Shopping Cart
Remove All
Your shopping cart is currently empty
Anti-alpha Internexin Antibody (3U304) is a Rabbit antibody targeting alpha Internexin. Anti-alpha Internexin Antibody (3U304) can be used in FCM,ICC/IF,IHC,IP,WB.
| Pack Size | Price | USA Warehouse | Global Warehouse | Quantity |
|---|---|---|---|---|
| 50 μL | $296 | 7-10 days | 7-10 days | |
| 100 μL | $498 | 7-10 days | 7-10 days |
| Description | Anti-alpha Internexin Antibody (3U304) is a Rabbit antibody targeting alpha Internexin. Anti-alpha Internexin Antibody (3U304) can be used in FCM,ICC/IF,IHC,IP,WB. |
| Synonyms | αInternexin, α Internexin, TXBP1, TXBP 1, NF-66, NF66, NF 66, Neurofilament-66, Neurofilament 66 tax binding protein, Neurofilament 66, Neurofilament 5 (66kD), Neurofilament 5, NEF5, NEF 5, MGC12702, Internexin neuronal intermediate filament protein alpha, INA, Alpha-Inx, Alpha-internexin, alphaInternexin, Alpha Inx, AINX_HUMAN, aInternexin, a Internexin, 66 kDa neurofilament protein |
| Ig Type | IgG |
| Clone | 3U304 |
| Reactivity | Human,Mouse,Rat |
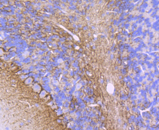
| Verified Activity | 1. Western blot analysis of alpha Internexin on different lysates using anti-alpha Internexin antibody at 1/1,000 dilution. Positive control:Lane 1: Mouse brain tissue, Lane 2: A549. 2. Immunohistochemical analysis of paraffin-embedded rat brain tissue using anti-alpha Internexin antibody. Counter stained with hematoxylin. 3. Immunohistochemical analysis of paraffin-embedded mouse cerebellum tissue using anti-alpha Internexin antibody. Counter stained with hematoxylin. 4. ICC staining alpha Internexin in PC-12 cells (green). The nuclear counter stain is DAPI (blue). Cells were fixed in paraformaldehyde, permeabilised with 0.25% Triton X100/PBS. 5. Flow cytometric analysis of M2A cells with alpha Internexin antibody at 1/100 dilution (red) compared with an unlabelled control (cells without incubation with primary antibody; black). Alexa Fluor 488-conjugated goat anti rabbit IgG was used as the secondary antibody. ![]() ![]() ![]() ![]() ![]() |
| Application | |
| Recommended Dose | WB: 1:1000-5000; IHC: 1:50-200; ICC/IF: 1:50-200; FCM: 1:50-100 |
| Antibody Type | Monoclonal |
| Host Species | Rabbit |
| Construction | Recombinant Antibody |
| Purification | ProA affinity purified |
| Appearance | Liquid |
| Formulation | 1*TBS (pH7.4), 1%BSA, 40%Glycerol. Preservative: 0.05% Sodium Azide. |
| Research Background | Alpha-internexin is a brain specific type IV intermediate filament protein. This axonal protein is found in most, if not all, neurons of the CNS. The head domain of alpha-internexin is essential for self-assembly into a filament network. Expression levels of alpha-internexin have been shown to be maximal during late embryogenesis and to decline into adulthood, suggesting that this protein plays a role in regulatory processes during the development of the brain. The alpha-internexin promoter has been shown to be activated by Brn-3a or Brn-3c transcription factor binding, while Brn-3b binding to the promoter results in alpha-internexin repression. |
| Conjucates | Unconjugated |
| Immunogen | Recombinant Protein |
| Uniprot ID |
| Molecular Weight | Theoretical: 66 kDa. |
| Stability & Storage | Store at -20°C or -80°C for 12 months. Avoid repeated freeze-thaw cycles. |
| Transport | Shipping with blue ice. |
| Size | Quantity | Unit Price | Amount | Operation |
|---|

Copyright © 2015-2026 TargetMol Chemicals Inc. All Rights Reserved.