Shopping Cart
Remove All
Your shopping cart is currently empty
Anti-ATP7B Polyclonal Antibody is a Rabbit antibody targeting ATP7B. Anti-ATP7B Polyclonal Antibody can be used in IF,IHC-Fr,IHC-P.
| Pack Size | Price | USA Warehouse | Global Warehouse | Quantity |
|---|---|---|---|---|
| 50 μL | $222 | 7-10 days | 7-10 days | |
| 100 μL | $372 | 7-10 days | 7-10 days | |
| 200 μL | $527 | 7-10 days | 7-10 days |
| Description | Anti-ATP7B Polyclonal Antibody is a Rabbit antibody targeting ATP7B. Anti-ATP7B Polyclonal Antibody can be used in IF,IHC-Fr,IHC-P. |
| Synonyms | WND/140 kDa, WND, Wilson disease associated protein, WD, WC1, tx, Toxic milk, PWD, Cu++ transporting, Cu(2+) transporting, Copper transporting ATPase 2, Copper pump 2, beta polypeptide, ATPase, ATP7B |
| Ig Type | IgG |
| Reactivity | Human,Mouse,Rat (predicted:Chicken,Pig,Rabbit) |
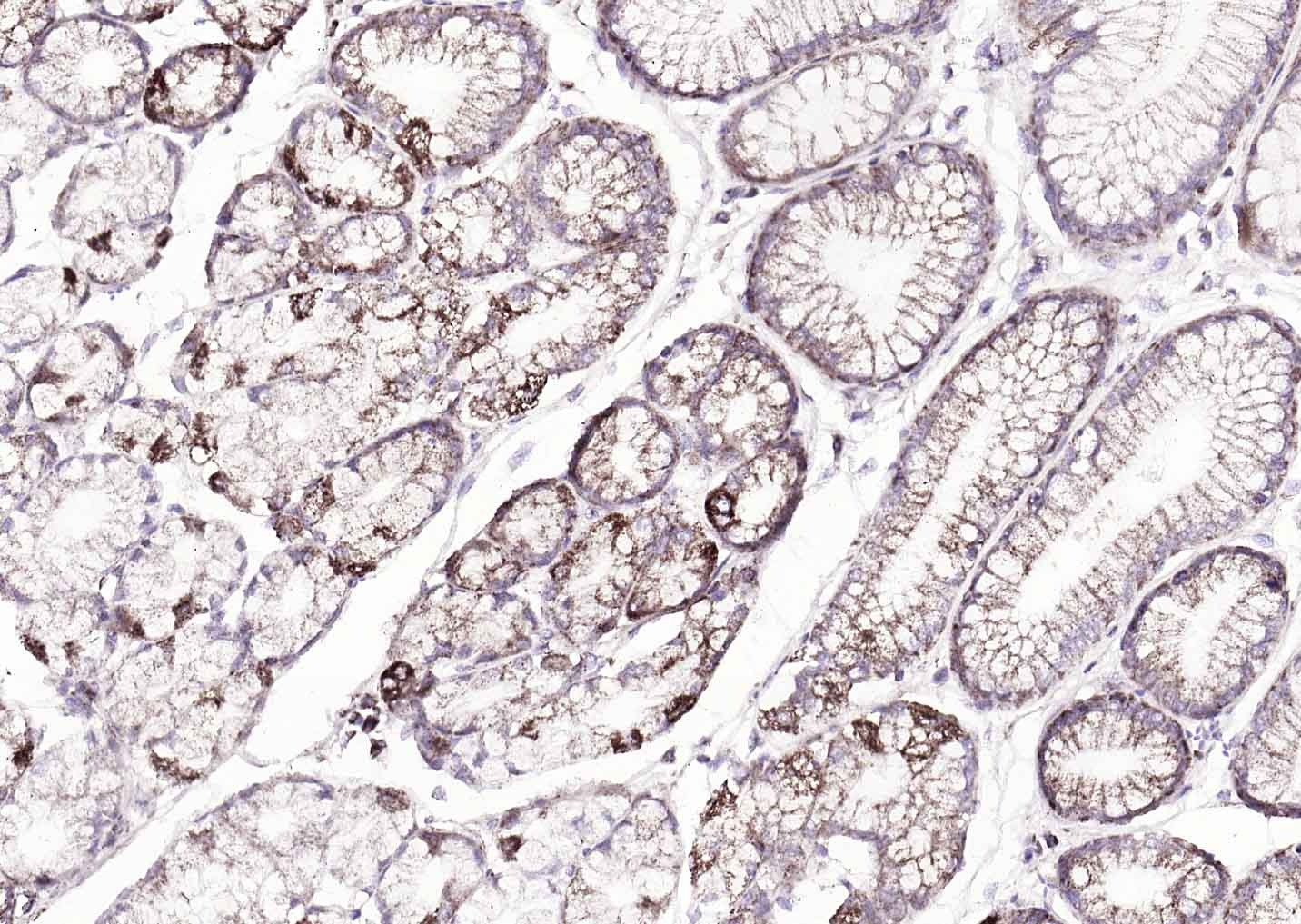
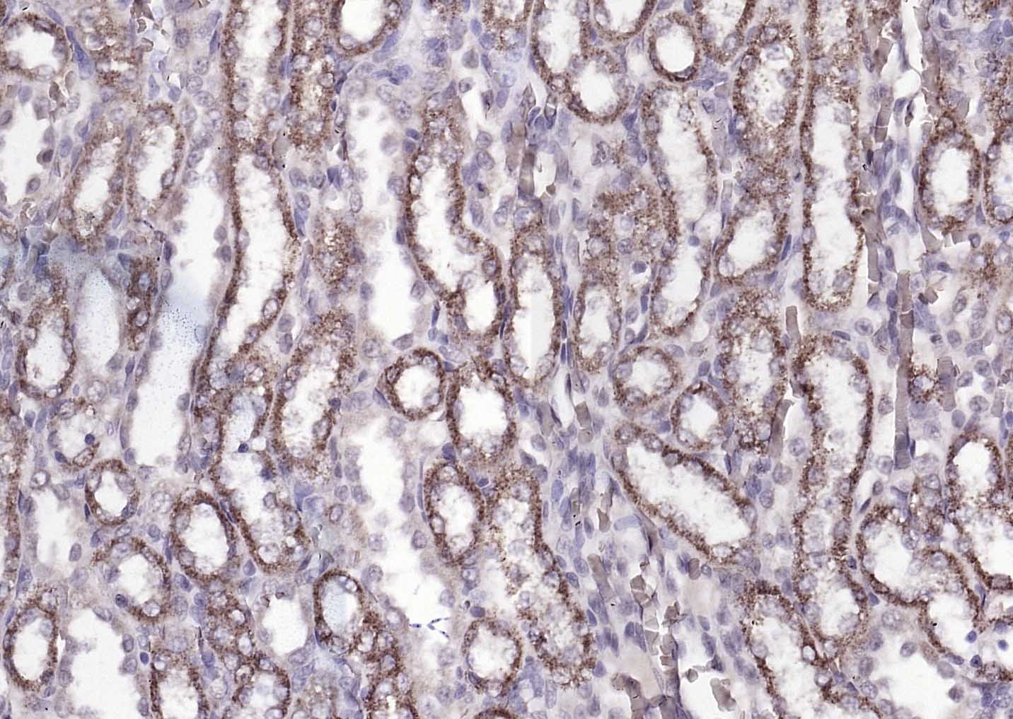
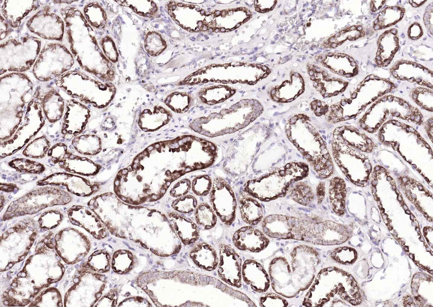
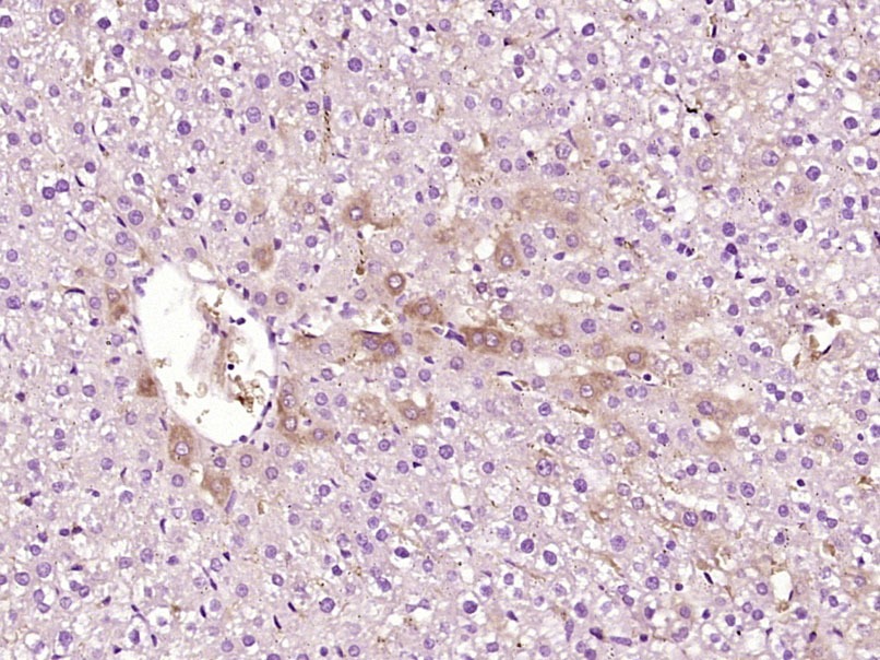
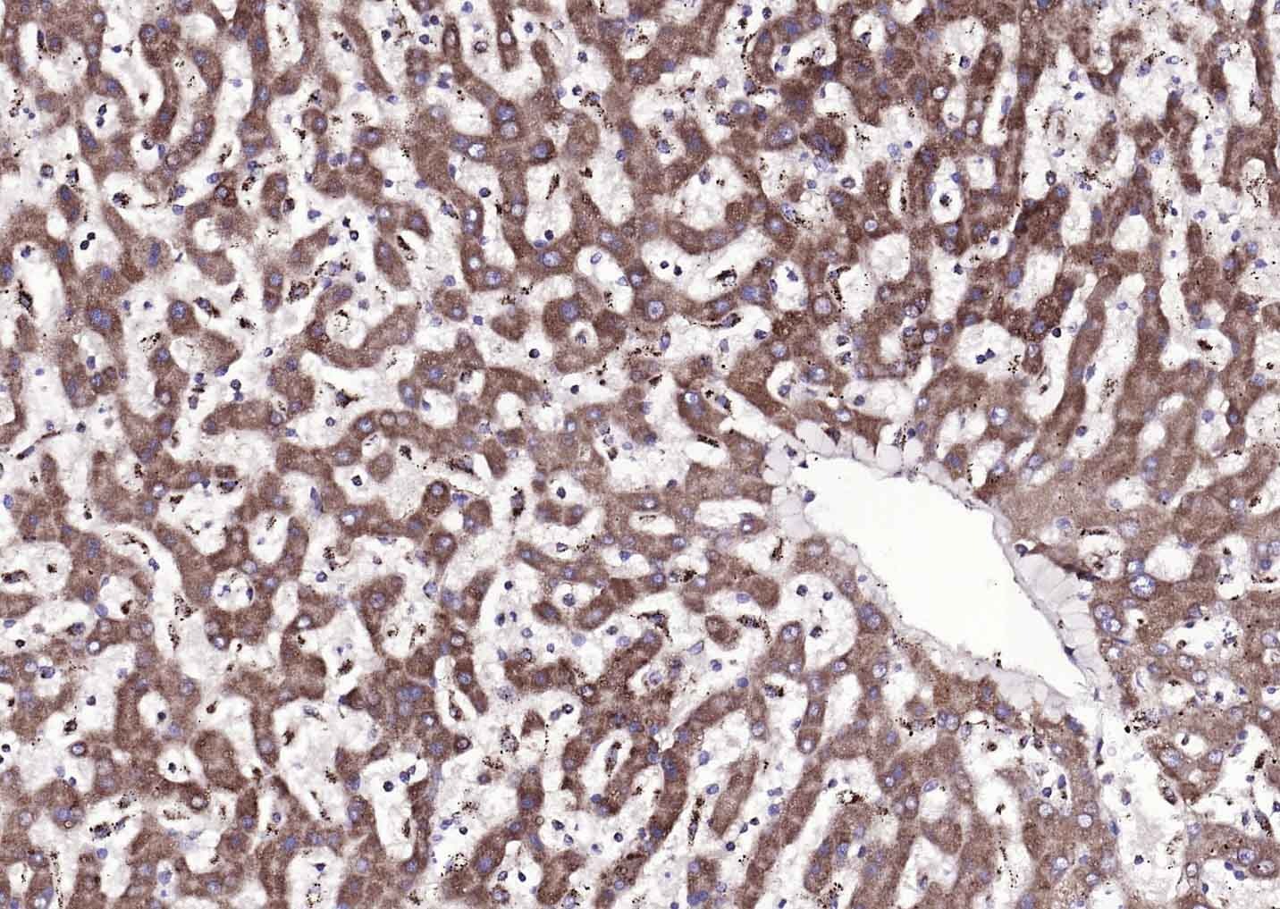
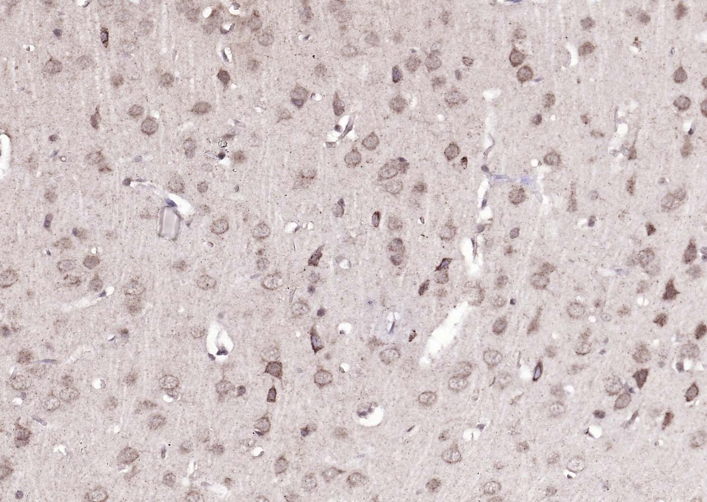
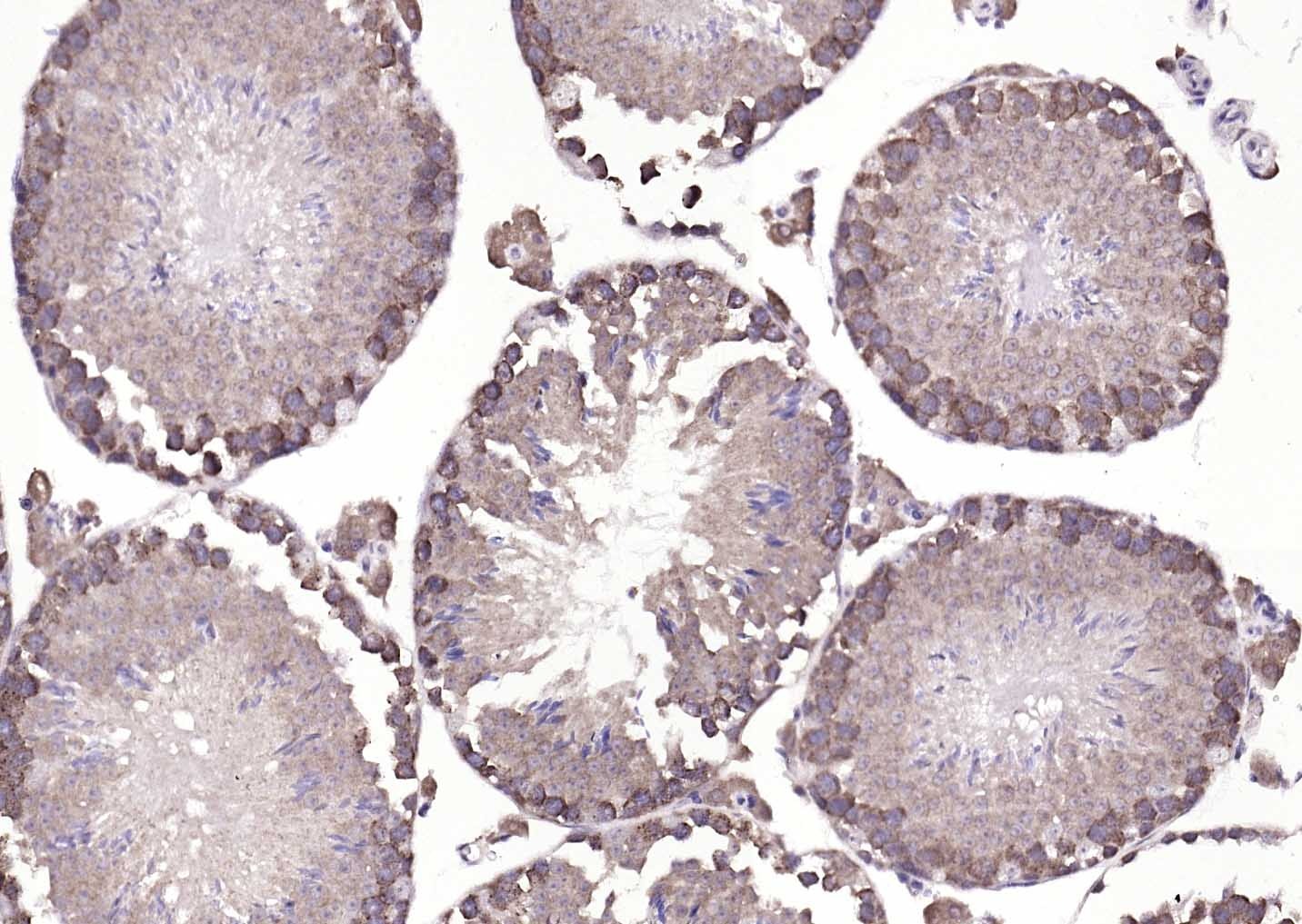
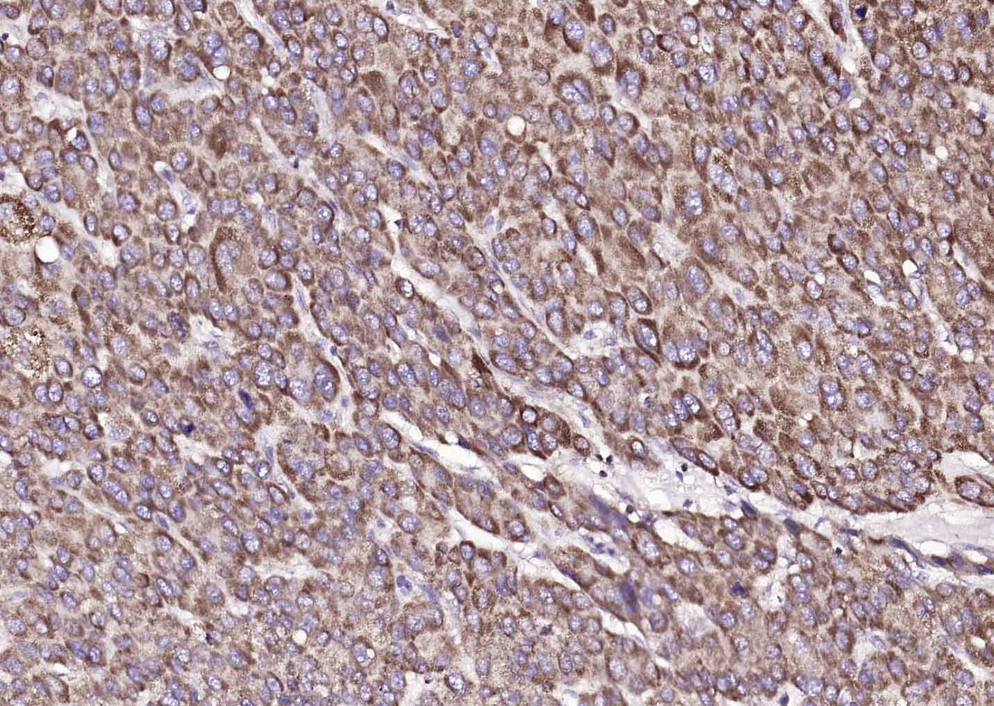
| Verified Activity | 1. Paraformaldehyde-fixed, paraffin embedded (mouse testis); Antigen retrieval by boiling in sodium citrate buffer (pH6.0) for 15 min; Block endogenous peroxidase by 3% hydrogen peroxide for 20 min; Blocking buffer (normal goat serum) at 37°C for 30 min; Antibody incubation with (ATP7B) Polyclonal Antibody, Unconjugated (TMAB-00171) at 1:200 overnight at 4°C, followed by operating according to SP Kit (Rabbit) instructionsand DAB staining. 2. Paraformaldehyde-fixed, paraffin embedded (human liver carcinoma); Antigen retrieval by boiling in sodium citrate buffer (pH6.0) for 15 min; Block endogenous peroxidase by 3% hydrogen peroxide for 20 min; Blocking buffer (normal goat serum) at 37°C for 30 min; Antibody incubation with (ATP7B) Polyclonal Antibody, Unconjugated (TMAB-00171) at 1:200 overnight at 4°C, followed by operating according to SP Kit (Rabbit) instructionsand DAB staining. 3. Paraformaldehyde-fixed, paraffin embedded (human gastric carcinoma); Antigen retrieval by boiling in sodium citrate buffer (pH6.0) for 15 min; Block endogenous peroxidase by 3% hydrogen peroxide for 20 min; Blocking buffer (normal goat serum) at 37°C for 30 min; Antibody incubation with (ATP7B) Polyclonal Antibody, Unconjugated (TMAB-00171) at 1:200 overnight at 4°C, followed by operating according to SP Kit (Rabbit) instructionsand DAB staining. 4. Paraformaldehyde-fixed, paraffin embedded (Rat liver); Antigen retrieval by boiling in sodium citrate buffer (pH6.0) for 15 min; Block endogenous peroxidase by 3% hydrogen peroxide for 20 min; Blocking buffer (normal goat serum) at 37°C for 30 min; Antibody incubation with (ATP7B) Polyclonal Antibody, Unconjugated (TMAB-00171) at 1:400 overnight at 4°C, followed by operating according to SP Kit (Rabbit) instructionsand DAB staining. 5. Paraformaldehyde-fixed, paraffin embedded (rat testis); Antigen retrieval by boiling in sodium citrate buffer (pH6.0) for 15 min; Block endogenous peroxidase by 3% hydrogen peroxide for 20 min; Blocking buffer (normal goat serum) at 37°C for 30 min; Antibody incubation with (ATP7B) Polyclonal Antibody, Unconjugated (TMAB-00171) at 1:200 overnight at 4°C, followed by operating according to SP Kit (Rabbit) instructionsand DAB staining. 6. Paraformaldehyde-fixed, paraffin embedded (rat brain); Antigen retrieval by boiling in sodium citrate buffer (pH6.0) for 15 min; Block endogenous peroxidase by 3% hydrogen peroxide for 20 min; Blocking buffer (normal goat serum) at 37°C for 30 min; Antibody incubation with (ATP7B) Polyclonal Antibody, Unconjugated (TMAB-00171) at 1:200 overnight at 4°C, followed by operating according to SP Kit (Rabbit) instructionsand DAB staining. 7. Paraformaldehyde-fixed, paraffin embedded (rat kidney); Antigen retrieval by boiling in sodium citrate buffer (pH6.0) for 15 min; Block endogenous peroxidase by 3% hydrogen peroxide for 20 min; Blocking buffer (normal goat serum) at 37°C for 30 min; Antibody incubation with (ATP7B) Polyclonal Antibody, Unconjugated (TMAB-00171) at 1:200 overnight at 4°C, followed by operating according to SP Kit (Rabbit) instructionsand DAB staining. 8. Paraformaldehyde-fixed, paraffin embedded (human liver); Antigen retrieval by boiling in sodium citrate buffer (pH6.0) for 15 min; Block endogenous peroxidase by 3% hydrogen peroxide for 20 min; Blocking buffer (normal goat serum) at 37°C for 30 min; Antibody incubation with (ATP7B) Polyclonal Antibody, Unconjugated (TMAB-00171) at 1:200 overnight at 4°C, followed by operating according to SP Kit (Rabbit) instructionsand DAB staining. 9. Paraformaldehyde-fixed, paraffin embedded (human kidney); Antigen retrieval by boiling in sodium citrate buffer (pH6.0) for 15 min; Block endogenous peroxidase by 3% hydrogen peroxide for 20 min; Blocking buffer (normal goat serum) at 37°C for 30 min; Antibody incubation with (ATP7B) Polyclonal Antibody, Unconjugated (TMAB-00171) at 1:200 overnight at 4°C, followed by operating according to SP Kit (Rabbit) instructionsand DAB staining. ![]() ![]() ![]() ![]() ![]() ![]() ![]() ![]() ![]() |
| Application | |
| Recommended Dose | IHC-P: 1:100-500; IHC-Fr: 1:100-500; IF: 1:100-500 |
| Antibody Type | Polyclonal |
| Host Species | Rabbit |
| Subcellular Localization | Golgi apparatus, trans-Golgi network membrane; Multi-pass membrane protein. Isoform 2: Cytoplasm. WND/140 kDa: Mitochondrion. |
| Tissue Specificity | Most abundant in liver and kidney and also found in brain. Isoform 2 is expressed in brain but not in liver. The cleaved form WND/140 kDa is found in liver cell lines and other tissues. |
| Construction | Polyclonal Antibody |
| Purification | Protein A purified |
| Appearance | Liquid |
| Formulation | 0.01M TBS (pH7.4) with 1% BSA, 0.02% Proclin300 and 50% Glycerol. |
| Concentration | 1 mg/mL |
| Research Background | ATP7b is an important protein for copper transport and elimination of excess copper from the body. ATP7b transports metals in and out of cells using ATP. There are 3 known isoforms of the ATP7b gene; A is found in the liver, kidney, and brain, the shorter form B is found in brain tissue, and the third isoform, known as WND/140 KDA is found in mitochondria. Mutations in the ATP7b gene can cause Wilson's disease, an inherited disorder causing copper poisoning in the brain and liver. |
| Immunogen | KLH conjugated synthetic peptide: human ATP7B |
| Antigen Species | Human |
| Gene Name | ATP7B |
| Gene ID | |
| Protein Name | BTLA |
| Uniprot ID | |
| Biology Area | Vitamins / minerals,Cancer,Vitamins / Minerals |
| Function | Involved in the export of copper out of the cells, such as the efflux of hepatic copper into the bile. |
| Molecular Weight | Theoretical: 161 kDa. |
| Stability & Storage | Store at -20°C or -80°C for 12 months. Avoid repeated freeze-thaw cycles. |
| Transport | Shipping with blue ice. |
| Size | Quantity | Unit Price | Amount | Operation |
|---|

Copyright © 2015-2026 TargetMol Chemicals Inc. All Rights Reserved.