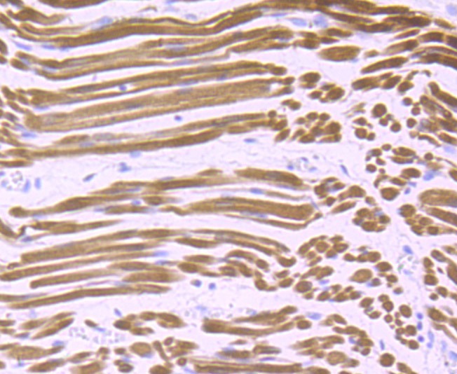
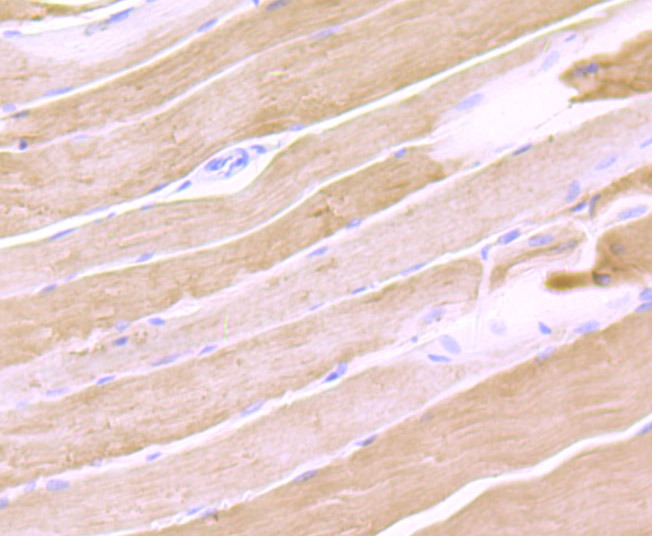
| Verified Activity | 1. Immunohistochemical analysis of paraffin-embedded rat skeletal muscle tissue using anti-Calsequestrin 1 antibody. Counter stained with hematoxylin. 2. Immunohistochemical analysis of paraffin-embedded human fetal skeletal muscle tissue using anti-Calsequestrin 1 antibody. Counter stained with hematoxylin. 3. Immunohistochemical analysis of paraffin-embedded mouse skeletal muscle tissue using anti-Calsequestrin 1 antibody. Counter stained with hematoxylin. 4. Flow cytometric analysis of C2C12 cells with Calsequestrin 1 antibody at 1/100 dilution (red) compared with an unlabelled control (cells without incubation with primary antibody; black). Alexa Fluor 488-conjugated goat anti rabbit IgG was used as the secondary antibody. ![]() ![]() ![]() ![]() |
| Application | |
| Recommended Dose | WB: 1:500; IHC: 1:50-200; FCM: 1:50-100 |
| Antibody Type | Monoclonal |
| Host Species | Rabbit |
| Construction | Recombinant Antibody |
| Purification | ProA affinity purified |
| Appearance | Liquid |
| Formulation | 1*TBS (pH7.4), 1%BSA, 40%Glycerol. Preservative: 0.05% Sodium Azide. |
| Research Background | Calsequestrin (CS, also known as CSQ) is the major calcium-binding protein of cardiac and skeletal muscle whose function is to sequester calcium in the lumen of the sarcoplasmic reticulum (SR). In mammals, there are two forms of this protein, calsequestrin 1 and calsequestrin 2, which encode fast-twitch skeletal muscle and cardiac calsequestrin, respectively. Calsequestrin 1, also known as Calmitin, is located in the terminal cisternae luminal spaces of the SR of fast skeletal muscle cells. Calsequestrin 2 is present in terminal cisternae luminal spaces of the SR of both cardiac and slow skeletal muscle cells. In addition, calsequestrin regulates the ryanodine receptor signaling (RyR) through Triadin and Junctin. |
| Conjucates | Unconjugated |
| Immunogen | Recombinant Protein |
| Uniprot ID |
| Molecular Weight | Theoretical: 45 kDa. |
| Stability & Storage | Store at -20°C or -80°C for 12 months. Avoid repeated freeze-thaw cycles. |
| Transport | Shipping with blue ice. |
| Size | Quantity | Unit Price | Amount | Operation |
|---|

Copyright © 2015-2026 TargetMol Chemicals Inc. All Rights Reserved.