Shopping Cart
Remove All
Your shopping cart is currently empty
Synonyms: MFM6, Docking protein CAIR-1, Docking protein CAIR 1, CAIR 1, BIS, Bcl-2-binding protein Bis, Bcl-2-associated athanogene 3, BCL2 binding athanogene 3, BCL2 associated athanogene 3, Bcl 2 binding protein, BAG family molecular chaperone regulator 3, BAG 3
| Pack Size | Price | USA Stock | Global Stock | Quantity |
|---|---|---|---|---|
| 50 μL | $297 | 7-10 days | 7-10 days | |
| 100 μL | $497 | 7-10 days | 7-10 days |
| Description | Anti-BAG3 Antibody (9B703) is a Rabbit antibody targeting BAG3. Anti-BAG3 Antibody (9B703) can be used in IHC,IP,WB. |
| Synonyms | MFM6, Docking protein CAIR-1, Docking protein CAIR 1, CAIR 1, BIS, Bcl-2-binding protein Bis, Bcl-2-associated athanogene 3, BCL2 binding athanogene 3, BCL2 associated athanogene 3, Bcl 2 binding protein, BAG family molecular chaperone regulator 3, BAG 3 |
| Ig Type | IgG |
| Clone | 9B703 |
| Reactivity | Human |
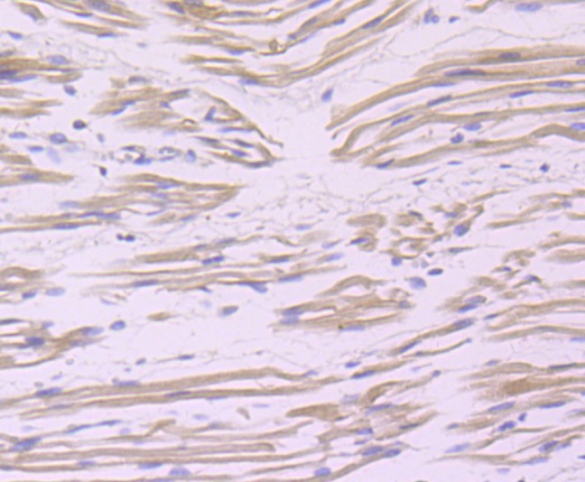
| Verified Activity | 1. Western blot analysis of Bag3 on Hela (1) and MCF-7 (2) cell using anti-Bag3 antibody at 1/1,000 dilution. 2. Immunohistochemical analysis of paraffin-embedded human fetal skeletal muscle tissue using anti-Bag3 antibody. Counter stained with hematoxylin. |
| Application | |
| Recommended Dose | WB: 1:1000-2000; IHC: 1:50-200 |
| Antibody Type | Monoclonal |
| Host Species | Rabbit |
| Construction | Recombinant Antibody |
| Purification | ProA affinity purified |
| Appearance | Liquid |
| Formulation | 1*TBS (pH7.4), 1%BSA, 40%Glycerol. Preservative: 0.05% Sodium Azide. |
| Research Background | The Bag family of proteins are characterized by the presence of a 45 amino acid Bag domain through which they bind with high affinity to the ATPase domain of HSP 70, thereby negatively regulating HSP 70 chaperone activity. Bag-3 (Bcl-2-associated athanogene 3), also known as BIS or CAIR-1, is a 575 amino acid protein that contains one C-terminal Bag domain and two N-terminal WW domains. Like other members of the Bag family, Bag-3 functions to inhibit the chaperone activity of HSP 70, specifically by promoting the release of HSP 70-bound substrates. Additionally, Bag-3 exhibits apoptotic activity via cell cycle control, suggesting a possible role for Bag-3 in tumor progression. The gene encoding Bag-3 maps to human chromosome 10, which houses over 1,200 genes and comprises nearly 4.5% of the human genome. |
| Conjucates | Unconjugated |
| Immunogen | Recombinant Protein |
| Uniprot ID |
| Molecular Weight | Theoretical: 75 kDa. |
| Stability & Storage | Store at -20°C or -80°C for 12 months. Avoid repeated freeze-thaw cycles. |
| Transport | Shipping with blue ice. |
| Size | Quantity | Unit Price | Amount | Operation |
|---|

Copyright © 2015-2026 TargetMol Chemicals Inc. All Rights Reserved.