Shopping Cart
Remove All
Your shopping cart is currently empty
Anti-BCL6 Polyclonal Antibody is a Rabbit antibody targeting BCL6. Anti-BCL6 Polyclonal Antibody can be used in ELISA,IF,IHC-Fr,IHC-P.
| Pack Size | Price | USA Stock | Global Stock | Quantity |
|---|---|---|---|---|
| 50 μL | $221 | 7-10 days | 7-10 days | |
| 100 μL | $372 | 7-10 days | 7-10 days |
| Description | Anti-BCL6 Polyclonal Antibody is a Rabbit antibody targeting BCL6. Anti-BCL6 Polyclonal Antibody can be used in ELISA,IF,IHC-Fr,IHC-P. |
| Synonyms | ZNF51, ZBTB27, LAZ3, BCL6A, BCL5, B-cell CLL/lymphoma 6 |
| Ig Type | IgG |
| Reactivity | Human,Mouse |
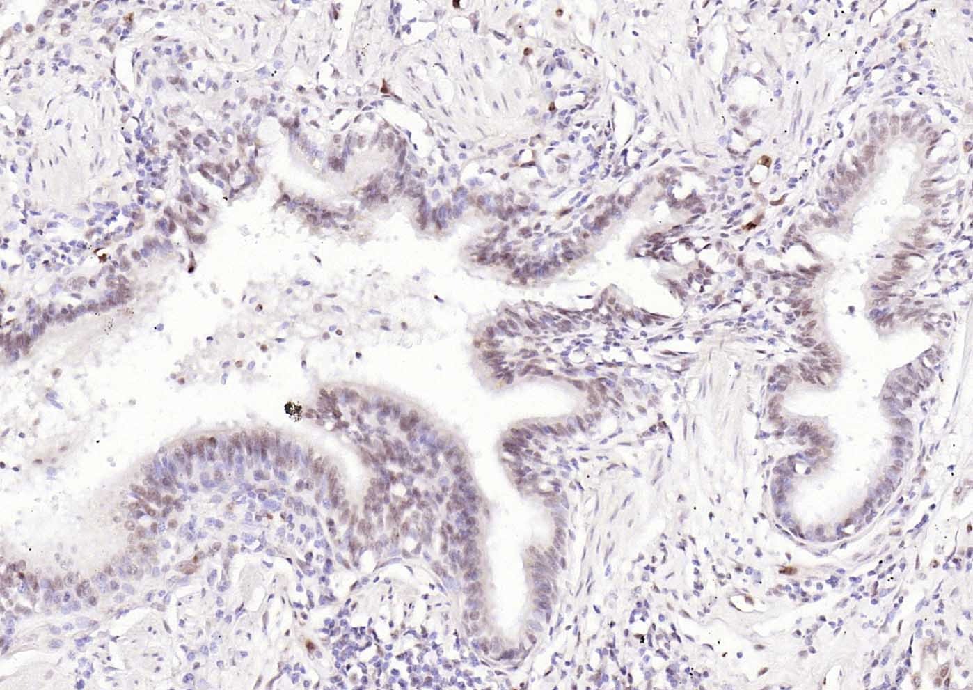
| Verified Activity | Paraformaldehyde-fixed, paraffin embedded (human lung carcinoma); Antigen retrieval by boiling in sodium citrate buffer (pH6.0) for 15 min; Block endogenous peroxidase by 3% hydrogen peroxide for 20 min; Blocking buffer (normal goat serum) at 37°C for 30 min; Incubation with (Bcl-6) Polyclonal Antibody, Unconjugated (TMAB-00201) at 1:25 overnight at 4°C, followed by operating according to SP Kit (Rabbit) instructionsand DAB staining. ![]() |
| Application | |
| Recommended Dose | IHC-P: 1:100-500; IHC-Fr: 1:100-500; IF: 1:100-500; ELISA: 1:5000-10000 |
| Antibody Type | Polyclonal |
| Host Species | Rabbit |
| Subcellular Localization | Nucleus (By similarity). |
| Tissue Specificity | Expressed in germinal center T and B-cells and in primary immature dendritic cells. |
| Construction | Polyclonal Antibody |
| Purification | Protein A purified |
| Appearance | Liquid |
| Formulation | 0.01M TBS (pH7.4) with 1% BSA, 0.02% Proclin300 and 50% Glycerol. |
| Concentration | 1 mg/mL |
| Research Background | The protein encoded by this gene is a zinc finger transcription factor and contains an N-terminal POZ domain. This protein acts as a sequence-specific repressor of transcription, and has been shown to modulate the transcription of START-dependent IL-4 responses of B cells. This protein can interact with a variety of POZ-containing proteins that function as transcription corepressors. This gene is found to be frequently translocated and hypermutated in diffuse large-cell lymphoma (DLCL), and may be involved in the pathogenesis of DLCL. Alternatively spliced transcript variants encoding different protein isoforms have been found for this gene. [provided by RefSeq]. |
| Immunogen | KLH conjugated synthetic peptide: human Bcl-6 |
| Antigen Species | Human |
| Gene Name | BCL6 |
| Gene ID | |
| Protein Name | B-cell lymphoma 6 protein |
| Uniprot ID | |
| Biology Area | Transcription factors,Proto-oncogenes,Zinc Finger |
| Function | Transcriptional repressor which is required for germinal center formation and antibody affinity maturation. Probably plays an important role in lymphomagenesis. |
| Molecular Weight | Theoretical: 78 kDa. Actual: 98 kDa. |
| Stability & Storage | Store at -20°C or -80°C for 12 months. Avoid repeated freeze-thaw cycles. |
| Transport | Shipping with blue ice. |
| Size | Quantity | Unit Price | Amount | Operation |
|---|

Copyright © 2015-2026 TargetMol Chemicals Inc. All Rights Reserved.