Shopping Cart
Remove All
Your shopping cart is currently empty
Anti-BACE1 Polyclonal Antibody is a Rabbit antibody targeting BACE1. Anti-BACE1 Polyclonal Antibody can be used in ICC/IF, IF, IHC-Fr, IHC-P, WB.
| Pack Size | Price | USA Stock | Global Stock | Quantity |
|---|---|---|---|---|
| 50 μL | $220 | 7-10 days | 7-10 days | |
| 100 μL | $374 | 7-10 days | 7-10 days | |
| 200 μL | $528 | 7-10 days | 7-10 days |
| Description | Anti-BACE1 Polyclonal Antibody is a Rabbit antibody targeting BACE1. Anti-BACE1 Polyclonal Antibody can be used in ICC/IF, IF, IHC-Fr, IHC-P, WB. |
| Synonyms | β-site APP-cleaving enzyme 1, HSPC104, beta-site APP-cleaving enzyme 1, BACE, ASP2 |
| Ig Type | IgG |
| Reactivity | Human,Mouse,Rat (predicted:Chicken,Dog,Pig,Rabbit,GuineaPig) |
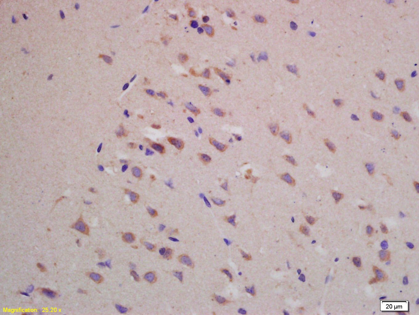
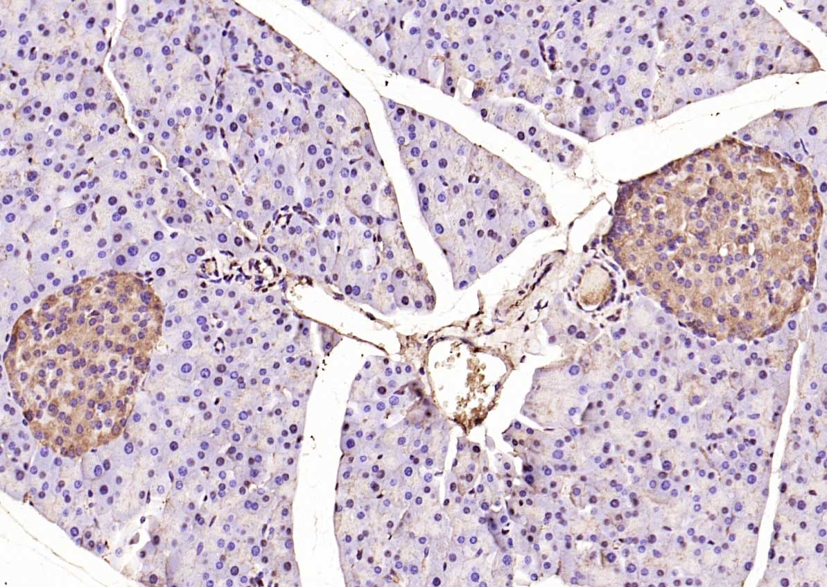
| Verified Activity | 1. Paraformaldehyde-fixed, paraffin embedded (rat brain tissue); Antigen retrieval by boiling in sodium citrate buffer (pH6.0) for 15 min; Block endogenous peroxidase by 3% hydrogen peroxide for 20 min; Blocking buffer (normal goat serum) at 37°C for 30 min; Antibody incubation with (BACE1) Polyclonal Antibody, Unconjugated (TMAB-00180) at 1:400 overnight at 4°C, followed by a conjugated secondary for 20 min and DAB staining. 2. Paraformaldehyde-fixed, paraffin embedded (mouse pancreas); Antigen retrieval by boiling in sodium citrate buffer (pH6.0) for 15 min; Block endogenous peroxidase by 3% hydrogen peroxide for 20 min; Blocking buffer (normal goat serum) at 37°C for 30 min; Antibody incubation with (BACE1) Polyclonal Antibody, Unconjugated (TMAB-00180) at 1:200 overnight at 4°C, followed by operating according to SP Kit (Rabbit) instructionsand DAB staining. 3. Hela cell; 4% Paraformaldehyde-fixed; Triton X-100 at room temperature for 20 min; Blocking buffer (normal goat serum) at 37°C for 20 min; Antibody incubation with (BACE1) polyclonal Antibody, Unconjugated (TMAB-00180) 1:100, 90 minutes at 37°C; followed by a conjugated Goat Anti-Rabbit IgG antibody at 37°C for 90 minutes, DAPI (blue) was used to stain the cell nucleus. 4. Sample: Lane 1: SH-SY5Y (Human) Cell Lysate at 30 μg Lane 2: Huvec (Human) Cell Lysate at 30 μg Primary: Anti-BACE1 (TMAB-00180) at 1/1000 dilution Secondary: IRDye800CW Goat Anti-Rabbit IgG at 1/20000 dilution Predicted band size: 60-70 kDa Observed band size: 68 kDa ![]() ![]() ![]() ![]() |
| Application | |
| Recommended Dose | ICC/IF=1:100-500; IF=1:100-500; IHC-Fr=1:100-500; IHC-P=1:100-500; WB=1:500-2000 |
| Antibody Type | Polyclonal |
| Host Species | Rabbit |
| Subcellular Localization | Membrane. |
| Tissue Specificity | Expressed at high levels in the brain and pancreas. In the brain, expression is highest in the substantia nigra, locus coruleus and medulla oblongata. |
| Construction | Polyclonal Antibody |
| Purification | Protein A purified |
| Appearance | Liquid |
| Formulation | 0.01M TBS (pH7.4) with 1% BSA, 0.02% Proclin300 and 50% Glycerol. |
| Concentration | 1 mg/mL |
| Research Background | Cerebral deposition of amyloid beta peptide is an early and critical feature of Alzheimer's disease. Amyloid beta peptide is generated by proteolytic cleavage of amyloid precursor protein(APP) by two proteases, one of which is the protein encoded by this gene. The encoded protein, a member of the peptidase A1 protein family, is a type I integral membrane glycoprotein and aspartic protease that is found mainly in the Golgi. Multiple transcript variants encoding different isoforms have been described for this gene. |
| Immunogen | KLH conjugated synthetic peptide: human BACE1 |
| Antigen Species | Human |
| Gene Name | BACE1 |
| Gene ID | |
| Protein Name | beta-secretase 1 |
| Uniprot ID | |
| Biology Area | BACEs,Proteases |
| Function | Responsible for the proteolytic processing of the amyloid precursor protein (APP). Cleaves at the N-terminus of the A-beta peptide sequence, between residues 671 and 672 of APP, leads to the generation and extracellular release of beta-cleaved soluble APP, and a corresponding cell-associated C-terminal fragment which is later released by gamma-secretase. |
| Molecular Weight | Theoretical: 51 kDa. Actual: 68 kDa. |
| Stability & Storage | Store at -20°C or -80°C for 12 months. Avoid repeated freeze-thaw cycles. |
| Transport | Shipping with blue ice. |
| Size | Quantity | Unit Price | Amount | Operation |
|---|

Copyright © 2015-2026 TargetMol Chemicals Inc. All Rights Reserved.