Shopping Cart
Remove All
Your shopping cart is currently empty
Anti-BCL2 Antibody (2P100) is a Mouse antibody targeting BCL2. Anti-BCL2 Antibody (2P100) can be used in ICC/IF,IF,IHC-Fr,IHC-P,WB.
| Pack Size | Price | USA Warehouse | Global Warehouse | Quantity |
|---|---|---|---|---|
| 50 μL | $221 | 7-10 days | 7-10 days | |
| 100 μL | $373 | 7-10 days | 7-10 days | |
| 200 μL | $529 | 7-10 days | 7-10 days |
| Description | Anti-BCL2 Antibody (2P100) is a Mouse antibody targeting BCL2. Anti-BCL2 Antibody (2P100) can be used in ICC/IF,IF,IHC-Fr,IHC-P,WB. |
| Synonyms | PPP1R50, Bcl-2, B-cell CLL/lymphoma 2 |
| Ig Type | IgG |
| Clone | 2P100 |
| Reactivity | Human,Rat (predicted:Mouse,Dog,Pig,Cow,Horse,Rabbit,Sheep,GuineaPig) |
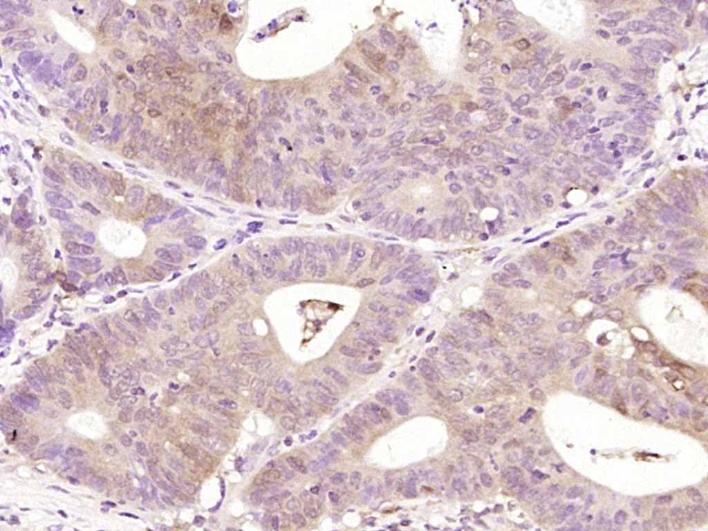
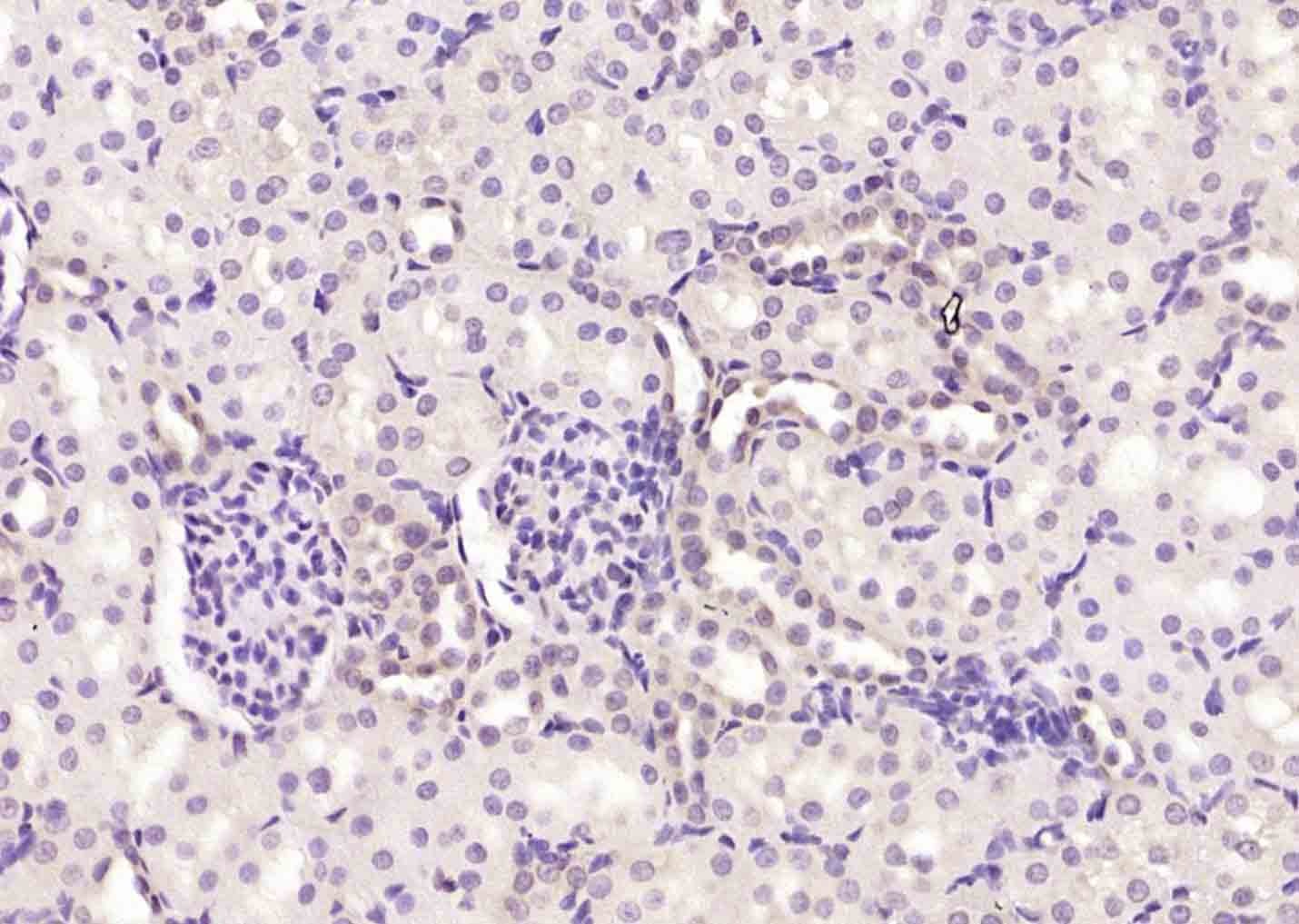
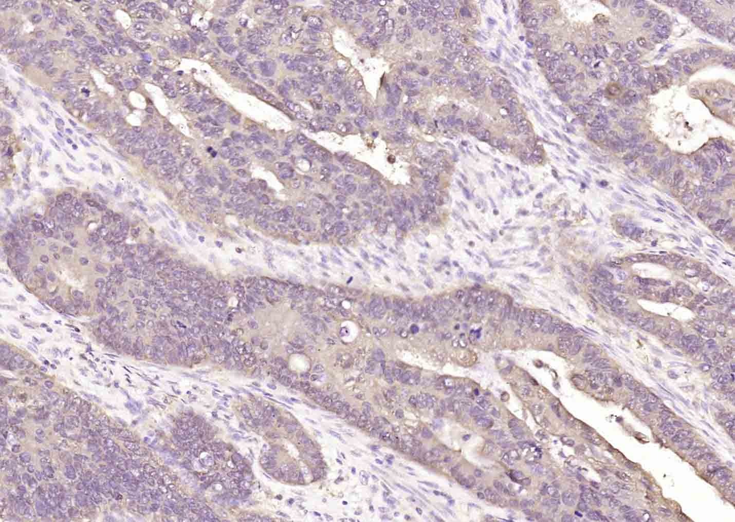
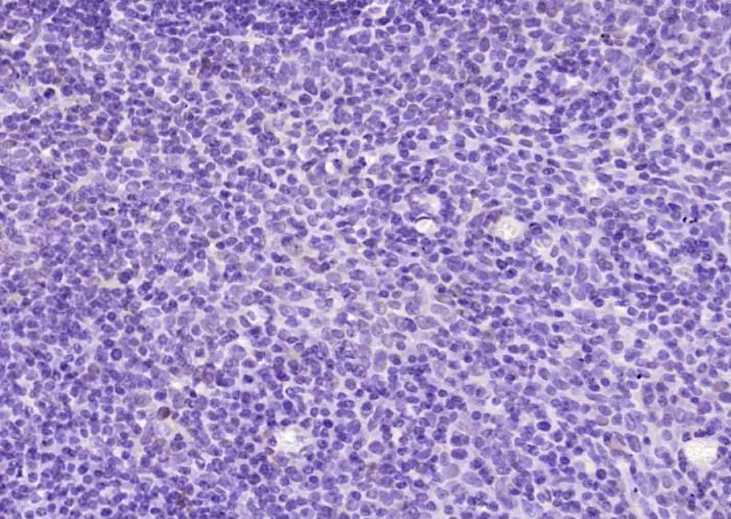
| Verified Activity | 1. Sample: Jurkat (Human) Cell Lysate at 30 μg Hela (Human) Cell Lysate at 30 μg HL60 (Human) Cell Lysate at 30 μg Primary: Anti-Bcl-2 (TMAB-00194) at 1/1000 dilution Secondary: IRDye800CW Goat Anti-Mouse IgG at 1/20000 dilution Predicted band size: 26 kDa Observed band size: 26 kDa 2. Paraformaldehyde-fixed, paraffin embedded (human colon carcinoma); Antigen retrieval by boiling in sodium citrate buffer (pH6.0) for 15 min; Block endogenous peroxidase by 3% hydrogen peroxide for 20 min; Blocking buffer (normal goat serum) at 37°C for 30 min; Antibody incubation with (Bcl-2) Polyclonal Antibody, Unconjugated (TMAB-00194) at 1:200 overnight at 4°C, followed by operating according to SP Kit (Mouse) instructionsand DAB staining. 3. Paraformaldehyde-fixed, paraffin embedded (rat kidney); Antigen retrieval by boiling in sodium citrate buffer (pH6.0) for 15 min; Block endogenous peroxidase by 3% hydrogen peroxide for 20 min; Blocking buffer (normal goat serum) at 37°C for 30 min; Antibody incubation with (Bcl-2) Monoclonal Antibody, Unconjugated (TMAB-00194) at 1:200 overnight at 4°C, followed by operating according to SP Kit (Mouse) instructionsand DAB staining. 4. Paraformaldehyde-fixed, paraffin embedded (human tonsil); Antigen retrieval by boiling in sodium citrate buffer (pH6.0) for 15 min; Block endogenous peroxidase by 3% hydrogen peroxide for 20 min; Blocking buffer (normal goat serum) at 37°C for 30 min; Antibody incubation with (Bcl-2) Monoclonal Antibody, Unconjugated (TMAB-00194) at 1:200 overnight at 4°C, followed by operating according to SP Kit (Mouse) instructionsand DAB staining. 5. Paraformaldehyde-fixed, paraffin embedded (human colon carcinoma); Antigen retrieval by boiling in sodium citrate buffer (pH6.0) for 15 min; Block endogenous peroxidase by 3% hydrogen peroxide for 20 min; Blocking buffer (normal goat serum) at 37°C for 30 min; Antibody incubation with (Bcl-2) Monoclonal Antibody, Unconjugated (TMAB-00194) at 1:200 overnight at 4°C, followed by operating according to SP Kit (Mouse) instructionsand DAB staining. 6. Sample: LOVO Cell (Human) Lysate at 40 μg MCF-7 Cell (Human) Lysate at 40 μg Primary: Anti-Bcl-2 (TMAB-00194) at 1/2 000 dilution Secondary: IRDye800CW Goat Anti-Mouse IgG at 1/20000 dilution Predicted band size: 26 kDa Observed band size: 28 kDa 7. Sample: LOVO (Human) Cell Lysate at 30 μg Primary: Anti-Bcl-2 (TMAB-00194) at 1/1000 dilution Secondary: IRDye800CW Goat Anti-Mouse IgG at 1/20000 dilution Predicted band size: 26 kDa Observed band size: 26 kDa ![]() ![]() ![]() ![]() ![]() ![]() ![]() |
| Application | |
| Recommended Dose | WB: 1:500-2000; IHC-P: 1:100-500; IHC-Fr: 1:100-500; ICC/IF: 1:100; IF: 1:100-500 |
| Antibody Type | Monoclonal |
| Host Species | Mouse |
| Subcellular Localization | Mitochondrion outer membrane; Single-pass membrane protein. Nucleus membrane; Single-pass membrane protein. Endoplasmic reticulum membrane; Single-pass membrane protein. |
| Tissue Specificity | Expressed in a variety of tissues. |
| Construction | Hybridoma Monoclonal Antibody |
| Purification | Protein G purified |
| Appearance | Liquid |
| Formulation | 0.01M TBS (pH7.4) with 1% BSA, 0.02% Proclin300 and 50% Glycerol. |
| Concentration | 1 mg/mL |
| Research Background | The Bcl-2 gene was isolated at the chromosomal breakpoint of t(14;18)-bearing follicular B cell lymphomas(1,2).Bcl-2 blocks cell death following a variety of stimuli and confers a death-sparing effect to certain hematopoietic cell lines following growth factor withdrawal (3,5).Bcl-2 appears to function in several subcellular locations yet lacks any known motifs that would confer insight into its mechanism of action (6,7).A more recently identified protein,designated Bax p21(i.e., Bcl-associated X protein ),has extensive amino acid homology with Bcl-2 and both homodimerizes and forms heterodimers with Bcl-2(8). Overexpression of Bax accelerates apoptotic death induced by cytokine deprivation in an IL-3 dependent cell line and Bax also counters the death repressor activty of Bcl-2(8). |
| Immunogen | KLH conjugated synthetic peptide: human Bcl-2 |
| Antigen Species | Human |
| Gene Name | BCL2 |
| Gene ID | |
| Protein Name | Apoptosis regulator Bcl-2 |
| Uniprot ID | |
| Biology Area | Cellular metabolic process,Response to hypoxia,Bcl 2 family,Metabolism,Bcl 2 family,Cell survival & death,Oncoproteins,Bcl2 Family,Apoptosis marker and proteins ELISA kits,Apoptosis,Hypoxia,Mitochondrial markers,Cancer,Mitochondrial |
| Function | Suppresses apoptosis in a variety of cell systems including factor-dependent lymphohematopoietic and neural cells. Regulates cell death by controlling the mitochondrial membrane permeability. Appears to function in a feedback loop system with caspases. Inhibits caspase activity either by preventing the release of cytochrome c from the mitochondria and/or by binding to the apoptosis-activating factor (APAF-1). |
| Molecular Weight | Theoretical: 26 kDa. |
| Stability & Storage | Store at -20°C or -80°C for 12 months. Avoid repeated freeze-thaw cycles. |
| Transport | Shipping with blue ice. |
| Size | Quantity | Unit Price | Amount | Operation |
|---|

Copyright © 2015-2025 TargetMol Chemicals Inc. All Rights Reserved.