Shopping Cart
Remove All
Your shopping cart is currently empty
Anti-AXL Polyclonal Antibody is a Rabbit antibody targeting AXL. Anti-AXL Polyclonal Antibody can be used in IF, IHC-Fr, IHC-P, WB.
| Pack Size | Price | USA Stock | Global Stock | Quantity |
|---|---|---|---|---|
| 50 μL | $221 | 7-10 days | 7-10 days | |
| 100 μL | $373 | 7-10 days | 7-10 days | |
| 200 μL | $529 | 7-10 days | 7-10 days |
| Description | Anti-AXL Polyclonal Antibody is a Rabbit antibody targeting AXL. Anti-AXL Polyclonal Antibody can be used in IF, IHC-Fr, IHC-P, WB. |
| Synonyms | AXL receptor tyrosine kinase |
| Ig Type | IgG |
| Reactivity | Human (predicted:Mouse,Rat,Dog,Horse,Rabbit) |
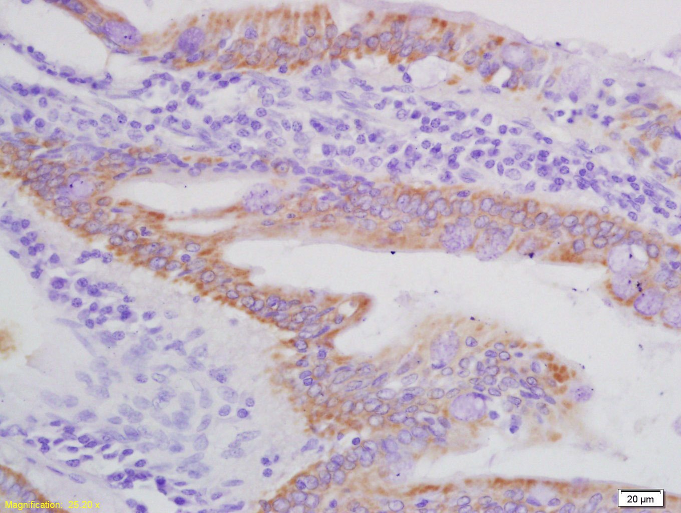
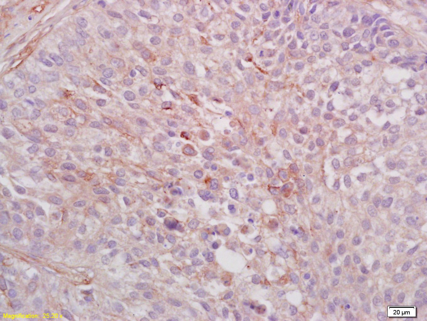
| Verified Activity | 1. Tissue/cell: human colon carcinoma; 4% Paraformaldehyde-fixed and paraffin-embedded; Antigen retrieval: citrate buffer (0.01M, pH6.0), Boiling bathing for 15 min; Block endogenous peroxidase by 3% Hydrogen peroxide for 30 min; Blocking buffer (normal goat serum) at 37°C for 20 min; Incubation: Anti-AXL/UFO Polyclonal Antibody, Unconjugated (TMAB-00177) 1:200, overnight at 4°C, followed by conjugation to the secondary antibody and DAb staining. 2. Tissue/cell: human lung carcinoma; 4% Paraformaldehyde-fixed and paraffin-embedded; Antigen retrieval: citrate buffer (0.01M, pH6.0), Boiling bathing for 15 min; Block endogenous peroxidase by 3% Hydrogen peroxide for 30 min; Blocking buffer (normal goat serum) at 37°C for 20 min; Incubation: Anti-AXL/UFO Polyclonal Antibody, Unconjugated (TMAB-00177) 1:200, overnight at 4°C, followed by conjugation to the secondary antibody and DAb staining. 3. Sample: MKN45 (Human) Cell Lysate at 30 μg SW480 (Human) Cell Lysate at 30 μg FHc (Human) Cell Lysate at 30 μg Primary: Anti-AXL (TMAB-00177) at 1/1000 dilution Secondary: IRDye800CW Goat Anti-Rabbit IgG at 1/20000 dilution Predicted band size: 140/120/98 kDa Observed band size: 120 kDa 4. Sample: Testis (Mouse) Lysate at 40 μg Hela (Human) Cell Lysate at 30 μg Primary: Anti-AXL (TMAB-00177) at 1/1000 dilution Secondary: IRDye800CW Goat Anti-Rabbit IgG at 1/20000 dilution Predicted band size: 140/120/65 kDa Observed band size: 120 kDa 5. Sample: LOVO (Human) Cell Lysate at 40 μg K562 (Human) Cell Lysate at 40 μg Primary: Anti-AXL (TMAB-00177) at 1/500 dilution Secondary: IRDye800CW Goat Anti-Rabbit IgG at 1/20000 dilution Predicted band size: 95 kDa Observed band size: 95 kDa ![]() ![]() ![]() ![]() ![]() |
| Application | |
| Recommended Dose | WB: 1:500-2000; IHC-P: 1:100-500; IHC-Fr: 1:100-500; IF: 1:100-500 |
| Antibody Type | Polyclonal |
| Host Species | Rabbit |
| Subcellular Localization | Cell membrane; Single-pass type I membrane protein. |
| Tissue Specificity | Highly expressed in metastatic colon tumors. Expressed in primary colon tumors. Weakly expressed in normal colon tissue. |
| Construction | Polyclonal Antibody |
| Purification | Protein A purified |
| Appearance | Liquid |
| Formulation | 0.01M TBS (pH7.4) with 1% BSA, 0.02% Proclin300 and 50% Glycerol. |
| Concentration | 1 mg/mL |
| Research Background | The protein encoded by this gene is a member of the receptor tyrosine kinase subfamily. Although it is similar to other receptor tyrosine kinases, the Axl protein represents a unique structure of the extracellular region that juxtaposes IgL and FNIII repeats. It transduces signals from the extracellular matrix into the cytoplasm by binding growth factors such as vitamin K dependent protein growth arrest specific gene 6. It is involved in the stimulation of cell proliferation. This receptor can also mediate cell aggregation by homophilic binding. Axl is a chronic myelogenous leukemia associated oncogene and also associated with colon cancer and melanoma.The Axl gene is evolutionarily conserved between vertebrate species. This gene has two different alternatively spliced transcript variants (AXL1 and AXL2). |
| Immunogen | KLH conjugated synthetic peptide: human AXL |
| Antigen Species | Human |
| Gene Name | AXL |
| Gene ID | |
| Protein Name | Tyrosine-protein kinase receptor UFO |
| Uniprot ID | |
| Biology Area | Kinases/phosphatases,Signal transducers,Signal transduction,Kinases/Phosphatases,Receptor Tyrosine Kinases,Tumor Associated |
| Function | Receptor tyrosine kinase that transduces signals from the extracellular matrix into the cytoplasm by binding growth factor GAS6 and which is thus regulating many physiological processes including cell survival, cell proliferation, migration and differentiation. Ligand binding at the cell surface induces dimerization and autophosphorylation of AXL. Following activation by ligand, ALX binds and induces tyrosine phosphorylation of PI3-kinase subunits PIK3R1, PIK3R2 and PIK3R3; but also GRB2, PLCG1, LCK and PTPN11. Other downstream substrate candidates for AXL are CBL, NCK2, SOCS1 and TENC1. Recruitment of GRB2 and phosphatidylinositol-3 kinase regulatory subunits by AXL leads to the downstream activation of the AKT kinase. GAS6/AXL signaling plays a role in various processes such as endothelial cell survival during acidification by preventing apoptosis, optimal cytokine signaling during human natural killer cell development, hepatic regeneration, gonadotropin-releasing hormone neuron survival and migration, platelet activation, or regulation of thrombotic responses. Plays also an important role in inhibition of Toll-like receptors (TLRs)-mediated innate immune response. In case of filovirus infection, seems to function as a cell entry factor. |
| Molecular Weight | Theoretical: 95 kDa. Actual: 138 kDa. |
| Stability & Storage | Store at -20°C or -80°C for 12 months. Avoid repeated freeze-thaw cycles. |
| Transport | Shipping with blue ice. |
| Size | Quantity | Unit Price | Amount | Operation |
|---|

Copyright © 2015-2026 TargetMol Chemicals Inc. All Rights Reserved.