Shopping Cart
Remove All
Your shopping cart is currently empty
Synonyms: SSA, RO, HEL-S-99n, CRT, cC1qR, calreticulin

| Pack Size | Price | USA Stock | Global Stock | Quantity |
|---|---|---|---|---|
| 50 μL | $221 | 7-10 days | 7-10 days | |
| 100 μL | $373 | 7-10 days | 7-10 days |
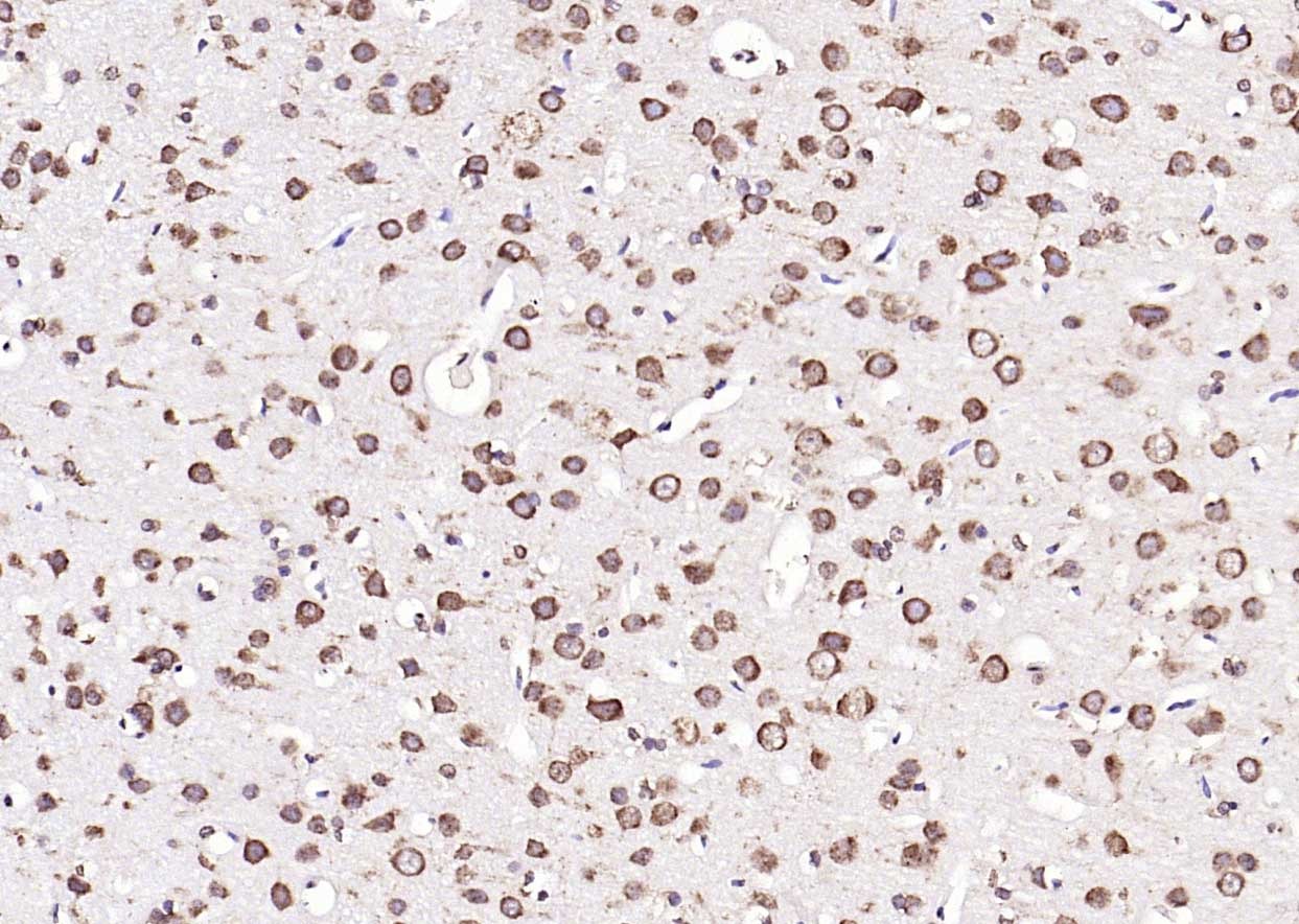
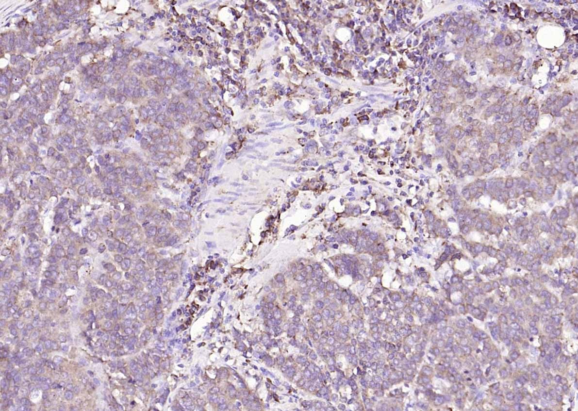
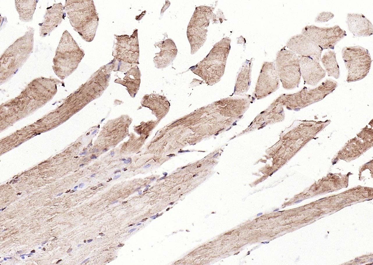
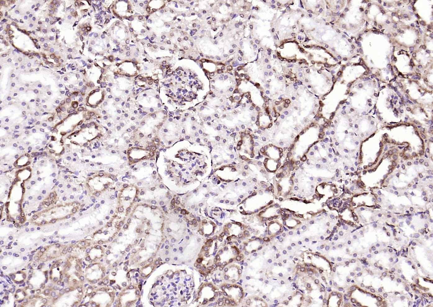
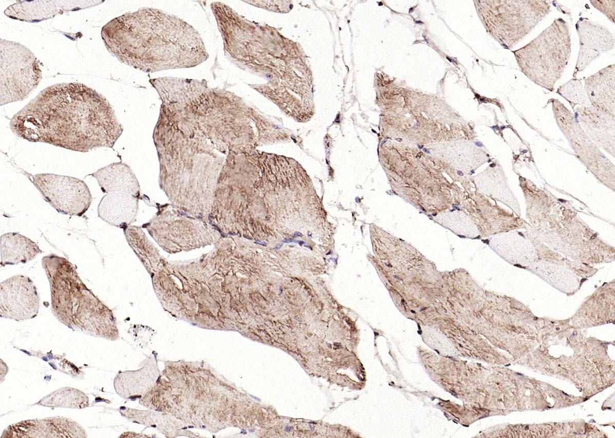
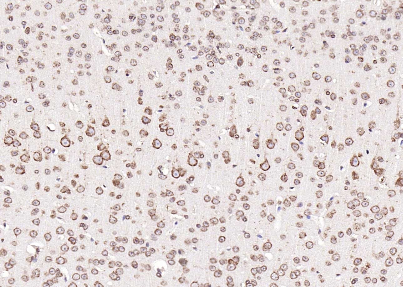
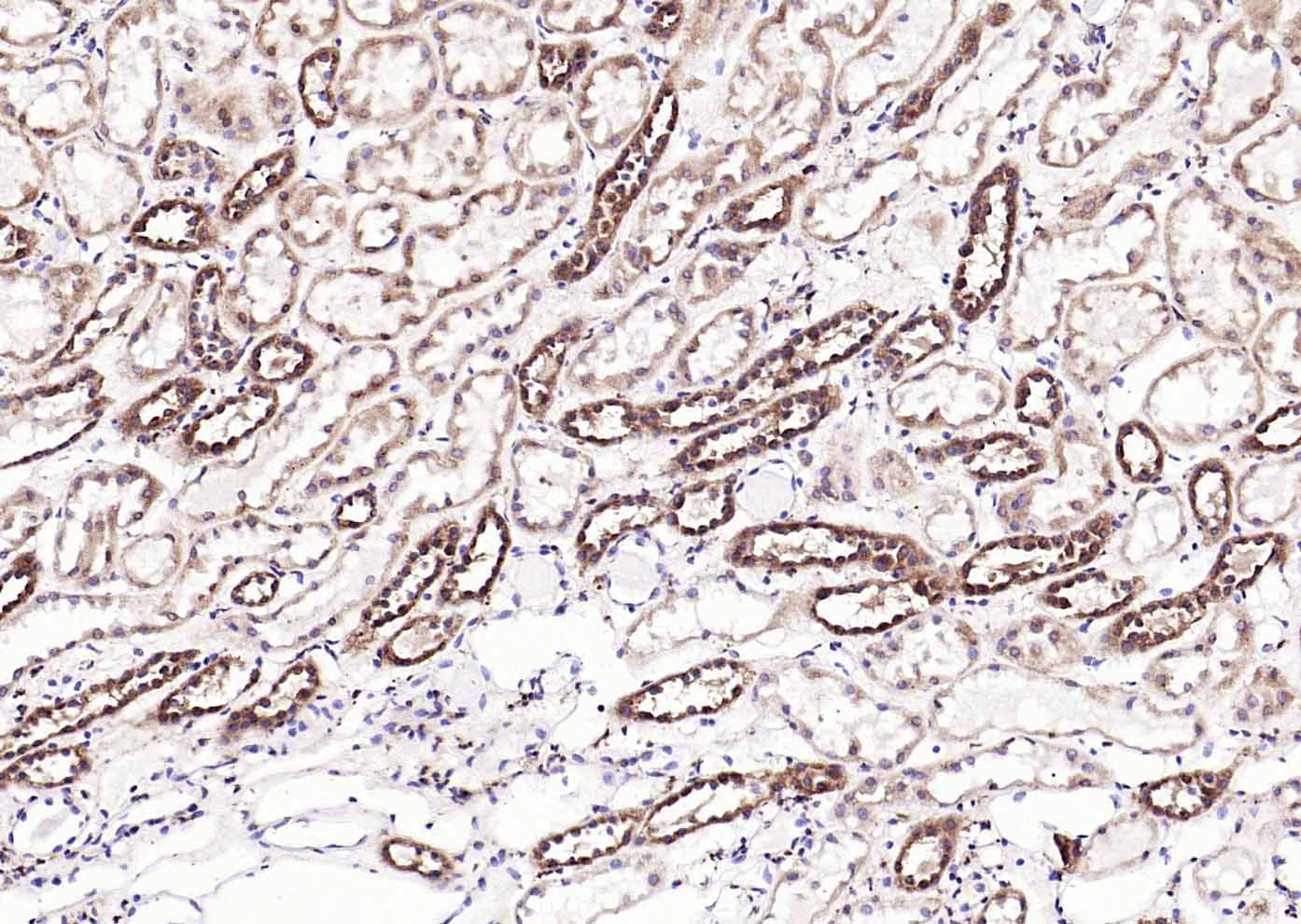
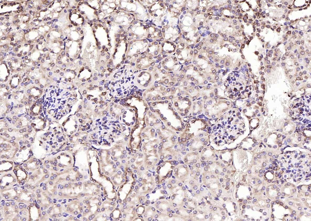
| Description | Anti-Calreticulin Antibody (6Q988) is a Mouse antibody targeting Calreticulin. Anti-Calreticulin Antibody (6Q988) can be used in IF,IHC-Fr,IHC-P,WB. |
| Synonyms | SSA, RO, HEL-S-99n, CRT, cC1qR, calreticulin |
| Ig Type | IgG1, κ |
| Clone | 6Q988 |
| Reactivity | Human,Mouse,Rat |
| Application | |
| Recommended Dose | WB: 1:500-2000; IHC-P: 1:100-500; IHC-Fr: 1:400-800; IF: 1:100-500 |
| Antibody Type | Monoclonal |
| Host Species | Mouse |
| Subcellular Localization | Endoplasmic reticulum lumen. Cytoplasm, cytosol. Secreted, extracellular space, extracellular matrix. Cell surface. |
| Construction | Hybridoma Monoclonal Antibody |
| Purification | Protein G purified |
| Appearance | Liquid |
| Formulation | 0.01M TBS (pH7.4) with 1% BSA, 0.02% Proclin300 and 50% Glycerol. |
| Concentration | 1 mg/mL |
| Research Background | Calreticulin is a highly conserved chaperone protein which resides primarily in the endoplasmic reticulum, and is involved in a variety of cellular processes, among them, cell adhesion. Additionally, it functions in protein folding quality control and calcium homeostasis. Calreticulin is also found in the nucleus, suggesting that it may have a role in transcription regulation. Systemic lupus erythematosus is associated with increased autoantibody titers against calreticulin. Recurrent mutations in calreticulin have been linked to various neoplasms, including the myeloproliferative type.[provided by RefSeq, May 2020] |
| Immunogen | Recombinant Protein: human CALR. |
| Antigen Species | Human |
| Gene Name | CALR |
| Gene ID | |
| Protein Name | Calreticulin |
| Uniprot ID | |
| Biology Area | ER |
| Molecular Weight | Theoretical: 44 kDa. Actual: 50 kDa. |
| Stability & Storage | Store at -20°C or -80°C for 12 months. Avoid repeated freeze-thaw cycles. |
| Transport | Shipping with blue ice. |
| Size | Quantity | Unit Price | Amount | Operation |
|---|

Copyright © 2015-2026 TargetMol Chemicals Inc. All Rights Reserved.