Shopping Cart
Remove All
Your shopping cart is currently empty
Anti-AURKB Antibody (8W890) is a Rabbit antibody targeting AURKB. Anti-AURKB Antibody (8W890) can be used in ICC/IF,IHC,IP,WB.
| Pack Size | Price | USA Warehouse | Global Warehouse | Quantity |
|---|---|---|---|---|
| 50 μL | $296 | 7-10 days | 7-10 days | |
| 100 μL | $498 | 7-10 days | 7-10 days |
| Description | Anti-AURKB Antibody (8W890) is a Rabbit antibody targeting AURKB. Anti-AURKB Antibody (8W890) can be used in ICC/IF,IHC,IP,WB. |
| Synonyms | STK5, STK12, STK-1, STK1, Serine/threonine-protein kinase aurora-B, Serine/threonine-protein kinase 5, Serine/threonine-protein kinase 12, EC 2.7.11.1, Aurora-related kinase 2, Aurora/IPL1-related kinase 2, Aurora kinase B, Aurora- and IPL1-like midbody-associated protein 1, Aurora 1, ARK-2, ARK2, AIRK2, AIM-1, AIM1, AIK2 |
| Ig Type | IgG |
| Clone | 8W890 |
| Reactivity | Human |
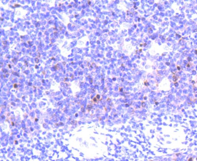
| Verified Activity | 1. Western blot analysis of Aurora B on different lysates using anti-Aurora B antibody at 1/1,000 dilution. Positive control: Lane 1: Hela, Lane 2: MCF-7. 2. Immunohistochemical analysis of paraffin-embedded human tonsil tissue using anti-Aurora B antibody. Counter stained with hematoxylin. ![]() ![]() |
| Application | |
| Recommended Dose | WB: 1:1000-2000; IHC: 1:50-200; ICC/IF: 1:50-200 |
| Antibody Type | Monoclonal |
| Host Species | Rabbit |
| Construction | Recombinant Antibody |
| Purification | ProA affinity purified |
| Appearance | Liquid |
| Formulation | 1*TBS (pH7.4), 1%BSA, 40%Glycerol. Preservative: 0.05% Sodium Azide. |
| Research Background | Aurora related kinase-1 (ARK-1, STK15, Aurora2, Aik1) and -2 (ARK-2, STK12, Aurora1) are centrosome-associated serine/ threonine kinases that regulate centrosome separation, bipolar spindle assembly, and chromosome segregation during mitosis. ARK-1 and -2 are expressed in the nucleus and localize to distinct portions of mitotic machinery such as the centrosome, spindle poles (ARK-1), and midbody (ARK-2) during mitosis. ARK-1 and -2 transcripts are present at high levels in human thymus and fetal liver. ARK-1 protein has elevated expression in colon carcinoma lines (HT-29, SNU-C2B, COLO 205, SW480, 837 and 948) and accumulates during metaphase in HeLa cells. ARK-2 protein levels are maximal during both S and G2/M phases, whereas ARK-1 protein is degraded after G2/M via the ubiquitin-proteasome pathway. ARK-2 has a unique genetic loci relative to ARK-1, suggesting that these two kinases, with oncogenic potential, have different roles in cell cycle progression. |
| Conjucates | Unconjugated |
| Immunogen | Recombinant Protein |
| Uniprot ID |
| Molecular Weight | Theoretical: 39 kDa. |
| Stability & Storage | Store at -20°C or -80°C for 12 months. Avoid repeated freeze-thaw cycles. |
| Transport | Shipping with blue ice. |
| Size | Quantity | Unit Price | Amount | Operation |
|---|

Copyright © 2015-2026 TargetMol Chemicals Inc. All Rights Reserved.