Shopping Cart
Remove All
Your shopping cart is currently empty
Anti-Androgen receptor Polyclonal Antibody is a Rabbit antibody targeting Androgen receptor. Anti-Androgen receptor Polyclonal Antibody can be used in IF,IHC-Fr,IHC-P,WB.
| Pack Size | Price | USA Stock | Global Stock | Quantity |
|---|---|---|---|---|
| 50 μL | $222 | 7-10 days | 7-10 days | |
| 100 μL | $373 | 7-10 days | 7-10 days | |
| 200 μL | $528 | 7-10 days | 7-10 days |
| Description | Anti-Androgen receptor Polyclonal Antibody is a Rabbit antibody targeting Androgen receptor. Anti-Androgen receptor Polyclonal Antibody can be used in IF,IHC-Fr,IHC-P,WB. |
| Synonyms | Nuclear receptor subfamily 3 group C member 4, NR3C4, Dihydrotestosterone receptor, DHTR, AR, Androgen receptor |
| Ig Type | IgG |
| Reactivity | Human,Mouse,Rat |
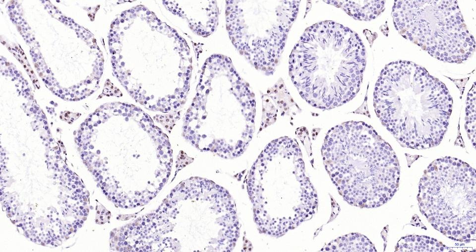
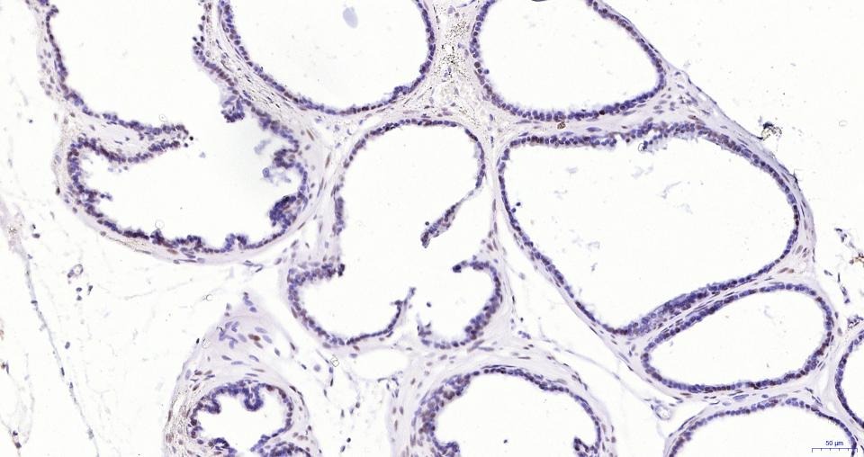
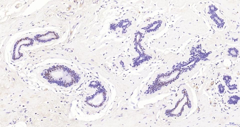
| Verified Activity | 1. 25 μg total protein per Lane of various lysates probed with Androgen receptor polyclonal antibody, unconjugated (TMAB-00117) at 1:1000 dilution and 4°C overnight incubation. Followed by conjugated secondary antibody incubation at RT for 60 min. 2. Paraformaldehyde-fixed, paraffin embedded Mouse Testicles; Antigen retrieval by boiling in sodium citrate buffer (pH6.0) for 15 min; Antibody incubation with AR/Androgen Receptor Polyclonal Antibody, Unconjugated (TMAB-00117) at 1:200 overnight at 4°C, followed by conjugation to the SP Kit (Rabbit) and DAB staining. 3. Paraformaldehyde-fixed, paraffin embedded Rat Testicles; Antigen retrieval by boiling in sodium citrate buffer (pH6.0) for 15 min; Antibody incubation with AR/Androgen Receptor Polyclonal Antibody, Unconjugated (TMAB-00117) at 1:200 overnight at 4°C, followed by conjugation to the SP Kit (Rabbit) and DAB staining. 4. Paraformaldehyde-fixed, paraffin embedded Mouse Prostate; Antigen retrieval by boiling in sodium citrate buffer (pH6.0) for 15 min; Antibody incubation with AR/Androgen Receptor Polyclonal Antibody, Unconjugated (TMAB-00117) at 1:200 overnight at 4°C, followed by conjugation to the SP Kit (Rabbit) and DAB staining. 5. Paraformaldehyde-fixed, paraffin embedded Human Breast; Antigen retrieval by boiling in sodium citrate buffer (pH6.0) for 15 min; Antibody incubation with AR/Androgen Receptor Polyclonal Antibody, Unconjugated (TMAB-00117) at 1:200 overnight at 4°C, followed by conjugation to the SP Kit (Rabbit) and DAB staining. 6. Paraformaldehyde-fixed, paraffin embedded Human Prostate Tumor; Antigen retrieval by boiling in sodium citrate buffer (pH6.0) for 15 min; Antibody incubation with AR/Androgen Receptor Polyclonal Antibody, Unconjugated (TMAB-00117) at 1:200 overnight at 4°C, followed by conjugation to the SP Kit (Rabbit) and DAB staining. ![]() ![]() ![]() ![]() ![]() ![]() |
| Application | |
| Recommended Dose | WB: 1:500-2000; IHC-P: 1:50-200; IHC-Fr: 1:50-200; IF: 1:50-200 |
| Antibody Type | Polyclonal |
| Host Species | Rabbit |
| Subcellular Localization | Nucleus. Cytoplasm. Predominantly cytoplasmic in unliganded form but translocates to the nucleus upon ligand-binding. Can also translocate to the nucleus in unliganded form in the presence of GNB2L1. |
| Tissue Specificity | Isoform 2 is mainly expressed in heart and skeletal muscle. |
| Construction | Polyclonal Antibody |
| Purification | Protein A purified |
| Appearance | Liquid |
| Formulation | 0.01M TBS (pH7.4) with 1% BSA, 0.02% Proclin300 and 50% Glycerol. |
| Concentration | 1 mg/mL |
| Research Background | The androgen receptor gene is more than 90 kb long and codes for a protein that has 3 major functional domains: the N-terminal domain, DNA-binding domain, and androgen-binding domain. The protein functions as a steroid-hormone activated transcription factor. Upon binding the hormone ligand, the receptor dissociates from accessory proteins, translocates into the nucleus, dimerizes, and then stimulates transcription of androgen responsive genes. This gene contains 2 polymorphic trinucleotide repeat segments that encode polyglutamine and polyglycine tracts in the N-terminal transactivation domain of its protein. Expansion of the polyglutamine tract causes spinal bulbar muscular atrophy (Kennedy disease). Mutations in this gene are also associated with complete androgen insensitivity (CAIS). Two alternatively spliced variants encoding distinct isoforms have been described. [provided by RefSeq, Jul 2008] |
| Immunogen | KLH conjugated synthetic peptide: human Androgen receptor isoform 2 |
| Antigen Species | Human |
| Gene Name | AR |
| Gene ID | |
| Protein Name | Androgen receptor |
| Uniprot ID | |
| Function | Steroid hormone receptors are ligand-activated transcription factors that regulate eukaryotic gene expression and affect cellular proliferation and differentiation in target tissues. Transcription factor activity is modulated by bound coactivator and corepressor proteins. Transcription activation is down-regulated by NR0B2. Activated, but not phosphorylated, by HIPK3. |
| Molecular Weight | Theoretical: 43/101 kDa. Actual: 108 kDa. |
| Stability & Storage | Store at -20°C or -80°C for 12 months. Avoid repeated freeze-thaw cycles. |
| Transport | Shipping with blue ice. |
| Size | Quantity | Unit Price | Amount | Operation |
|---|

Copyright © 2015-2026 TargetMol Chemicals Inc. All Rights Reserved.