Shopping Cart
Remove All
Your shopping cart is currently empty
Anti-c-Rel Antibody (9I816) is a Rabbit antibody targeting c-Rel. Anti-c-Rel Antibody (9I816) can be used in IHC,IP,WB.
| Pack Size | Price | USA Warehouse | Global Warehouse | Quantity |
|---|---|---|---|---|
| 50 μL | $297 | 7-10 days | 7-10 days | |
| 100 μL | $497 | 7-10 days | 7-10 days |
| Description | Anti-c-Rel Antibody (9I816) is a Rabbit antibody targeting c-Rel. Anti-c-Rel Antibody (9I816) can be used in IHC,IP,WB. |
| Synonyms | REL, Proto-oncogene c-Rel |
| Ig Type | IgG |
| Clone | 9I816 |
| Reactivity | Human |
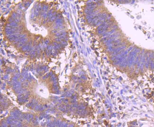
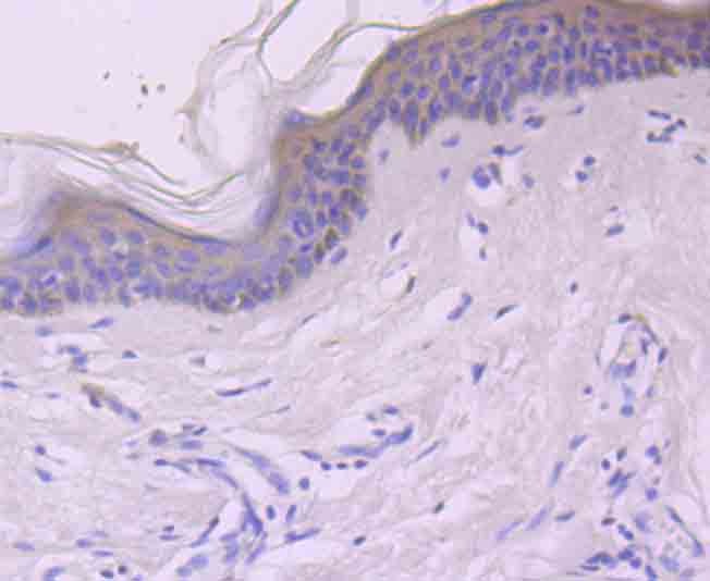
| Verified Activity | 1. Immunohistochemical analysis of paraffin-embedded human tonsil tissue using anti-c-Rel antibody. Counter stained with hematoxylin. 2. Immunohistochemical analysis of paraffin-embedded human colon cancer tissue using anti-c-Rel antibody. Counter stained with hematoxylin. 3. Immunohistochemical analysis of paraffin-embedded human skin tissue using anti-c-Rel antibody. Counter stained with hematoxylin. ![]() ![]() ![]() |
| Application | |
| Recommended Dose | WB: 1:500; IHC: 1:50-200 |
| Antibody Type | Monoclonal |
| Host Species | Rabbit |
| Construction | Recombinant Antibody |
| Purification | ProA affinity purified |
| Appearance | Liquid |
| Formulation | 1*TBS (pH7.4), 1%BSA, 40%Glycerol. Preservative: 0.05% Sodium Azide. |
| Research Background | c-Rel is the cellular cognate of v-Rel, the avian reticuloendotheliosis virus strain T transforming gene. v-Rel encodes a phosphoprotein that is located in the cytoplasm of transformed spleen cells and in the nucleus of non-transformed fibroblasts, in contrast to the c-Rel protein, which is cytoplasmic. c-Rel has been shown to represent a constituent of the κB site binding transcription factor NFκB, which plays a crucial role in the expression of immunoglobulin κ light chain gene. In contrast to c-Rel, v-Rel is truncated in its C-terminal transactivation domain and does not appear to function as a transcriptional transactivator. It has thus been postulated that v-Rel may interfere with the normal transcription of NFκB regulated genes and thus cause transformation by a mechanism analogous to v-ErbA, which binds to the thyroid hormone-responsive region in certain erythroid genes needed for differentiation, but cannot be activated by thyroid hormone. |
| Conjucates | Unconjugated |
| Immunogen | Recombinant Protein |
| Uniprot ID |
| Molecular Weight | Theoretical: 68 kDa. |
| Stability & Storage | Store at -20°C or -80°C for 12 months. Avoid repeated freeze-thaw cycles. |
| Transport | Shipping with blue ice. |
| Size | Quantity | Unit Price | Amount | Operation |
|---|

Copyright © 2015-2026 TargetMol Chemicals Inc. All Rights Reserved.