Shopping Cart
Remove All
Your shopping cart is currently empty
Synonyms: SWI-like protein, SWI/SNF-related, matrix-associated, actin-dependent regulator of chromatin subfamily F member 1, SWI/SNF complex protein p270, SMARCF1, OSA1, Osa homolog 1 (hOSA1), hELD, C1orf4, BRG1-associated factor 250a (BAF250A), BRG1-associated factor 250 (BAF250), BAF250A, BAF250, B120, AT-rich interactive domain-containing protein 1A, ARID1A, ARID domain-containing protein 1A
| Pack Size | Price | USA Stock | Global Stock | Quantity |
|---|---|---|---|---|
| 50 μL | $298 | 7-10 days | 7-10 days | |
| 100 μL | $498 | 7-10 days | 7-10 days |
| Description | Anti-ARID1A Antibody (2S979) is a Rabbit antibody targeting ARID1A. Anti-ARID1A Antibody (2S979) can be used in ICC/IF,IHC. |
| Synonyms | SWI-like protein, SWI/SNF-related, matrix-associated, actin-dependent regulator of chromatin subfamily F member 1, SWI/SNF complex protein p270, SMARCF1, OSA1, Osa homolog 1 (hOSA1), hELD, C1orf4, BRG1-associated factor 250a (BAF250A), BRG1-associated factor 250 (BAF250), BAF250A, BAF250, B120, AT-rich interactive domain-containing protein 1A, ARID1A, ARID domain-containing protein 1A |
| Ig Type | IgG |
| Clone | 2S979 |
| Reactivity | Human,Mouse,Rat |
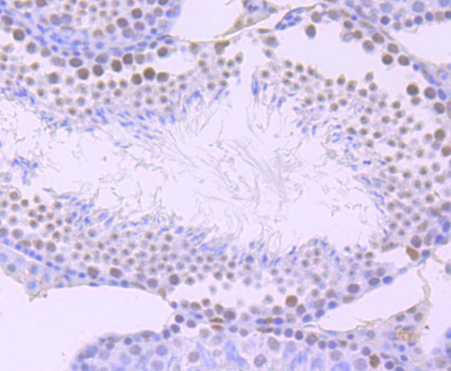
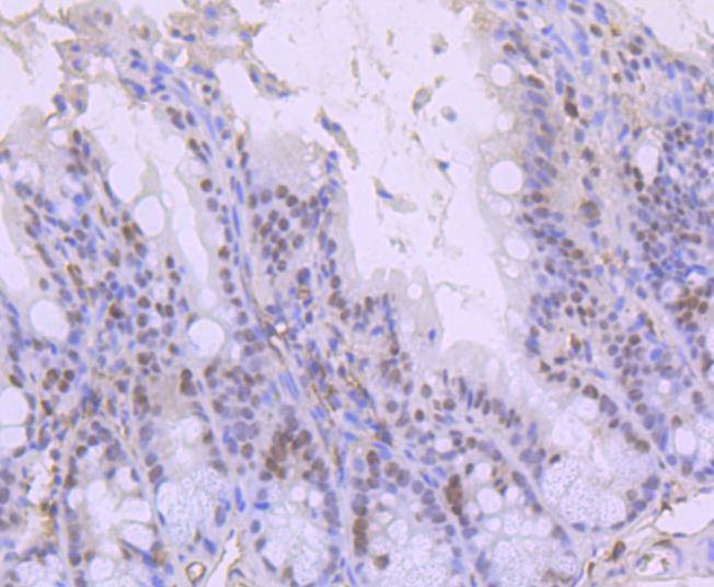
| Verified Activity | 1. Immunohistochemical analysis of paraffin-embedded human spleen tissue using anti-ARID1A antibody. Counter stained with hematoxylin. 2. Immunohistochemical analysis of paraffin-embedded mouse testis tissue using anti-ARID1A antibody. Counter stained with hematoxylin. 3. Immunohistochemical analysis of paraffin-embedded mouse colon tissue using anti-ARID1A antibody. Counter stained with hematoxylin. 4. Immunohistochemical analysis of paraffin-embedded mouse brain tissue using anti-ARID1A antibody. Counter stained with hematoxylin. 5. ICC staining ARID1A in SH-SY-5Y cells (green). The nuclear counter stain is DAPI (blue). Cells were fixed in paraformaldehyde, permeabilised with 0.25% Triton X100/PBS. 6. ICC staining ARID1A in Hela cells (green). The nuclear counter stain is DAPI (blue). Cells were fixed in paraformaldehyde, permeabilised with 0.25% Triton X100/PBS. 7. ICC staining ARID1A in 293 cells (green). The nuclear counter stain is DAPI (blue). Cells were fixed in paraformaldehyde, permeabilised with 0.25% Triton X100/PBS. |
| Application | |
| Recommended Dose | IHC: 1:50-200; ICC/IF: 1:50-200 |
| Antibody Type | Monoclonal |
| Host Species | Rabbit |
| Construction | Recombinant Antibody |
| Purification | ProA affinity purified |
| Appearance | Liquid |
| Formulation | 1*TBS (pH7.4), 1%BSA, 40%Glycerol. Preservative: 0.05% Sodium Azide. |
| Research Background | The SWI-SNF complex is involved in the activation of transcription via the remodeling of nucleosome structure in an ATP-dependent manner. Brm (also designated SNF2α) and Brg-1 (also designated SNF2β) are the ATPase subunits of the mammalian SWI-SNF complex. Brm, Brg-1, Ini1 (integrase interactor 1, also designated SNF5), BAF155 (also designated SRG3) and BAF170 are thought to comprise the functional core of the SWI-SNF complex. Addition of Ini1, BAF155 and BAF170 to Brg-1 appears to increase remodeling activity. Other complex subunits, such as BAF250a (p270 or ARID 1A) and BAF250b(ARID1B), are thought to play regulatory roles. |
| Conjucates | Unconjugated |
| Immunogen | Recombinant Protein |
| Uniprot ID |
| Stability & Storage | Store at -20°C or -80°C for 12 months. Avoid repeated freeze-thaw cycles. |
| Transport | Shipping with blue ice. |
| Size | Quantity | Unit Price | Amount | Operation |
|---|

Copyright © 2015-2026 TargetMol Chemicals Inc. All Rights Reserved.