Shopping Cart
Remove All
Your shopping cart is currently empty
Anti-C12orf51 Antibody (8V885) is a Mouse antibody targeting C12orf51. Anti-C12orf51 Antibody (8V885) can be used in FCM,ICC,IHC,WB.
| Pack Size | Price | USA Warehouse | Global Warehouse | Quantity |
|---|---|---|---|---|
| 50 μL | $297 | 7-10 days | 7-10 days | |
| 100 μL | $428 | 7-10 days | 7-10 days |
| Description | Anti-C12orf51 Antibody (8V885) is a Mouse antibody targeting C12orf51. Anti-C12orf51 Antibody (8V885) can be used in FCM,ICC,IHC,WB. |
| Synonyms | Probable E3 ubiquitin-protein ligase HECTD4, KIAA0614, HECTD4, HECT domain-containing protein 4, C12orf51 |
| Clone | 8V885 |
| Reactivity | Human,Mouse |
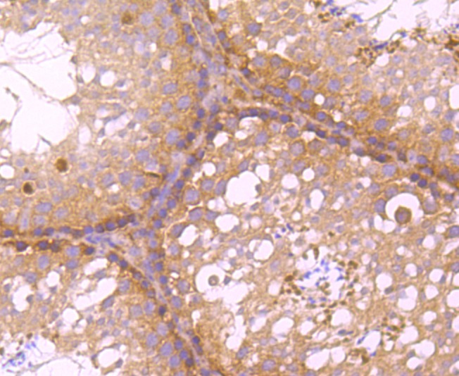
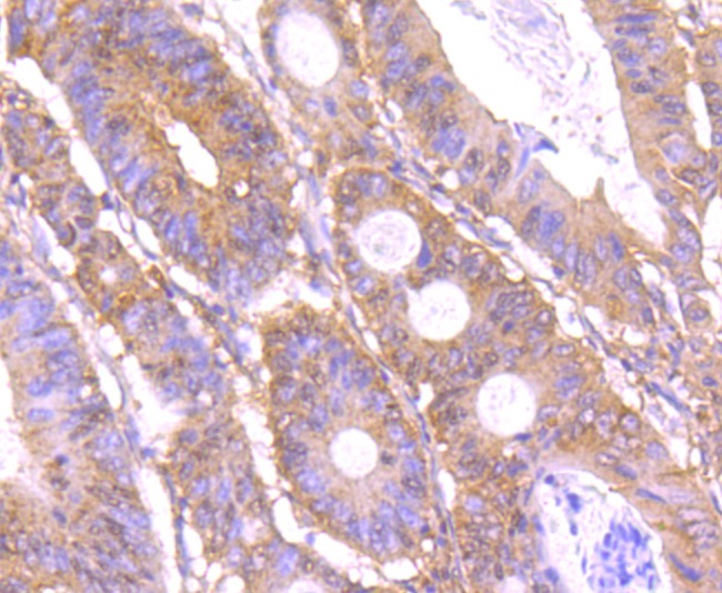
| Verified Activity | 1. Western blot analysis of C12orf51 on SH-SY5Y (1) and A549 (2) using anti-C12orf51 antibody at 1/100 dilution. 2. Immunohistochemical analysis of paraffin-embedded human colon cancer tissue using anti-C12orf51 antibody. Counter stained with hematoxylin. 3. Immunohistochemical analysis of paraffin-embedded human kidney tissue using anti-C12orf51 antibody. Counter stained with hematoxylin. 4. Immunohistochemical analysis of paraffin-embedded mouse testis tissue using anti-C12orf51 antibody. Counter stained with hematoxylin. 5. ICC staining C12orf51 (green) in HepG2 cells. The nuclear counter stain is DAPI (blue). Cells were fixed in paraformaldehyde, permeabilised with 0.25% Triton X100/PBS. 6. ICC staining C12orf51 (green) in PC-3M cells. The nuclear counter stain is DAPI (blue). Cells were fixed in paraformaldehyde, permeabilised with 0.25% Triton X100/PBS. 7. Flow cytometric analysis of SH-SY5Y cells with C12orf51 antibody at 1/100 dilution (red) compared with an unlabelled control (cells without incubation with primary antibody; black). ![]() ![]() ![]() ![]() ![]() ![]() ![]() |
| Application | |
| Recommended Dose | WB: 1:500; IHC: 1:50-100; ICC: 1:50; FCM: 1:50-100 |
| Antibody Type | Monoclonal |
| Host Species | Mouse |
| Construction | Hybridoma Monoclonal Antibody |
| Purification | ProA affinity purified |
| Appearance | Liquid |
| Formulation | 1*TBS (pH7.4), 0.5%BSA, 50%Glycerol. Preservative: 0.05% Sodium Azide. |
| Research Background | E3 ubiquitin-protein ligase which accepts ubiquitin from an E2 ubiquitin-conjugating enzyme in the form of a thioester and then directly transfers the ubiquitin to targeted substrates. |
| Conjucates | Unconjugated |
| Immunogen | Recombinant Protein |
| Uniprot ID |
| Molecular Weight | Theoretical: 438/145/98/262 kDa. |
| Stability & Storage | Store at -20°C or -80°C for 12 months. Avoid repeated freeze-thaw cycles. |
| Transport | Shipping with blue ice. |
| Size | Quantity | Unit Price | Amount | Operation |
|---|

Copyright © 2015-2026 TargetMol Chemicals Inc. All Rights Reserved.