Shopping Cart
Remove All
Your shopping cart is currently empty
Anti-ARRB1 Antibody (3Y284) is a Rabbit antibody targeting ARRB1. Anti-ARRB1 Antibody (3Y284) can be used in FCM,ICC/IF,IHC,IP,WB.
| Pack Size | Price | USA Warehouse | Global Warehouse | Quantity |
|---|---|---|---|---|
| 50 μL | $296 | 7-10 days | 7-10 days | |
| 100 μL | $497 | 7-10 days | 7-10 days |
| Description | Anti-ARRB1 Antibody (3Y284) is a Rabbit antibody targeting ARRB1. Anti-ARRB1 Antibody (3Y284) can be used in FCM,ICC/IF,IHC,IP,WB. |
| Synonyms | β-Arrestin-1, Beta-Arrestin-1, Arrestin β-1, Arrestin Beta-1, ARRB1, ARR1 |
| Ig Type | IgG |
| Clone | 3Y284 |
| Reactivity | Human,Mouse,Rat |
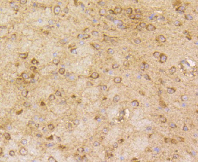
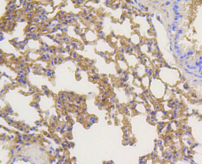
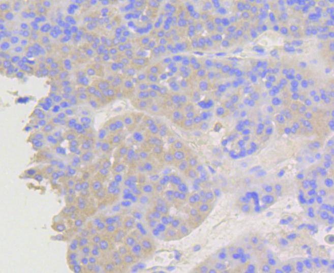
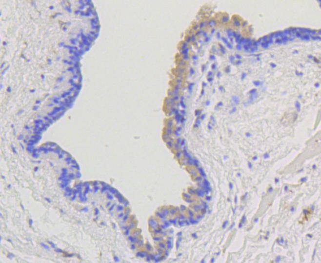
| Verified Activity | 1. Western blot analysis of beta Arrestin 1 on different lysates using anti-beta Arrestin 1 antibody at 1/1,000 dilution. Positive control: Lane 1: PC12, Lane 2: Jurkat. 2. Immunohistochemical analysis of paraffin-embedded human lung tissue using anti-beta Arrestin 1 antibody. Counter stained with hematoxylin. 3. Immunohistochemical analysis of paraffin-embedded human liver cancer tissue using anti-beta Arrestin 1 antibody. Counter stained with hematoxylin. 4. Immunohistochemical analysis of paraffin-embedded human breast carcinoma tissue using anti-beta Arrestin 1 antibody. Counter stained with hematoxylin. 5. Immunohistochemical analysis of paraffin-embedded mouse lung tissue using anti-beta Arrestin 1 antibody. Counter stained with hematoxylin. 6. Immunohistochemical analysis of paraffin-embedded mouse brain tissue using anti-beta Arrestin 1 antibody. Counter stained with hematoxylin. 7. ICC staining beta Arrestin 1 in Hela cells (green). The nuclear counter stain is DAPI (blue). Cells were fixed in paraformaldehyde, permeabilised with 0.25% Triton X100/PBS. 8. ICC staining beta Arrestin 1 in A549 cells (green). The nuclear counter stain is DAPI (blue). Cells were fixed in paraformaldehyde, permeabilised with 0.25% Triton X100/PBS. 9. ICC staining beta Arrestin 1 in PC12 cells (green). The nuclear counter stain is DAPI (blue). Cells were fixed in paraformaldehyde, permeabilised with 0.25% Triton X100/PBS. 10. Flow cytometric analysis of Hela cells with beta Arrestin 1 antibody at 1/50 dilution (blue) compared with an unlabelled control (cells without incubation with primary antibody; red). Alexa Fluor 488-conjugated goat anti rabbit IgG was used as the secondary antibody. ![]() ![]() ![]() ![]() ![]() ![]() ![]() ![]() ![]() ![]() |
| Application | |
| Recommended Dose | WB: 1:1000-2000; IHC: 1:50-100; ICC/IF: 1:50-200; FCM: 1:50-100 |
| Antibody Type | Monoclonal |
| Host Species | Rabbit |
| Construction | Recombinant Antibody |
| Purification | ProA affinity purified |
| Appearance | Liquid |
| Formulation | 1*TBS (pH7.4), 1%BSA, 40%Glycerol. Preservative: 0.05% Sodium Azide. |
| Research Background | The members of the G protein coupled receptor family are distinguished by their slow transmitting response to ligand binding. These seven transmembrane proteins include the adrenergic, serotonin and dopamine receptors. The effect of the signaling molecule can be excitatory or inhibitory depending on the type of receptor to which it binds. Members of theβ-Arrestin family regulate receptor binding to G proteins. β-Arrestins have been found to be located at postsynaptic sites, where they are thought to act in concert withβARK (βARK1, also designated GRK 2, orβARK2, also designated GRK 3 to regulate G protein-coupled neurotransmitter receptors. Expression ofβ-Arrestin-1 and b-Arrestin-2 is seen predominantly in spleen and neuronal tissues. It has been shown thatβ-Arrestin-1 expression is modulated by intracellular cAMP, which may be a novel mechanism for the regulation of receptor-mediated responses. |
| Conjucates | Unconjugated |
| Immunogen | Recombinant Protein |
| Uniprot ID |
| Molecular Weight | Theoretical: 50 kDa. |
| Stability & Storage | Store at -20°C or -80°C for 12 months. Avoid repeated freeze-thaw cycles. |
| Transport | Shipping with blue ice. |
| Size | Quantity | Unit Price | Amount | Operation |
|---|

Copyright © 2015-2026 TargetMol Chemicals Inc. All Rights Reserved.