Shopping Cart
Remove All
Your shopping cart is currently empty
Anti-ANXA1 Polyclonal Antibody is a Rabbit antibody targeting ANXA1. Anti-ANXA1 Polyclonal Antibody can be used in ICC/IF, IF, IHC-Fr, IHC-P, WB.
| Pack Size | Price | USA Stock | Global Stock | Quantity |
|---|---|---|---|---|
| 50 μL | $221 | 7-10 days | 7-10 days | |
| 100 μL | $374 | 7-10 days | 7-10 days | |
| 200 μL | $527 | 7-10 days | 7-10 days |
| Description | Anti-ANXA1 Polyclonal Antibody is a Rabbit antibody targeting ANXA1. Anti-ANXA1 Polyclonal Antibody can be used in ICC/IF, IF, IHC-Fr, IHC-P, WB. |
| Synonyms | p35, LPC1, Lipocortin I, Chromobindin-9, Calpactin-2, Calpactin II, ANXA1, ANX1, Annexin-1, Annexin I, Annexin A1 |
| Ig Type | IgG |
| Reactivity | Human,Rat (predicted:Mouse,Pig,Cow,Horse,Rabbit) |
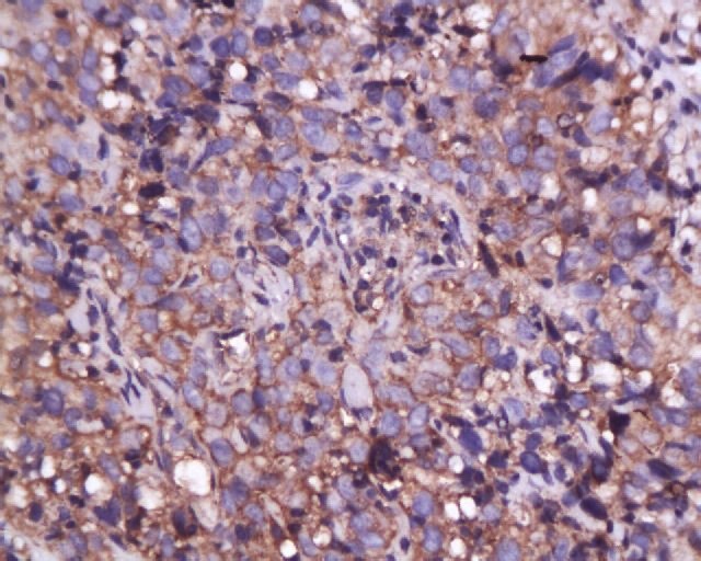
| Verified Activity | 1. A549 cell; 4% Paraformaldehyde-fixed; Triton X-100 at room temperature for 20 min; Blocking buffer (normal goat serum) at 37°C for 20 min; Antibody incubation with (Annexin A1) polyclonal Antibody, Unconjugated (TMAB-00125) 1:100, 90 minutes at 37°C; followed by a conjugated Goat Anti-Rabbit IgG antibody at 37°C for 90 minutes, DAPI (blue) was used to stain the cell nucleus. 2. Tissue/cell: human cervical carcinoma; 4% Paraformaldehyde-fixed and paraffin-embedded; Antigen retrieval: citrate buffer (0.01M, pH6.0), Boiling bathing for 15 min; Block endogenous peroxidase by 3% Hydrogen peroxide for 30 min; Blocking buffer (normal goat serum) at 37°C for 20 min; Incubation: Anti-Annexin A1 Polyclonal Antibody, Unconjugated (TMAB-00125) 1:200, overnight at 4°C, followed by conjugation to the secondary antibody and DAb staining. 3. Sample: Lane1: Kidney (Rat) Lysate at 30 μg Lane2: Brain (Rat) Lysate at 30 μg Primary: Anti-Annexin A1 (TMAB-00125) at 1:200 dilution; Secondary: HRP conjugated Goat Anti-Rabbit Igg (secondary antibody) at 1: 3000 dilution; Predicted band size: 39 kDa Observed band size: 40 kDa ![]() ![]() ![]() |
| Application | |
| Recommended Dose | ICC/IF=1:100-500; IF=1:100-500; IHC-Fr=1:100-500; IHC-P=1:100-500; WB=1:500-2000 |
| Antibody Type | Polyclonal |
| Host Species | Rabbit |
| Subcellular Localization | Nucleus (By similarity). Cytoplasm (By similarity). Cell projection, cilium (By similarity). Basolateral cell membrane (By similarity). Note=Found in the cilium, nucleus and basolateral cell membrane of ciliated cells in the tracheal endothelium (By similarity). Found in the cytoplasm of type II pneumocytes and alveolar macrophages (By similarity). |
| Construction | Polyclonal Antibody |
| Purification | Protein A purified |
| Appearance | Liquid |
| Formulation | 0.01M TBS (pH7.4) with 1% BSA, 0.02% Proclin300 and 50% Glycerol. |
| Concentration | 1 mg/mL |
| Research Background | This gene encodes a protein that belongs to a family of Ca(2+) dependent phospholipid binding proteins which have a molecular weight of approximately 35,000 to 40,000 and are preferentially located on the cytosolic face of the plasma membrane. Annexin I protein has an apparent relative molecular mass of 40 kDa, with phospholipase A2 inhibitory activity. Since phospholipase A2 is required for the biosynthesis of the potent mediators of inflammation, prostaglandins and leukotrienes, annexin I may have potential anti inflammatory activity. |
| Immunogen | KLH conjugated synthetic peptide: human Annexin A1 |
| Antigen Species | Human |
| Gene Name | ANXA1 |
| Gene ID | |
| Protein Name | Annexin A1 |
| Uniprot ID | |
| Biology Area | Annexins,Calcium Signaling,Lipid Signaling |
| Function | Calcium/phospholipid-binding protein which promotes membrane fusion and is involved in exocytosis. This protein regulates phospholipase A2 activity. It seems to bind from two to four calcium ions with high affinity. |
| Molecular Weight | Theoretical: 39 kDa. Actual: 40 kDa. |
| Stability & Storage | Store at -20°C or -80°C for 12 months. Avoid repeated freeze-thaw cycles. |
| Transport | Shipping with blue ice. |
| Size | Quantity | Unit Price | Amount | Operation |
|---|

Copyright © 2015-2026 TargetMol Chemicals Inc. All Rights Reserved.