Shopping Cart
Remove All
Your shopping cart is currently empty
Anti-Alkaline Phosphatase/ALPL Antibody (3F463) is a Rabbit antibody targeting Alkaline Phosphatase/ALPL. Anti-Alkaline Phosphatase/ALPL Antibody (3F463) can be used in WB,IHC,ICC/IF,IP,FCM.
| Pack Size | Price | USA Warehouse | Global Warehouse | Quantity |
|---|---|---|---|---|
| 50 μL | $298 | 7-10 days | 7-10 days | |
| 100 μL | $498 | 7-10 days | 7-10 days |
| Description | Anti-Alkaline Phosphatase/ALPL Antibody (3F463) is a Rabbit antibody targeting Alkaline Phosphatase/ALPL. Anti-Alkaline Phosphatase/ALPL Antibody (3F463) can be used in WB,IHC,ICC/IF,IP,FCM. |
| Synonyms | TNS-ALP, TNSALP, TNAP, TNALP, HPPO, HPPI, HPPC, HPPA, HOPS, AP-TNAP, APTNAP |
| Ig Type | IgG |
| Clone | 3F463 |
| Reactivity | Human,Mouse,Rat |
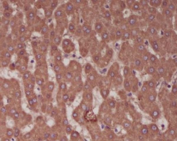
| Verified Activity | 1. All lanes use the Antibody at 1:1W dilution for 1 hour at room temperature. 2. All lanes use the Antibody at 1:1W dilution for 1 hour at room temperature. 3. Immunohistochemical analysis of paraffin-embedded human liver, using Alkaline Phosphatase Antibody. 4. Immunofluorescent analysis using the Antibody at 1:50 dilution. 5. Immunofluorescent analysis of Hela cells, using Alkaline Phosphatase Antibody . ![]() ![]() ![]() ![]() ![]() |
| Application | |
| Recommended Dose | WB: 1:1000-5000; IHC: 1:100-200; ICC/IF: 1:50-200; IP: 1:20-50; FCM: 1:20-100 |
| Antibody Type | Monoclonal |
| Host Species | Rabbit |
| Construction | Recombinant Antibody |
| Purification | Affinity-chromatography |
| Appearance | Liquid |
| Formulation | Rabbit IgG in 10mM phosphate buffered saline , pH 7.4, 150mM sodium chloride, 0.05% BSA, 0.02% sodium azide and 50% glycerol. |
| Research Background | Alkaline phosphatase that metabolizes various phosphate compounds and plays a key role in skeletal mineralization and adaptive thermogenesis. |
| Conjucates | Unconjugated |
| Immunogen | A synthesized peptide: human Alkaline phosphatase |
| Antigen Species | human |
| Uniprot ID |
| Molecular Weight | Theoretical: 57 kDa. |
| Color | Transparent |
| Appearance | Liquid |
| Stability & Storage | Store at 2°C-8°C for 1 month. Store at -20°C or -80°C for 12 months. Avoid repeated freeze-thaw cycles. |
| Transport | Shipping with blue ice. |
| Size | Quantity | Unit Price | Amount | Operation |
|---|

Copyright © 2015-2026 TargetMol Chemicals Inc. All Rights Reserved.