Shopping Cart
Remove All
Your shopping cart is currently empty
Anti-AMPK α1 Antibody (5Z479) is a Mouse antibody targeting AMPK α1. Anti-AMPK α1 Antibody (5Z479) can be used in IHC,WB.

| Pack Size | Price | USA Stock | Global Stock | Quantity |
|---|---|---|---|---|
| 50 μL | $216 | 7-10 days | 7-10 days | |
| 100 μL | $317 | 7-10 days | 7-10 days |
| Description | Anti-AMPK α1 Antibody (5Z479) is a Mouse antibody targeting AMPK α1. Anti-AMPK α1 Antibody (5Z479) can be used in IHC,WB. |
| Synonyms | AMPKα1, AMPKalpha1, AMPKa1, AMPK alpha1, AMPK a1 |
| Ig Type | IgG1 |
| Clone | 5Z479 |
| Reactivity | Human,Rat,Mouse |
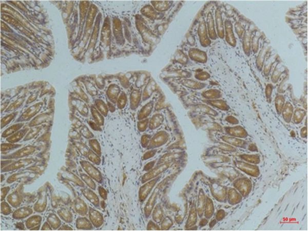
| Verified Activity | 1. Western blot analysis of 1)Hela, 2) 293T, 3)3T3, 4) PC12 with AMPK a1 Mouse mAb diluted at 1:2,000. 2. Immunohistochemical analysis of paraffin-embedded Mouse ColonTissue using AMPK a1 Mouse mAb diluted at 1:200. ![]() ![]() |
| Application | |
| Recommended Dose | WB: 1:1000-2000; IHC: 1:50-100 |
| Antibody Type | Monoclonal |
| Host Species | Mouse |
| Construction | Hybridoma Monoclonal Antibody |
| Appearance | Liquid |
| Formulation | Liquid in PBS containing 50% glycerol, 0.5% BSA and 0.02% sodium azide. |
| Conjucates | Unconjugated |
| Immunogen | A synthesized peptide |
| Uniprot ID |
| Molecular Weight | Theoretical: 63 kDa. |
| Stability & Storage | Store at -20°C or -80°C for 12 months. Avoid repeated freeze-thaw cycles. |
| Transport | Shipping with blue ice. |
| Size | Quantity | Unit Price | Amount | Operation |
|---|

Copyright © 2015-2026 TargetMol Chemicals Inc. All Rights Reserved.