Shopping Cart
Remove All
Your shopping cart is currently empty
Anti-BMPR2 Antibody (9I236) is a Mouse antibody targeting BMPR2. Anti-BMPR2 Antibody (9I236) can be used in ICC/IF,IHC-P,WB.
| Pack Size | Price | USA Warehouse | Global Warehouse | Quantity |
|---|---|---|---|---|
| 50 μL | $296 | 7-10 days | 7-10 days | |
| 100 μL | $498 | 7-10 days | 7-10 days |
| Description | Anti-BMPR2 Antibody (9I236) is a Mouse antibody targeting BMPR2. Anti-BMPR2 Antibody (9I236) can be used in ICC/IF,IHC-P,WB. |
| Synonyms | T-ALK, PPH1, POVD1, BRK-3, bone morphogenetic protein receptor, type II (serine/threonine kinase), BMR2, BMPR-II, BMPR3 |
| Clone | 9I236 |
| Reactivity | Human,Mouse,Rat |
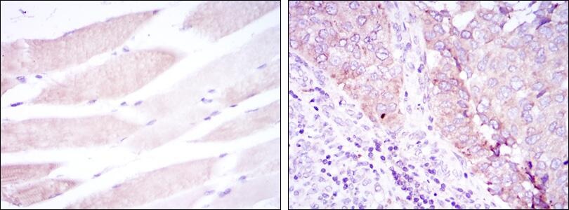
| Verified Activity | 1. Western Blot analysis using BMPR-II Monoclonal Antibody against HeLa (1), A431 (2), NIH/3T3 (3), Cos7 (4) and PC-12 (5) cell lysate. 2. Immunohistochemistry analysis of paraffin-embedded muscle tissues (left) and kidney cancer tissues (right) with DAB staining using BMPR-II Monoclonal Antibody. ![]() ![]() |
| Application | |
| Recommended Dose | WB: 1:500-2000; IHC-P: 1:200-1000; ICC/IF: 1:200-1000 |
| Antibody Type | Monoclonal |
| Host Species | Mouse |
| Construction | Hybridoma Monoclonal Antibody |
| Appearance | Liquid |
| Formulation | Ascitic fluid containing 0.03% sodium azide,0.5% BSA, 50%glycerol. |
| Research Background | bone morphogenetic protein receptor type 2(BMPR2) Homo sapiens This gene encodes a member of the bone morphogenetic protein (BMP) receptor family of transmembrane serine/threonine kinases. The ligands of this receptor are BMPs, which are members of the TGF-beta superfamily. BMPs are involved in endochondral bone formation and embryogenesis. These proteins transduce their signals through the formation of heteromeric complexes of two different types of serine (threonine) kinase receptors: type I receptors of about 50-55 kD and type II receptors of about 70-80 kD. Type II receptors bind ligands in the absence of type I receptors, but they require their respective type I receptors for signaling, whereas type I receptors require their respective type II receptors for ligand binding. Mutations in this gene have been associated with primary pulmonary hypertension, both familial and fenfluramine-associated, and with pulmonary venoocclusive disea |
| Conjucates | Unconjugated |
| Immunogen | Recombinant Protein: human BMPR-II |
| Antigen Species | human |
| Uniprot ID |
| Stability & Storage | Store at -20°C or -80°C for 12 months. Avoid repeated freeze-thaw cycles. |
| Transport | Shipping with blue ice. |
| Size | Quantity | Unit Price | Amount | Operation |
|---|

Copyright © 2015-2026 TargetMol Chemicals Inc. All Rights Reserved.