Shopping Cart
Remove All
Your shopping cart is currently empty
Anti-BACH1 Polyclonal Antibody is a Rabbit antibody targeting BACH1. Anti-BACH1 Polyclonal Antibody can be used in FCM,IF,IHC-Fr,IHC-P,WB.
| Pack Size | Price | USA Stock | Global Stock | Quantity |
|---|---|---|---|---|
| 50 μL | $220 | 7-10 days | 7-10 days | |
| 100 μL | $372 | 7-10 days | 7-10 days | |
| 200 μL | $529 | 7-10 days | 7-10 days |
| Description | Anti-BACH1 Polyclonal Antibody is a Rabbit antibody targeting BACH1. Anti-BACH1 Polyclonal Antibody can be used in FCM,IF,IHC-Fr,IHC-P,WB. |
| Synonyms | Transcription Regulator Protein BACH1, HA2303, BTBD24, BTB Domain And CNC Homolog 1, BTB And CNC Homology 1, Basic Leucine Zipper Transcription Factor 1, BTB And CNC Homolog 1, Basic Region Leucine Zipper Transcriptional Regulator BACH1, BACH-1, BACH1 |
| Ig Type | IgG |
| Reactivity | Human,Mouse,Rat (predicted:Chicken,Dog,Pig,Cow,Horse,Rabbit) |
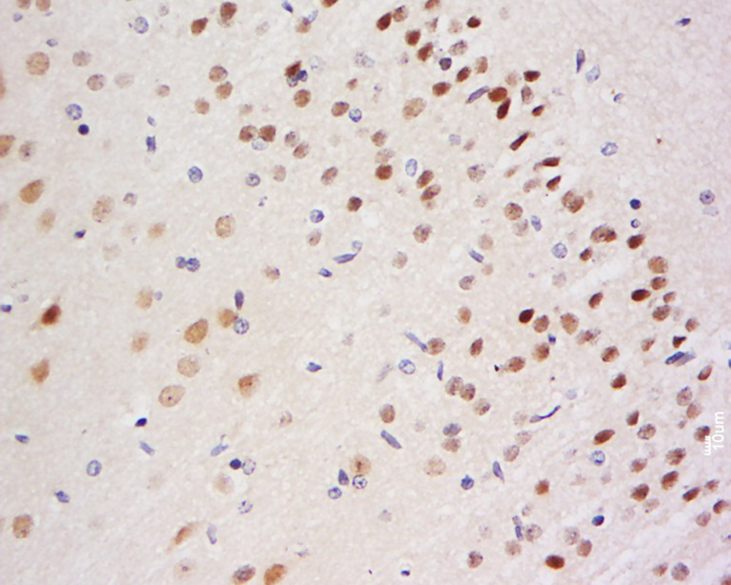
| Verified Activity | 1. Blank control (black line): Hela. Primary Antibody (green line): Rabbit Anti-BACH1 antibody (TMAB-00181) Dilution: 2 μg/Test; Secondary Antibody (white blue line): Goat anti-rabbit IgG-AF488 Dilution: 0.5 μg/Test. Isotype control (orange line): Normal Rabbit IgG Protocol The cells were fixed with 4% PFA (10 min at room temperature) and then permeabilized with 90% ice-cold methanol for 20 min at-20°C, The cells were then incubated in 5% BSA to block non-specific protein-protein interactions for 30 min at room temperature. Cells stained with Primary Antibody for 30 min at room temperature. The secondary antibody used for 40 min at room temperature. 2. Tissue/cell: Rat brain tissue; 4% Paraformaldehyde-fixed and paraffin-embedded; Antigen retrieval: citrate buffer (0.01M, pH6.0), Boiling bathing for 15 min; Block endogenous peroxidase by 3% Hydrogen peroxide for 30 min; Blocking buffer (normal goat serum) at 37°C for 20 min; Incubation: Anti-BACH1 Polyclonal Antibody, Unconjugated (TMAB-00181) 1:200, overnight at 4°C, followed by conjugation to the secondary antibody and DAb staining. 3. Sample: Bone (Mouse) Lysate at 40 μg Primary: Anti-BACH1 (TMAB-00181) at 1/300 dilution Secondary: IRDye800CW Goat Anti-Rabbit IgG at 1/20000 dilution Predicted band size: 81 kDa Observed band size: 81 kDa ![]() ![]() ![]() |
| Application | |
| Recommended Dose | WB: 1:500-2000; IHC-P: 1:100-500; IHC-Fr: 1:100-500; IF: 1:100-500; FCM: 2ug/test |
| Antibody Type | Polyclonal |
| Host Species | Rabbit |
| Subcellular Localization | Nucleus. |
| Construction | Polyclonal Antibody |
| Purification | Protein A purified |
| Appearance | Liquid |
| Formulation | 0.01M TBS (pH7.4) with 1% BSA, 0.02% Proclin300 and 50% Glycerol. |
| Concentration | 1 mg/mL |
| Research Background | This gene encodes a transcription factor that belongs to the cap'n'collar type of basic region leucine zipper factor family (CNC-bZip). The encoded protein contains broad complex, tramtrack, bric-a-brac/poxvirus and zinc finger (BTB/POZ) domains, which is atypical of CNC-bZip family members. These BTB/POZ domains facilitate protein-protein interactions and formation of homo- and/or hetero-oligomers. When this encoded protein forms a heterodimer with MafK, it functions as a repressor of Maf recognition element (MARE) and transcription is repressed. Multiple alternatively spliced transcript variants have been identified for this gene. [provided by RefSeq, May 2009] |
| Immunogen | KLH conjugated synthetic peptide: human BACH1 |
| Antigen Species | Human |
| Gene Name | BACH1 |
| Gene ID | |
| Protein Name | Transcription regulator protein BACH1 |
| Uniprot ID | |
| Function | Transcriptional regulator that acts as repressor or activator. Binds, in-vitro, to NF-E2 binding sites. Play important roles in coordinating transcription activation and repression by MAFK. |
| Molecular Weight | Theoretical: 81 kDa. Actual: 81 kDa. |
| Stability & Storage | Store at -20°C or -80°C for 12 months. Avoid repeated freeze-thaw cycles. |
| Transport | Shipping with blue ice. |
| Size | Quantity | Unit Price | Amount | Operation |
|---|

Copyright © 2015-2026 TargetMol Chemicals Inc. All Rights Reserved.