Shopping Cart
Remove All
Your shopping cart is currently empty
Anti-ATM Antibody (1W166) is a Mouse antibody targeting ATM. Anti-ATM Antibody (1W166) can be used in IHC.

| Pack Size | Price | USA Stock | Global Stock | Quantity |
|---|---|---|---|---|
| 50 μL | $217 | 7-10 days | 7-10 days | |
| 100 μL | $317 | 7-10 days | 7-10 days |
| Description | Anti-ATM Antibody (1W166) is a Mouse antibody targeting ATM. Anti-ATM Antibody (1W166) can be used in IHC. |
| Synonyms | telomere maintenance 1, Telomere fusion protein, TELO1, TEL1, Tefu, Serine/threonine-protein kinase ATM, Serine protein kinase ATM, OTTHUMP00000232981, MGC74674, homolog, DKFZp781A0353, ATM serine/threonine kinase, ATE, ATDC, ATD, ATC, Ataxia telangiectasia mutated homolog, Ataxia telangiectasia mutated, ATA, AT1, A-T mutated homolog, A-T mutated, AT mutated |
| Ig Type | IgG1 |
| Clone | 1W166 |
| Reactivity | Human,Rat,Mouse |
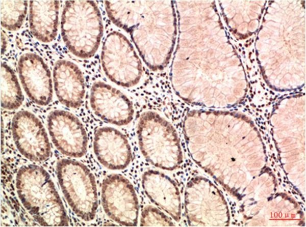
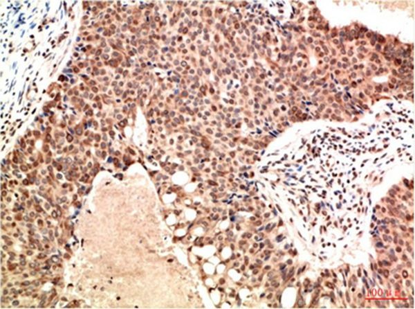
| Verified Activity | 1. Immunohistochemical analysis of paraffin-embedded Human Colon Carcinoma Tissue using ATM Mouse mAb diluted at 1:200. 2. Immunohistochemical analysis of paraffin-embedded Human Breast Carcinoma Tissue using ATM Mouse mAb diluted at 1:200. ![]() ![]() |
| Application | |
| Recommended Dose | IHC: 1:100-200 |
| Antibody Type | Monoclonal |
| Host Species | Mouse |
| Construction | Hybridoma Monoclonal Antibody |
| Appearance | Liquid |
| Formulation | Liquid in PBS containing 50% glycerol, 0.5% BSA and 0.02% sodium azide. |
| Conjucates | Unconjugated |
| Immunogen | Recombinant Protein |
| Uniprot ID |
| Molecular Weight | Theoretical: 350 kDa. |
| Stability & Storage | Store at -20°C or -80°C for 12 months. Avoid repeated freeze-thaw cycles. |
| Transport | Shipping with blue ice. |
| Size | Quantity | Unit Price | Amount | Operation |
|---|

Copyright © 2015-2026 TargetMol Chemicals Inc. All Rights Reserved.