Shopping Cart
Remove All
Your shopping cart is currently empty
Anti-Alpha-S2-casein Polyclonal Antibody is a Rabbit antibody targeting Alpha-S2-casein. Anti-Alpha-S2-casein Polyclonal Antibody can be used in IF,IHC-Fr,IHC-P.
| Pack Size | Price | USA Warehouse | Global Warehouse | Quantity |
|---|---|---|---|---|
| 50 μL | $220 | 7-10 days | 7-10 days | |
| 100 μL | $372 | 7-10 days | 7-10 days | |
| 200 μL | $529 | 7-10 days | 7-10 days |
| Description | Anti-Alpha-S2-casein Polyclonal Antibody is a Rabbit antibody targeting Alpha-S2-casein. Anti-Alpha-S2-casein Polyclonal Antibody can be used in IF,IHC-Fr,IHC-P. |
| Synonyms | CSN1S2, Casocidin-I, Casocidin-1, CASA2_BOVIN |
| Ig Type | IgG |
| Reactivity | Mouse (predicted:Cow,Sheep) |
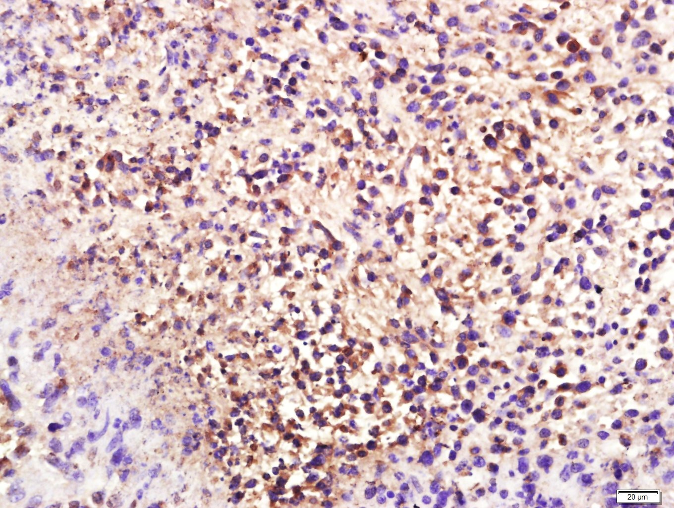
| Verified Activity | Paraformaldehyde-fixed, paraffin embedded (Mouse mammary tumor); Antigen retrieval by boiling in sodium citrate buffer (pH6.0) for 15 min; Block endogenous peroxidase by 3% hydrogen peroxide for 20 min; Blocking buffer (normal goat serum) at 37°C for 30 min; Antibody incubation with (Alpha s2 Casein) Polyclonal Antibody, Unconjugated (TMAB-00106) at 1:400 overnight at 4°C, followed by a conjugated secondary antibody for 20 min and DAB staining. ![]() |
| Application | |
| Recommended Dose | IHC-P: 1:100-500; IHC-Fr: 1:100-500; IF: 1:100-500 |
| Antibody Type | Polyclonal |
| Host Species | Rabbit |
| Subcellular Localization | Secreted. |
| Tissue Specificity | Mammary gland specific. Secreted in milk. |
| Construction | Polyclonal Antibody |
| Purification | Protein A purified |
| Appearance | Liquid |
| Formulation | 0.01M TBS (pH7.4) with 1% BSA, 0.02% Proclin300 and 50% Glycerol. |
| Concentration | 1 mg/mL |
| Research Background | Important role in the capacity of milk to transport calcium phosphate. Casocidin-I inhibits the growth of E.coli and S.carnosus. |
| Immunogen | KLH conjugated synthetic peptide: cow Alpha s2 Casein |
| Antigen Species | Cow |
| Gene Name | CSN1S2 |
| Protein Name | alpha-S2-casein |
| Molecular Weight | Theoretical: 24 kDa. |
| Stability & Storage | Store at -20°C or -80°C for 12 months. Avoid repeated freeze-thaw cycles. |
| Transport | Shipping with blue ice. |
| Size | Quantity | Unit Price | Amount | Operation |
|---|

Copyright © 2015-2026 TargetMol Chemicals Inc. All Rights Reserved.