Shopping Cart
Remove All
Your shopping cart is currently empty
Anti-Beta-Actin Antibody (5H32) is a Mouse antibody targeting Beta-Actin. Anti-Beta-Actin Antibody (5H32) can be used in IHC,WB.

| Pack Size | Price | USA Stock | Global Stock | Quantity |
|---|---|---|---|---|
| 50 μL | $218 | 7-10 days | 7-10 days | |
| 100 μL | $318 | 7-10 days | 7-10 days |
| Description | Anti-Beta-Actin Antibody (5H32) is a Mouse antibody targeting Beta-Actin. Anti-Beta-Actin Antibody (5H32) can be used in IHC,WB. |
| Synonyms | β-Actin Protein, β-actin, Beta-Actin, Actin Cytoplasmic 1, ACTB |
| Ig Type | IgG1 |
| Clone | 5H32 |
| Reactivity | Human,Mouse,Rat,Monkey,Dog,Chicken,Hamouseter,Rabbit,Insect |
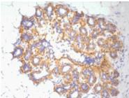
| Verified Activity | 1. Western blot analysis of Hela (1), Rat brain (2), Mouse brain (3), Chicken lung (4), and Rabbit testis (5) diluted at 1:10000. 2. IHC Staining of Human ovary tissue, diluted at 1:200. ![]() ![]() |
| Application | |
| Recommended Dose | WB: 1:500-2000; IHC: 1:50-200 |
| Antibody Type | Monoclonal |
| Host Species | Mouse |
| Construction | Hybridoma Monoclonal Antibody |
| Appearance | Liquid |
| Formulation | Liquid in PBS containing 50% glycerol, 0.5% BSA and 0.02% sodium azide. |
| Conjucates | Unconjugated |
| Immunogen | A synthesized peptide |
| Uniprot ID |
| Molecular Weight | Theoretical: 43 kDa. |
| Stability & Storage | Store at -20°C or -80°C for 12 months. Avoid repeated freeze-thaw cycles. |
| Transport | Shipping with blue ice. |
| Size | Quantity | Unit Price | Amount | Operation |
|---|

Copyright © 2015-2026 TargetMol Chemicals Inc. All Rights Reserved.