Shopping Cart
Remove All
Your shopping cart is currently empty
Anti-BCL2 Antibody (5A806) is a Mouse antibody targeting BCL2. Anti-BCL2 Antibody (5A806) can be used in ICC/IF, IF, IHC-Fr, IHC-P, WB.

| Pack Size | Price | USA Stock | Global Stock | Quantity |
|---|---|---|---|---|
| 50 μL | $220 | 7-10 days | 7-10 days | |
| 100 μL | $374 | 7-10 days | 7-10 days | |
| 200 μL | $527 | 7-10 days | 7-10 days |
| Description | Anti-BCL2 Antibody (5A806) is a Mouse antibody targeting BCL2. Anti-BCL2 Antibody (5A806) can be used in ICC/IF, IF, IHC-Fr, IHC-P, WB. |
| Synonyms | PPP1R50, Bcl-2, B-cell CLL/lymphoma 2 |
| Ig Type | IgG1 |
| Clone | 5A806 |
| Reactivity | Human,Rat (predicted:Mouse,Dog,Pig,Cow,Horse,Rabbit,Sheep,GuineaPig) |
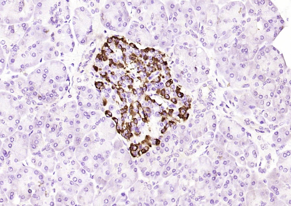
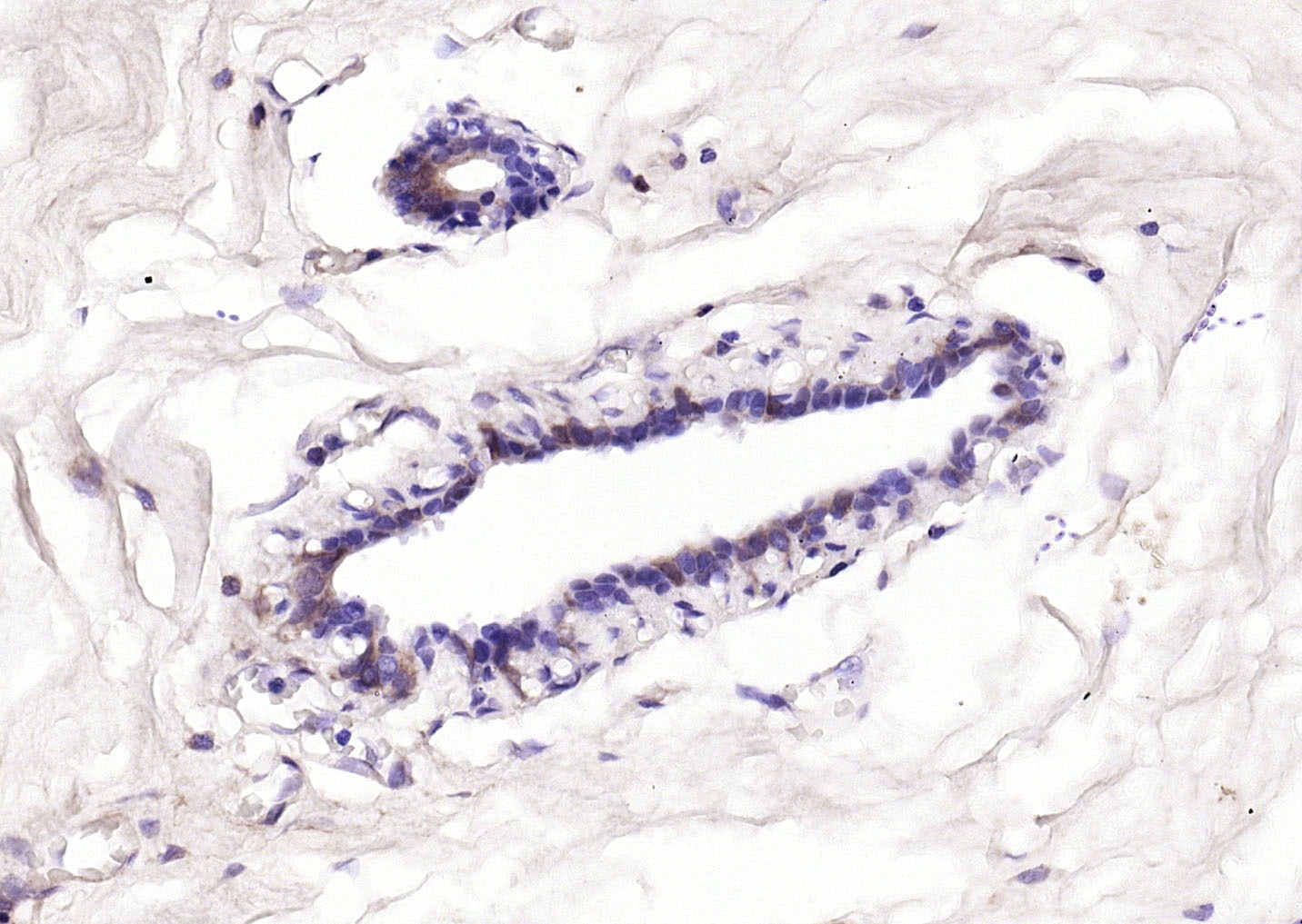
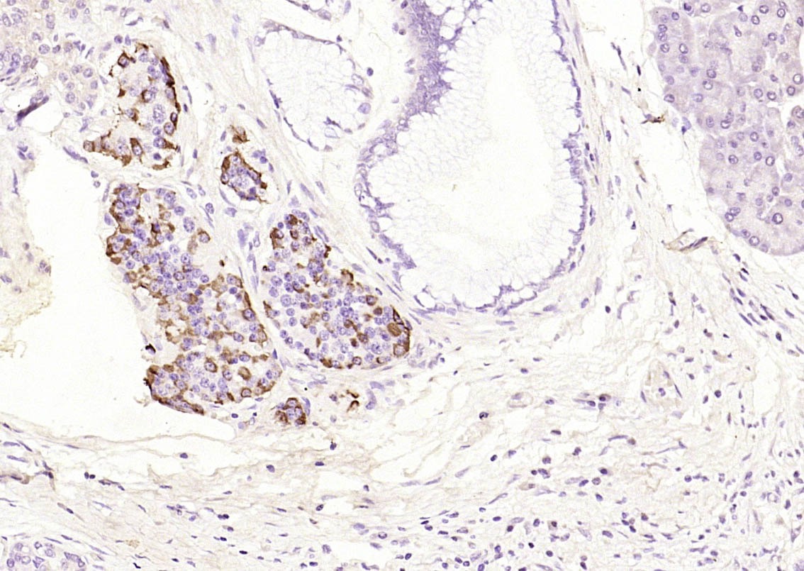
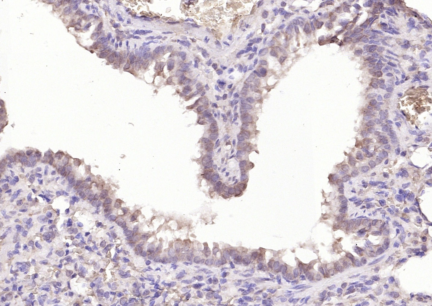
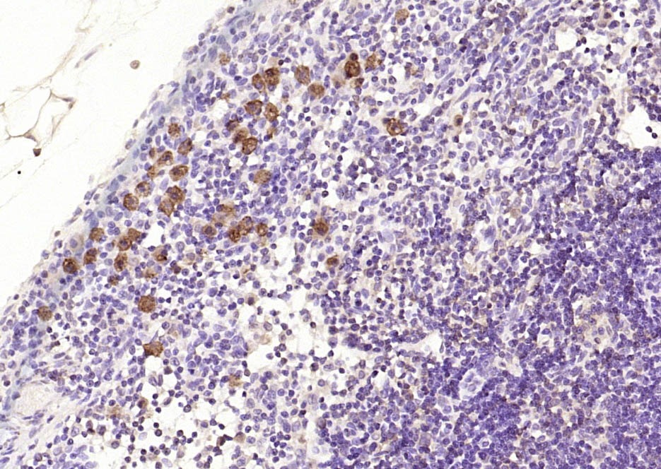
| Verified Activity | 1. Paraformaldehyde-fixed, paraffin embedded (rat lung); Antigen retrieval by boiling in sodium citrate buffer (pH6.0) for 15 min; Block endogenous peroxidase by 3% hydrogen peroxide for 20 min; Blocking buffer (normal goat serum) at 37°C for 30 min; Antibody incubation with (bcl-2) Polyclonal Antibody, Unconjugated (TMAB-00195) at 1:200 overnight at 4°C, followed by operating according to SP Kit (Mouse) instructionsand DAB staining. 2. Paraformaldehyde-fixed, paraffin embedded (human breast carcinoma); Antigen retrieval by boiling in sodium citrate buffer (pH6.0) for 15 min; Block endogenous peroxidase by 3% hydrogen peroxide for 20 min; Blocking buffer (normal goat serum) at 37°C for 30 min; Antibody incubation with (bcl-2) Polyclonal Antibody, Unconjugated (TMAB-00195) at 1:200 overnight at 4°C, followed by operating according to SP Kit (Mouse) instructionsand DAB staining. 3. Paraformaldehyde-fixed, paraffin embedded (human breast carcinoma); Antigen retrieval by boiling in sodium citrate buffer (pH6.0) for 15 min; Block endogenous peroxidase by 3% hydrogen peroxide for 20 min; Blocking buffer (normal goat serum) at 37°C for 30 min; Antibody incubation with (bcl-2) Polyclonal Antibody, Unconjugated (TMAB-00195) at 1:200 overnight at 4°C, followed by operating according to SP Kit (Mouse) instructionsand DAB staining. 4. Sample: LOVO (Human) Cell Lysate at 30 μg Primary: Anti-Bcl-2 (TMAB-00195) at 1/1000 dilution Secondary: IRDye800CW Goat Anti-Mouse IgG at 1/20000 dilution Predicted band size: 26 kDa Observed band size: 26 kDa 5. Tissue/cell: Hela cell; 4% Paraformaldehyde-fixed; Triton X-100 at room temperature for 20 min; Blocking buffer (normal goat serum) at 37°C for 20 min; Antibody incubation with (Bcl-2) monoclonal Antibody, Unconjugated 1:100, 90 minutes at 37°C; followed by a CY3 conjugated Goat Anti-Mouse IgG antibody at 37°C for 90 minutes, DAPI (blue) was used to stain the cell nucleus. 6. Paraformaldehyde-fixed, paraffin embedded (human pancreatic cancer); Antigen retrieval by boiling in sodium citrate buffer (pH6.0) for 15 min; Block endogenous peroxidase by 3% hydrogen peroxide for 20 min; Blocking buffer (normal goat serum) at 37°C for 30 min; Antibody incubation with (bcl-2) Polyclonal Antibody, Unconjugated (TMAB-00195) at 1:200 overnight at 4°C, followed by operating according to SP Kit (Mouse) instructionsand DAB staining. 7. Paraformaldehyde-fixed, paraffin embedded (rat lymphoid); Antigen retrieval by boiling in sodium citrate buffer (pH6.0) for 15 min; Block endogenous peroxidase by 3% hydrogen peroxide for 20 min; Blocking buffer (normal goat serum) at 37°C for 30 min; Antibody incubation with (bcl-2) Polyclonal Antibody, Unconjugated (TMAB-00195) at 1:200 overnight at 4°C, followed by operating according to SP Kit (Mouse) instructionsand DAB staining. 8. Paraformaldehyde-fixed, paraffin embedded (human pancreatic cancer); Antigen retrieval by boiling in sodium citrate buffer (pH6.0) for 15 min; Block endogenous peroxidase by 3% hydrogen peroxide for 20 min; Blocking buffer (normal goat serum) at 37°C for 30 min; Antibody incubation with (bcl-2) Polyclonal Antibody, Unconjugated (TMAB-00195) at 1:2000 overnight at 4°C, followed by operating according to SP Kit (Mouse) instructionsand DAB staining. 9. Sample: LOVO Cell (Human) Lysate at 40 μg MCF-7 Cell (Human) Lysate at 40 μg Primary: Anti-Bcl-2 (TMAB-00195) at 1/2 000 dilution Secondary: IRDye800CW Goat Anti-Mouse IgG at 1/20000 dilution Predicted band size: 26 kDa Observed band size: 28 kDa ![]() ![]() ![]() ![]() ![]() ![]() ![]() ![]() ![]() |
| Application | |
| Recommended Dose | ICC/IF=1:100-500; IF=1:100-500; IHC-Fr=1:100-500; IHC-P=1:100-500; WB=1:500-2000 |
| Antibody Type | Monoclonal |
| Host Species | Mouse |
| Subcellular Localization | Mitochondrion outer membrane; Single-pass membrane protein. Nucleus membrane; Single-pass membrane protein. Endoplasmic reticulum membrane; Single-pass membrane protein. |
| Tissue Specificity | Expressed in a variety of tissues. |
| Construction | Hybridoma Monoclonal Antibody |
| Purification | Protein G purified |
| Appearance | Liquid |
| Formulation | 0.01M TBS (pH7.4) with 1% BSA, 0.02% Proclin300 and 50% Glycerol. |
| Concentration | 1 mg/mL |
| Research Background | The Bcl-2 gene was isolated at the chromosomal breakpoint of t(14;18)-bearing follicular B cell lymphomas(1,2).Bcl-2 blocks cell death following a variety of stimuli and confers a death-sparing effect to certain hematopoietic cell lines following growth factor withdrawal (3,5).Bcl-2 appears to function in several subcellular locations yet lacks any known motifs that would confer insight into its mechanism of action (6,7).A more recently identified protein,designated Bax p21(i.e., Bcl-associated X protein ),has extensive amino acid homology with Bcl-2 and both homodimerizes and forms heterodimers with Bcl-2(8). Overexpression of Bax accelerates apoptotic death induced by cytokine deprivation in an IL-3 dependent cell line and Bax also counters the death repressor activty of Bcl-2(8). |
| Immunogen | KLH conjugated synthetic peptide: human Bcl-2 |
| Antigen Species | Human |
| Gene Name | BCL2 |
| Gene ID | |
| Protein Name | Apoptosis regulator Bcl-2 |
| Uniprot ID | |
| Biology Area | Cellular metabolic process,Response to hypoxia,Bcl 2 family,Metabolism,Bcl 2 family,Cell survival & death,Oncoproteins,Bcl2 Family,Apoptosis marker and proteins ELISA kits,Apoptosis,Hypoxia,Mitochondrial markers,Cancer,Mitochondrial |
| Function | Suppresses apoptosis in a variety of cell systems including factor-dependent lymphohematopoietic and neural cells. Regulates cell death by controlling the mitochondrial membrane permeability. Appears to function in a feedback loop system with caspases. Inhibits caspase activity either by preventing the release of cytochrome c from the mitochondria and/or by binding to the apoptosis-activating factor (APAF-1). |
| Molecular Weight | Theoretical: 26 kDa. Actual: 26 kDa. |
| Stability & Storage | Store at -20°C or -80°C for 12 months. Avoid repeated freeze-thaw cycles. |
| Transport | Shipping with blue ice. |
| Size | Quantity | Unit Price | Amount | Operation |
|---|

Copyright © 2015-2026 TargetMol Chemicals Inc. All Rights Reserved.