Shopping Cart
Remove All
Your shopping cart is currently empty
Synonyms: SR Ca(2+)-ATPase 2, SERCA2, Sarcoplasmic/endoplasmic reticulum calcium ATPase 2, Endoplasmic reticulum class 1/2 Ca(2+) ATPase, Calcium-transporting ATPase sarcoplasmic reticulum type, slow twitch skeletal muscle isoform, Calcium pump 2, ATP2B, ATP2A2
| Pack Size | Price | USA Stock | Global Stock | Quantity |
|---|---|---|---|---|
| 50 μL | $222 | 7-10 days | 7-10 days | |
| 100 μL | $372 | 7-10 days | 7-10 days | |
| 200 μL | $529 | 7-10 days | 7-10 days |
| Description | Anti-ATP2A2 Polyclonal Antibody is a Rabbit antibody targeting ATP2A2. Anti-ATP2A2 Polyclonal Antibody can be used in FCM,IF,IHC-Fr,IHC-P. |
| Synonyms | SR Ca(2+)-ATPase 2, SERCA2, Sarcoplasmic/endoplasmic reticulum calcium ATPase 2, Endoplasmic reticulum class 1/2 Ca(2+) ATPase, Calcium-transporting ATPase sarcoplasmic reticulum type, slow twitch skeletal muscle isoform, Calcium pump 2, ATP2B, ATP2A2 |
| Ig Type | IgG |
| Reactivity | Human,Rat (predicted:Mouse,Dog,Pig,Cow,Horse,Rabbit) |
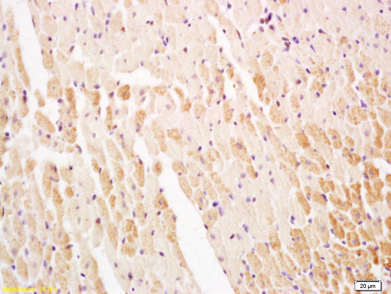
| Verified Activity | 1. Tissue/cell: rat heart tissue; 4% Paraformaldehyde-fixed and paraffin-embedded; Antigen retrieval: citrate buffer (0.01M, pH6.0), Boiling bathing for 15 min; Block endogenous peroxidase by 3% Hydrogen peroxide for 30 min; Blocking buffer (normal goat serum) at 37°C for 20 min; Incubation: Anti-Serca2/SERCA2 ATPase Polyclonal Antibody, Unconjugated (TMAB-00168) 1:200, overnight at 4°C, followed by conjugation to the secondary antibody and DAb staining. 2. Blank control (black line): Hela. Primary Antibody (green line): Rabbit Anti-Serca2 antibody (TMAB-00168) Dilution: 2 μg/Test; Secondary Antibody (white blue line): Goat anti-rabbit IgG-FITC Dilution: 0.5 μg/Test. Isotype control (orange line): Normal Rabbit IgG Protocol The cells were fixed with 4% PFA (10 min at room temperature) and then permeabilized with 90% ice-cold methanol for 20 min at-20°C, The cells were then incubated in 5% BSA to block non-specific protein-protein interactions for 30 min at room temperature. Cells stained with Primary Antibody for 30 min at room temperature. The secondary antibody used for 40 min at room temperature. |
| Application | |
| Recommended Dose | IHC-P: 1:100-500; IHC-Fr: 1:100-500; IF: 1:100-500; FCM: 2ug/Test |
| Antibody Type | Polyclonal |
| Host Species | Rabbit |
| Subcellular Localization | Endoplasmic reticulum membrane; Multi-pass membrane protein. Sarcoplasmic reticulum membrane; Multi-pass membrane protein. |
| Tissue Specificity | Isoform 1 is widely expressed in smooth muscle and nonmuscle tissues such as in adult skin epidermis, with highest expression in liver, pancreas and lung, and intermediate expression in brain, kidney and placenta. Also expressed at lower levels in heart a |
| Construction | Polyclonal Antibody |
| Purification | Protein A purified |
| Appearance | Liquid |
| Formulation | 0.01M TBS (pH7.4) with 1% BSA, 0.02% Proclin300 and 50% Glycerol. |
| Concentration | 1 mg/mL |
| Research Background | ATP dependent calcium pumps are responsible, in part, for the maintenance of low cytoplasmic free calcium concentrations. The ATP pumps that reside in intracellular organelles are encoded by a family of structurally related enzymes, termed the sarcoplasmic or endoplasmic reticulum calcium (SERCA) ATPases. The SERCA1 gene is exclusively expressed in type II (fast) skeletal muscle. The SERCA2 gene is subject to tissue dependent processing which is responsible for the generation of SERCA2a muscle-specific form expressed in type I (slow) skeletal, cardiac and smooth muscle and the SERCA2b isoform expressed in all cell types. The SERCA3 gene is not as well characterized and is found in non-muscle cells. |
| Immunogen | KLH conjugated synthetic peptide: human Serca2/SERCA2 ATPase |
| Antigen Species | Human |
| Gene Name | ATP2A2 |
| Gene ID | |
| Protein Name | Sarcoplasmic/endoplasmic reticulum calcium ATPase 2 |
| Uniprot ID | |
| Function | This magnesium-dependent enzyme catalyzes the hydrolysis of ATP coupled with the translocation of calcium from the cytosol to the sarcoplasmic reticulum lumen. Isoform 2 is involved in the regulation of the contraction/relaxation cycle. |
| Molecular Weight | Theoretical: 115 kDa. |
| Stability & Storage | Store at -20°C or -80°C for 12 months. Avoid repeated freeze-thaw cycles. |
| Transport | Shipping with blue ice. |
| Size | Quantity | Unit Price | Amount | Operation |
|---|

Copyright © 2015-2026 TargetMol Chemicals Inc. All Rights Reserved.