Shopping Cart
- Remove All
 Your shopping cart is currently empty Your shopping cart is currently empty
Anti-Apg3 Antibody (1O195) is a Rabbit antibody targeting Apg3. Anti-Apg3 Antibody (1O195) can be used in IHC,WB.
| Pack Size | Price | Availability | Quantity | 
|---|---|---|---|
| 50 μL | $296 | 7-10 days | |
| 100 μL | $498 | 7-10 days | 
| Description | Anti-Apg3 Antibody (1O195) is a Rabbit antibody targeting Apg3. Anti-Apg3 Antibody (1O195) can be used in IHC,WB. | 
| Synonyms | Ubiquitin-like-conjugating enzyme ATG3, Protein PC3-96, PC3 96, OTTHUMP00000214548, OTTHUMP00000214547, MGC15201, hApg3, FLJ22125, DKFZp564M1178, Autophagy-related protein 3, Autophagy related protein 3, autophagy related 3, Autophagy Apg3p/Aut1p like, Autophagy 3, S. cerevisiae, homolog of, ATG3_HUMAN, ATG3 autophagy related 3 homolog (S. cerevisiae), ATG3 autophagy related 3 homolog, ATG3, ATG 3, Apg3p, APG3-like, APG3L, APG3, S. cerevisiae, homolog of, APG3 like, APG3 autophagy 3 like, APG3, Apg 3, 2610016C12Rik | 
| Ig Type | IgG | 
| Clone | 1O195 | 
| Reactivity | Human,Mouse,Rat | 
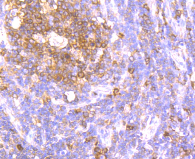
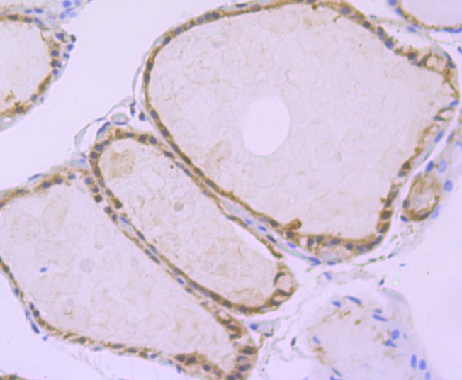
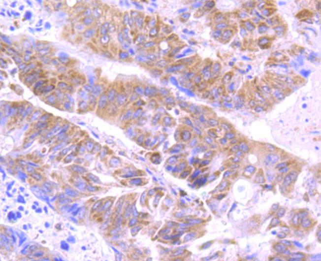
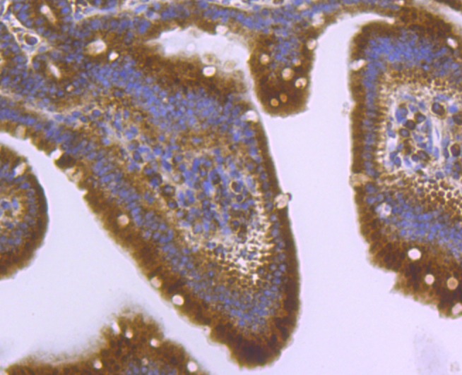
| Verified Activity | 1. Western blot analysis of Apg3 on different lysates using anti-Apg3 antibody at 1/500 dilution.Positive control:Lane 1: Mouse testis tissue, Lane 2: K562, Lane 3: HL-60, Lane 4: Hela, Lane 5: Jurkat. 2. Immunohistochemical analysis of paraffin-embedded human tonsil tissue using anti-Apg3 antibody. Counter stained with hematoxylin. 3. Immunohistochemical analysis of paraffin-embedded human thyroid gland tissue using anti-Apg3 antibody. Counter stained with hematoxylin. 4. Immunohistochemical analysis of paraffin-embedded human colon cancer tissue using anti-Apg3 antibody. Counter stained with hematoxylin. 5. Immunohistochemical analysis of paraffin-embedded mouse small intestine tissue using anti-Apg3 antibody. Counter stained with hematoxylin.      | 
| Application | |
| Recommended Dose | WB: 1:500-2000; IHC: 1:50-200 | 
| Antibody Type | Monoclonal | 
| Host Species | Rabbit | 
| Construction | Recombinant Antibody | 
| Purification | ProA affinity purified | 
| Appearance | Liquid | 
| Formulation | 1*TBS (pH7.4), 1%BSA, 40%Glycerol. Preservative: 0.05% Sodium Azide. | 
| Research Background | Atg3 (autophagy-related protein 3), also known as APG3-like, hAPG3 or PC3-96, is an E2-like enzyme that localizes to the cytoplasm and is expressed in a variety of tissues with predominant levels found in kidney, placenta, liver, heart and skeletal muscle. Atg3 catalyzes the formation of the Atg8-phosphatidylethanolamine (Atg8-PE) conjugate, a reaction that is essential for autophagy (a cellular process that allows for the degradation of organelles and bulk cellular proteins). The process of forming the Atg8-PE conjugate begins with the removal of the C-terminal arginine residue of Atg8 by Atg4, a cysteine protease. The, now exposed, glycine residue is then activated by Atg7 and is then transferred to Atg3 for the final conjugation to PE. This last step can be accelerated by the presence of the Atg12-Atg5 conjugate which functions similarly to an E3 enzyme. | 
| Conjucates | Unconjugated | 
| Immunogen | Recombinant Protein | 
| Molecular Weight | Theoretical: 40 kDa. | 
| Stability & Storage | Store at -20°C or -80°C for 12 months. Avoid repeated freeze-thaw cycles. | 
| Transport | Shipping with blue ice. | 

Copyright © 2015-2025 TargetMol Chemicals Inc. All Rights Reserved.