Shopping Cart
Remove All
Your shopping cart is currently empty
Anti-Beta-Actin Antibody (1R828) is a Mouse antibody targeting Beta-Actin. Anti-Beta-Actin Antibody (1R828) can be used in FCM,ICC,IHC,WB.
| Pack Size | Price | USA Warehouse | Global Warehouse | Quantity |
|---|---|---|---|---|
| 50 μL | $296 | 7-10 days | 7-10 days | |
| 100 μL | $426 | 7-10 days | 7-10 days |
| Description | Anti-Beta-Actin Antibody (1R828) is a Mouse antibody targeting Beta-Actin. Anti-Beta-Actin Antibody (1R828) can be used in FCM,ICC,IHC,WB. |
| Synonyms | β-Actin Protein, β-actin, Beta-Actin, Actin Cytoplasmic 1, ACTB |
| Clone | 1R828 |
| Reactivity | Human,Mouse,Rat |
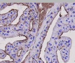
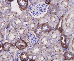
| Verified Activity | 1. Western blot analysis of Beta-Western blot analysis of Beta-actin on different lysates using anti-Beta-actin antibody at 1/10,000 dilution. Positivecontrol: Lane 1: NIH/3T3, Lane 2: PC12, Lane 3: MCF-7, Lane 4: HepG2, Lane 5: Hela, Lane 6: Mouse lung. 2. Immunohistochemical analysis of paraffin-embedded human colon carcinoma tissue using anti-Beta-actin antibody. Counter stained with hematoxylin. 3. Immunohistochemical analysis of paraffin-embedded mouse prostate tissue using anti-Beta-actin antibody. Counter stained with hematoxylin. 4. Immunohistochemical analysis of paraffin-embedded mouse kidney tissue using anti-Beta-actin antibody. Counter stained with hematoxylin. 5. ICC staining of Beta-actin in Hela cells (red). Cells were fixed in paraformaldehyde, permeabilised with 0.25% Triton X100/PBS. 6. ICC staining of Beta-actin in A549 cells (red). Cells were fixed in paraformaldehyde, permeabilised with 0.25% Triton X100/PBS. 7. ICC staining of Beta-actin in NIH-3T3 cells (red). Cells were fixed in paraformaldehyde, permeabilised with 0.25% Triton X100/PBS. 8. Flow cytometric analysis of Hela?cells with Beta-actin antibody at 1/100 dilution (blue) compared with an unlabelled control (cells without incubation with primary antibody; red). Goat anti mouse IgG (FITC) was used as the secondary antibody. ![]() ![]() ![]() ![]() ![]() ![]() ![]() ![]() |
| Application | |
| Recommended Dose | WB: 1:10000; IHC: 1:100-200; ICC: 1:100-200; FCM: 1:100-200 |
| Antibody Type | Monoclonal |
| Host Species | Mouse |
| Construction | Hybridoma Monoclonal Antibody |
| Purification | ProA affinity purified |
| Appearance | Liquid |
| Formulation | 1*TBS (pH7.4), 1%BSA, 40%Glycerol. Preservative: 0.05% Sodium Azide. |
| Research Background | Beta actin also know as Cytoplasmic Actin is a 42 kDa, highly conserved protein, ubiquitously expressed in all eukaryotic cells. They comprise, along with microtubules, a major component of the cytoskeleton. β-Actin is a relatively stable cytoskeletal protein normally at a constant level in cells, regardless of experimental treatment or technical procedure. For this reason, measurement of β -Actin is generally used as an internal control for experimental error. |
| Conjucates | Unconjugated |
| Immunogen | KLH conjugated synthetic peptide: within human Beta-actin N terminal |
| Antigen Species | human |
| Uniprot ID |
| Molecular Weight | Theoretical: 42 kDa. |
| Stability & Storage | Store at -20°C or -80°C for 12 months. Avoid repeated freeze-thaw cycles. |
| Transport | Shipping with blue ice. |
| Size | Quantity | Unit Price | Amount | Operation |
|---|

Copyright © 2015-2026 TargetMol Chemicals Inc. All Rights Reserved.