Shopping Cart
Remove All
Your shopping cart is currently empty
Anti-ALOX5AP Polyclonal Antibody is a Rabbit antibody targeting ALOX5AP. Anti-ALOX5AP Polyclonal Antibody can be used in IF,IHC-Fr,IHC-P.
| Pack Size | Price | USA Warehouse | Global Warehouse | Quantity |
|---|---|---|---|---|
| 50 μL | $222 | 7-10 days | 7-10 days | |
| 100 μL | $372 | 7-10 days | 7-10 days | |
| 200 μL | $528 | 7-10 days | 7-10 days |
| Description | Anti-ALOX5AP Polyclonal Antibody is a Rabbit antibody targeting ALOX5AP. Anti-ALOX5AP Polyclonal Antibody can be used in IF,IHC-Fr,IHC-P. |
| Synonyms | MK-886-binding protein, FLAP, Five lipoxygenase activating protein, Arachidonate 5-lipoxygenase-activating protein, Arachidonate 5 lipoxygenase activating protein, ALOX5 AP, ALOX 5AP, AL5AP, 5-lipoxygenase activating protein |
| Ig Type | IgG |
| Reactivity | Rat (predicted:Human,Mouse,Pig,Cow,Horse,Rabbit,Sheep) |
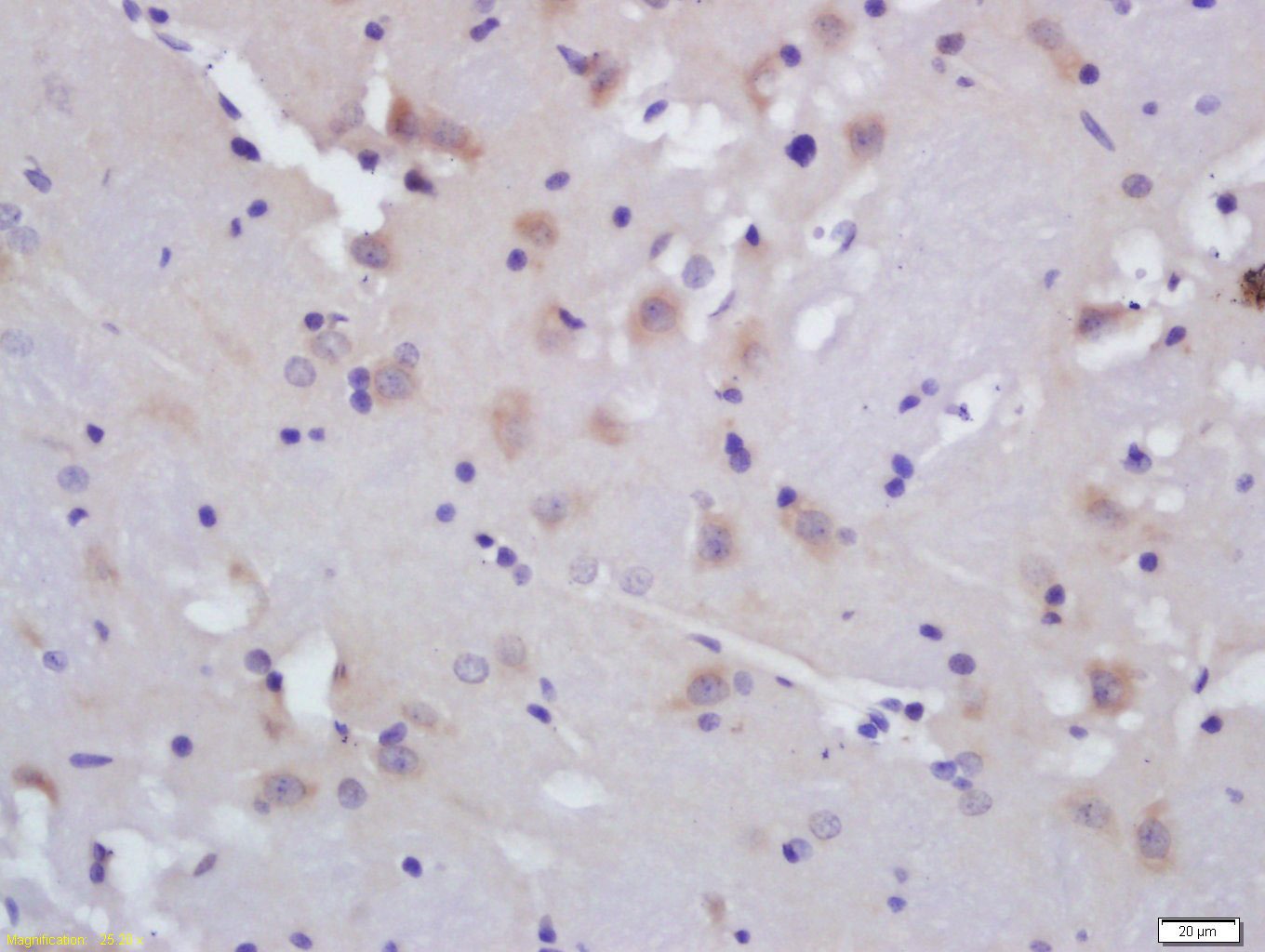
| Verified Activity | Tissue/cell: rat brain tissue; 4% Paraformaldehyde-fixed and paraffin-embedded; Antigen retrieval: citrate buffer (0.01M, pH6.0), Boiling bathing for 15 min; Block endogenous peroxidase by 3% Hydrogen peroxide for 30 min; Blocking buffer (normal goat serum) at 37°C for 20 min; Incubation: Anti-FLAP Polyclonal Antibody, Unconjugated (TMAB-00102) 1:200, overnight at 4°C, followed by conjugation to the secondary antibody and DAb staining ![]() |
| Application | |
| Recommended Dose | IHC-P: 1:100-500; IHC-Fr: 1:100-500; IF: 1:100-500 |
| Antibody Type | Polyclonal |
| Host Species | Rabbit |
| Subcellular Localization | Nucleus membrane; Multi-pass membrane protein. Endoplasmic reticulum membrane; Multi-pass membrane protein. |
| Construction | Polyclonal Antibody |
| Purification | Protein A purified |
| Appearance | Liquid |
| Formulation | 0.01M TBS (pH7.4) with 1% BSA, 0.02% Proclin300 and 50% Glycerol. |
| Concentration | 1 mg/mL |
| Research Background | Required for leukotriene biosynthesis by ALOX5 (5-lipoxygenase). Anchors ALOX5 to the membrane. Binds arachidonic acid, and could play an essential role in the transfer of arachidonic acid to ALOX5. Binds to MK-886, a compound that blocks the biosynthesis of leukotrienes. |
| Immunogen | KLH conjugated synthetic peptide: human ALOX5AP |
| Antigen Species | Human |
| Gene Name | ALOX5AP |
| Gene ID | |
| Protein Name | Arachidonate 5-lipoxygenase-activating protein |
| Uniprot ID | |
| Biology Area | Inflammatory mediators,Allergens,Macrophage / Inflamm.,Lipid Messengers |
| Function | Required for leukotriene biosynthesis by ALOX5 (5-lipoxygenase). Anchors ALOX5 to the membrane. Binds arachidonic acid, and could play an essential role in the transfer of arachidonic acid to ALOX5. Binds to MK-886, a compound that blocks the biosynthesis of leukotrienes. |
| Molecular Weight | Theoretical: 18 kDa. |
| Color | Transparent |
| Appearance | Liquid |
| Stability & Storage | Store at -20°C or -80°C for 12 months. Avoid repeated freeze-thaw cycles. |
| Transport | Shipping with blue ice. |
| Size | Quantity | Unit Price | Amount | Operation |
|---|

Copyright © 2015-2026 TargetMol Chemicals Inc. All Rights Reserved.