Shopping Cart
Remove All
Your shopping cart is currently empty
Anti-ANGPT2/Angiopoietin-2 Antibody (6W480) is a Rabbit antibody targeting ANGPT2/Angiopoietin-2. Anti-ANGPT2/Angiopoietin-2 Antibody (6W480) can be used in IHC,WB.
| Pack Size | Price | USA Warehouse | Global Warehouse | Quantity |
|---|---|---|---|---|
| 50 μL | $296 | 7-10 days | 7-10 days | |
| 100 μL | $498 | 7-10 days | 7-10 days |
| Description | Anti-ANGPT2/Angiopoietin-2 Antibody (6W480) is a Rabbit antibody targeting ANGPT2/Angiopoietin-2. Anti-ANGPT2/Angiopoietin-2 Antibody (6W480) can be used in IHC,WB. |
| Synonyms | Tie2-ligand, ANGPT2, angiopoitin 2, angiopoietin-2B, angiopoietin-2a, Angiopoietin-2, angiopoietin 2, ANG-2, ANG2, AGPT2 |
| Ig Type | IgG |
| Clone | 6W480 |
| Reactivity | Human,Mouse,Rat |
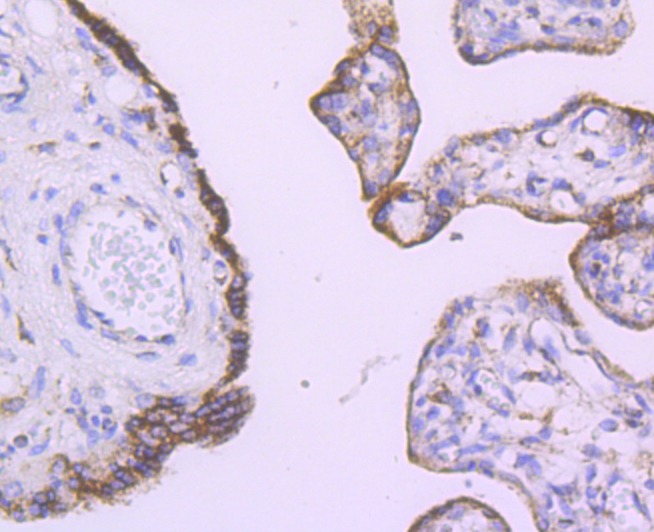
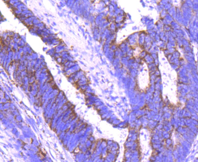
| Verified Activity | 1. Western blot analysis of Angiopoietin 2 on different cell lysate using anti-Angiopoietin 2 antibody at 1/1,000 dilution. Positive control:Lane1: TF-1, Lane2: Human liver tissue, Lane3: Human placenta tissue. 2. Immunohistochemical analysis of paraffin-embedded human colon cancer tissue using anti-Angiopoietin 2 antibody. Counter stained with hematoxylin. 3. Immunohistochemical analysis of paraffin-embedded human placenta tissue using anti-Angiopoietin 2 antibody. Counter stained with hematoxylin. 4. Immunohistochemical analysis of paraffin-embedded mouse liver tissue using anti-Angiopoietin 2 antibody. Counter stained with hematoxylin. ![]() ![]() ![]() ![]() |
| Application | |
| Recommended Dose | WB: 1:500-2000; IHC: 1:50-200 |
| Antibody Type | Monoclonal |
| Host Species | Rabbit |
| Construction | Recombinant Antibody |
| Purification | ProA affinity purified |
| Appearance | Liquid |
| Formulation | 1*TBS (pH7.4), 1%BSA, 40%Glycerol. Preservative: 0.05% Sodium Azide. |
| Research Background | Tie-1 and Tie-2 (also designated Tek) are novel cell surface receptor tyrosine kinases. The extracellular domain of Tie-1 has an unusual multidomain structure consisting of a cluster of three epidermal growth factor homology motifs localized between two immunoglobulin-like loops, which are followed by three fibronectin type III repeats next to the transmembrane region. Angiopoietin-1 (Ang-1) is a secreted ligand for Tie-2. Preliminary biochemical analyses of Ang-1 reveal a potential fibrinogen-like domain at the carboxy terminus and coiled-coil regions in the amino terminus. Ang-1 is an angiogenic factor that is thought to be involved in endothelial development. A related protein, angiopoietin-2 (Ang-2), has been identified as a naturally occurring antagonist of Ang-1 activation of Tie-2. In adult tissue, Ang-2 expression seems to be restricted to sites of vascular remodeling. |
| Conjucates | Unconjugated |
| Immunogen | Recombinant Protein |
| Uniprot ID |
| Molecular Weight | Theoretical: 50 kDa. |
| Stability & Storage | Store at -20°C or -80°C for 12 months. Avoid repeated freeze-thaw cycles. |
| Transport | Shipping with blue ice. |
| Size | Quantity | Unit Price | Amount | Operation |
|---|

Copyright © 2015-2026 TargetMol Chemicals Inc. All Rights Reserved.