Shopping Cart
Remove All
Your shopping cart is currently empty
Anti-Argonaute-2 Antibody (1L369) is a Rabbit antibody targeting Argonaute-2. Anti-Argonaute-2 Antibody (1L369) can be used in FCM,ICC/IF,IHC,IP,WB.
| Pack Size | Price | USA Warehouse | Global Warehouse | Quantity |
|---|---|---|---|---|
| 50 μL | $296 | 7-10 days | 7-10 days | |
| 100 μL | $496 | 7-10 days | 7-10 days |
| Description | Anti-Argonaute-2 Antibody (1L369) is a Rabbit antibody targeting Argonaute-2. Anti-Argonaute-2 Antibody (1L369) can be used in FCM,ICC/IF,IHC,IP,WB. |
| Synonyms | Q10, EIF2C2, argonaute RISC catalytic component 2, Argonaute 2 |
| Ig Type | IgG |
| Clone | 1L369 |
| Reactivity | Human,Mouse,Rat |
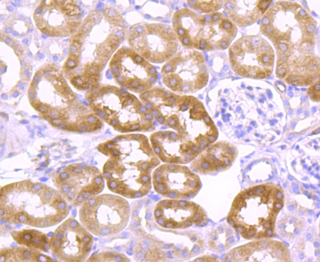
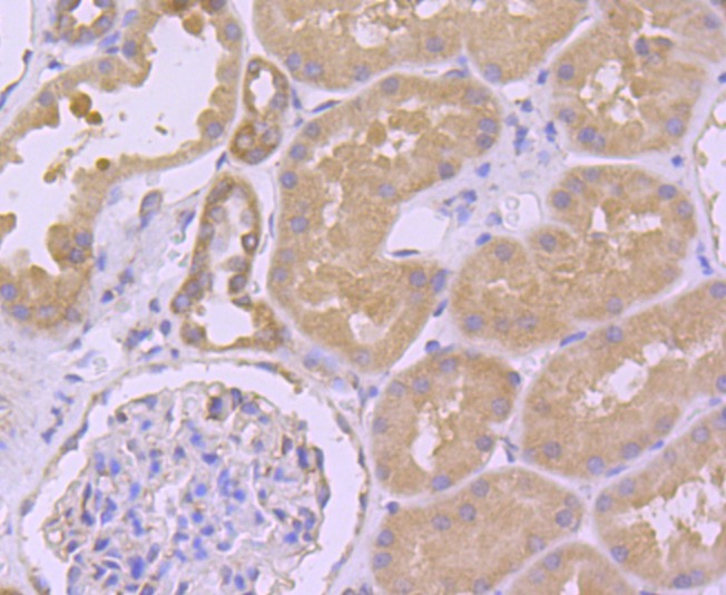
| Verified Activity | 1. Western blot analysis of Argonaute 2 on different lysates using anti-Argonaute 2 antibody at 1/1,000 dilution. Positive control: Lane 1: Hela, Lane 2: MCF-7. 2. Immunohistochemical analysis of paraffin-embedded mouse kidney tissue using anti-Argonaute 2 antibody. Counter stained with hematoxylin. 3. Immunohistochemical analysis of paraffin-embedded mouse stomach tissue using anti-Argonaute 2 antibody. Counter stained with hematoxylin. 4. Immunohistochemical analysis of paraffin-embedded human kidney tissue using anti-Argonaute 2 antibody. Counter stained with hematoxylin. 5. ICC staining Argonaute 2 in Hela cells (red). The nuclear counter stain is DAPI (blue). Cells were fixed in paraformaldehyde, permeabilised with 0.25% Triton X100/PBS. 6. ICC staining Argonaute 2 in MCF-7 cells (red). The nuclear counter stain is DAPI (blue). Cells were fixed in paraformaldehyde, permeabilised with 0.25% Triton X100/PBS. 7. ICC staining Argonaute 2 in AGS cells (red). The nuclear counter stain is DAPI (blue). Cells were fixed in paraformaldehyde, permeabilised with 0.25% Triton X100/PBS. 8. Flow cytometric analysis of Hela cells with Argonaute 2 antibody at 1/50 dilution (red) compared with an unlabelled control (cells without incubation with primary antibody; black). Alexa Fluor 488-conjugated goat anti rabbit IgG was used as the secondary antibody. ![]() ![]() ![]() ![]() ![]() ![]() ![]() ![]() |
| Application | |
| Recommended Dose | WB: 1:1000-2000; IHC: 1:50-200; ICC/IF: 1:50-200; FCM: 1:50-100 |
| Antibody Type | Monoclonal |
| Host Species | Rabbit |
| Construction | Recombinant Antibody |
| Purification | ProA affinity purified |
| Appearance | Liquid |
| Formulation | 1*TBS (pH7.4), 1%BSA, 40%Glycerol. Preservative: 0.05% Sodium Azide. |
| Research Background | Eukaryotic translation initiation factor 2C (eIF2C) proteins (argonaute family) influence RNA interference (RNAi) as components of the RNA-inducible silencing complex (RISC) or microRNA (miRNA)-containing ribonucleoprotein particle (miRNP). Small RNAs, including small interfering RNAs (siRNAs) and miRNAs, can silence target genes through mechanisms that utilize RISC or miRNP particles. eIF2C1 (argonaute 1, AGO1, eIF2C, GERP95, Q99) and Dicer1 play a coordinated role in siRNA-mediated gene silencing. eIF2C2 (Slicer, argonaute 2, AGO2, Q10) is a RISC component that can concentrate in cytoplasmic processing bodies (P-bodies) and catalyze mRNA cleavage. Mammalian P-bodies contain mRNAs and have an association with miRNA-induced translational silencing and siRNA-induced mRNA degradation. Additional eIF2C proteins include eIF2C3 (argonaute 3, AGO3), eIF2C4 (argonaute 4, AGO4) and meIF2c5 (mouse argonaute 5). |
| Conjucates | Unconjugated |
| Immunogen | Recombinant Protein |
| Uniprot ID |
| Molecular Weight | Theoretical: 97 kDa. |
| Stability & Storage | Store at -20°C or -80°C for 12 months. Avoid repeated freeze-thaw cycles. |
| Transport | Shipping with blue ice. |
| Size | Quantity | Unit Price | Amount | Operation |
|---|

Copyright © 2015-2026 TargetMol Chemicals Inc. All Rights Reserved.