Shopping Cart
Remove All
Your shopping cart is currently empty
Anti-Breast cancer-overexpressed gene 1 protein Antibody (1N989) is a Mouse antibody targeting Breast cancer-overexpressed gene 1 protein. Anti-Breast cancer-overexpressed gene 1 protein Antibody (1N989) can be used in ICC,IHC,WB.
| Pack Size | Price | USA Warehouse | Global Warehouse | Quantity |
|---|---|---|---|---|
| 50 μL | $296 | 7-10 days | 7-10 days | |
| 100 μL | $426 | 7-10 days | 7-10 days |
| Description | Anti-Breast cancer-overexpressed gene 1 protein Antibody (1N989) is a Mouse antibody targeting Breast cancer-overexpressed gene 1 protein. Anti-Breast cancer-overexpressed gene 1 protein Antibody (1N989) can be used in ICC,IHC,WB. |
| Synonyms | UPF0378 protein KIAA0100, MGC134981, MGC111488, KIAA0100, K0100_HUMAN, DKFZp686M0843, CT101, Breast cancer-overexpressed gene 1 protein, BCOX1, BCOX, Antigen MLAA-22 |
| Clone | 1N989 |
| Reactivity | Human |
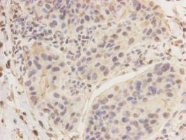
| Verified Activity | 1. Western blot analysis on recombinant protein using anti-KIAA0100 Mouse mAb. 2. Immunohistochemical analysis of paraffin- embedded human breast carcinoma tissue using anti-KIAA0100 Mouse mAb. 3. Immunofluorescent staining of Hela cells using anti-KIAA0100 Mouse mAb. ![]() ![]() ![]() |
| Application | |
| Recommended Dose | WB: 1:1000-10000; IHC: 1:200; ICC: 1:100-500 |
| Antibody Type | Monoclonal |
| Host Species | Mouse |
| Construction | Hybridoma Monoclonal Antibody |
| Purification | ProA affinity purified |
| Appearance | Liquid |
| Formulation | 1*TBS (pH7.4), 1%BSA, 40%Glycerol. Preservative: 0.05% Sodium Azide. |
| Research Background | Breast cancer-overexpressed gene 1 protein(KIAA0100)is a glucoprotein composed of 2235 amino acids.KIAA0100 has four isforms (254kDa,250kDa,45kDa,25kDa).KIAA0100 is expressed in pancreas, placenta and up-regulated in breast carcinoma epithelial cells. |
| Conjucates | Unconjugated |
| Immunogen | Recombinant Protein: human KIAA0100 1900-2250 aa |
| Antigen Species | human |
| Uniprot ID |
| Molecular Weight | Theoretical: 254 kDa. |
| Stability & Storage | Store at -20°C or -80°C for 12 months. Avoid repeated freeze-thaw cycles. |
| Transport | Shipping with blue ice. |
| Size | Quantity | Unit Price | Amount | Operation |
|---|

Copyright © 2015-2026 TargetMol Chemicals Inc. All Rights Reserved.