Shopping Cart
Remove All
Your shopping cart is currently empty
Anti-Alpha-2-macroglobulin Antibody (9L785) is a Rabbit antibody targeting Alpha-2-macroglobulin. Anti-Alpha-2-macroglobulin Antibody (9L785) can be used in IHC,WB.
| Pack Size | Price | USA Warehouse | Global Warehouse | Quantity |
|---|---|---|---|---|
| 50 μL | $298 | 7-10 days | 7-10 days | |
| 100 μL | $498 | 7-10 days | 7-10 days |
| Description | Anti-Alpha-2-macroglobulin Antibody (9L785) is a Rabbit antibody targeting Alpha-2-macroglobulin. Anti-Alpha-2-macroglobulin Antibody (9L785) can be used in IHC,WB. |
| Synonyms | α-2-macroglobulin, S863-7, FWP007, CPAMD5, alpha-2-macroglobulin, A2MD |
| Ig Type | IgG |
| Clone | 9L785 |
| Reactivity | Human |
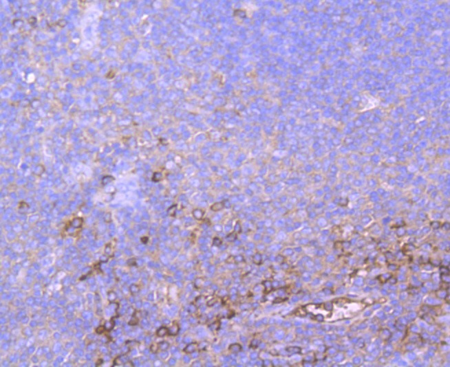
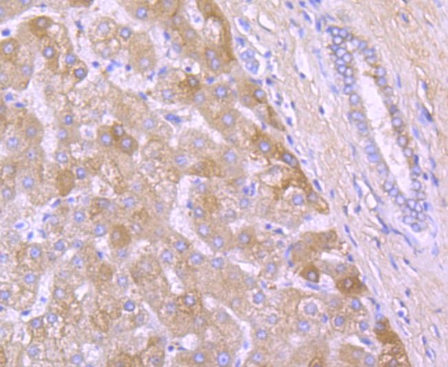
| Verified Activity | 1. Western blot analysis of A2M on human placenta cells lysates using anti-A2M antibody at 1/500 dilution. 2. Immunohistochemical analysis of paraffin-embedded human tonsil tissue using anti-A2M antibody. Counter stained with hematoxylin. 3. Immunohistochemical analysis of paraffin-embedded human liver tissue using anti-A2M antibody. Counter stained with hematoxylin. 4. Immunohistochemical analysis of paraffin-embedded human spleen tissue using anti-A2M antibody. Counter stained with hematoxylin. ![]() ![]() ![]() ![]() |
| Application | |
| Recommended Dose | WB: 1:1000-2000; IHC: 1:50-200 |
| Antibody Type | Monoclonal |
| Host Species | Rabbit |
| Construction | Recombinant Antibody |
| Purification | ProA affinity purified |
| Appearance | Liquid |
| Formulation | 1*TBS (pH7.4), 1%BSA, 40%Glycerol. Preservative: 0.05% Sodium Azide. |
| Research Background | α-2-Macroglobulin (α-2M) is a homotetrameric serum protein consisting of four identical subunits that form dimers through disulfide bonds. Initially, α-2M was characterized as a pan-proteinase inhibitor that was able to "bait" proteinases into cleaving specific peptide sequences on α-2M. This interaction induces a conformational change in α-2M, thus enabling it to "trap" the proteinase and further inhibit its activity. Subsequently, α-2M has been shown to function as a carrier protein and regulator of cytokines during inflammation. Circulating transforming growth factor β (TGFβ) in serum is primarily bound to α-2M, which renders TGFβ inactive. α-2M also binds to IL-6 and, thereby, increases the concentration of IL-6 near lymphocytes, hepatocytes and stem cells involved in mediating the inflammatory cascade. Mutations and deletions in the gene encoding α-2M are associated with an increased incidence of Alzheimer's Disease (AD), which is consistent with the role of α-2M in mediating the clearance and degradation of A β, the major component of β-Amyloid deposits accumulated during AD. |
| Conjucates | Unconjugated |
| Immunogen | Recombinant Protein |
| Uniprot ID |
| Molecular Weight | Theoretical: 163 kDa. |
| Stability & Storage | Store at -20°C or -80°C for 12 months. Avoid repeated freeze-thaw cycles. |
| Transport | Shipping with blue ice. |
| Size | Quantity | Unit Price | Amount | Operation |
|---|

Copyright © 2015-2026 TargetMol Chemicals Inc. All Rights Reserved.