Shopping Cart
Remove All
Your shopping cart is currently empty
Anti-Albumin Polyclonal Antibody is a Rabbit antibody targeting Albumin. Anti-Albumin Polyclonal Antibody can be used in IF,IHC-Fr,IHC-P,WB.
| Pack Size | Price | USA Stock | Global Stock | Quantity |
|---|---|---|---|---|
| 50 μL | $222 | 7-10 days | 7-10 days | |
| 100 μL | $372 | 7-10 days | 7-10 days | |
| 200 μL | $527 | 7-10 days | 7-10 days |
| Description | Anti-Albumin Polyclonal Antibody is a Rabbit antibody targeting Albumin. Anti-Albumin Polyclonal Antibody can be used in IF,IHC-Fr,IHC-P,WB. |
| Synonyms | PRO1341, PRO0903, PRO0883, FDAH, ANALBA, albumin |
| Ig Type | IgG |
| Reactivity | Human,Mouse |
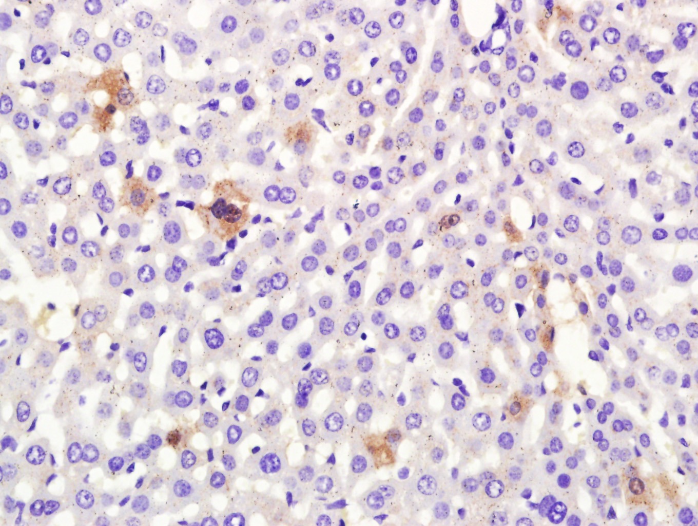
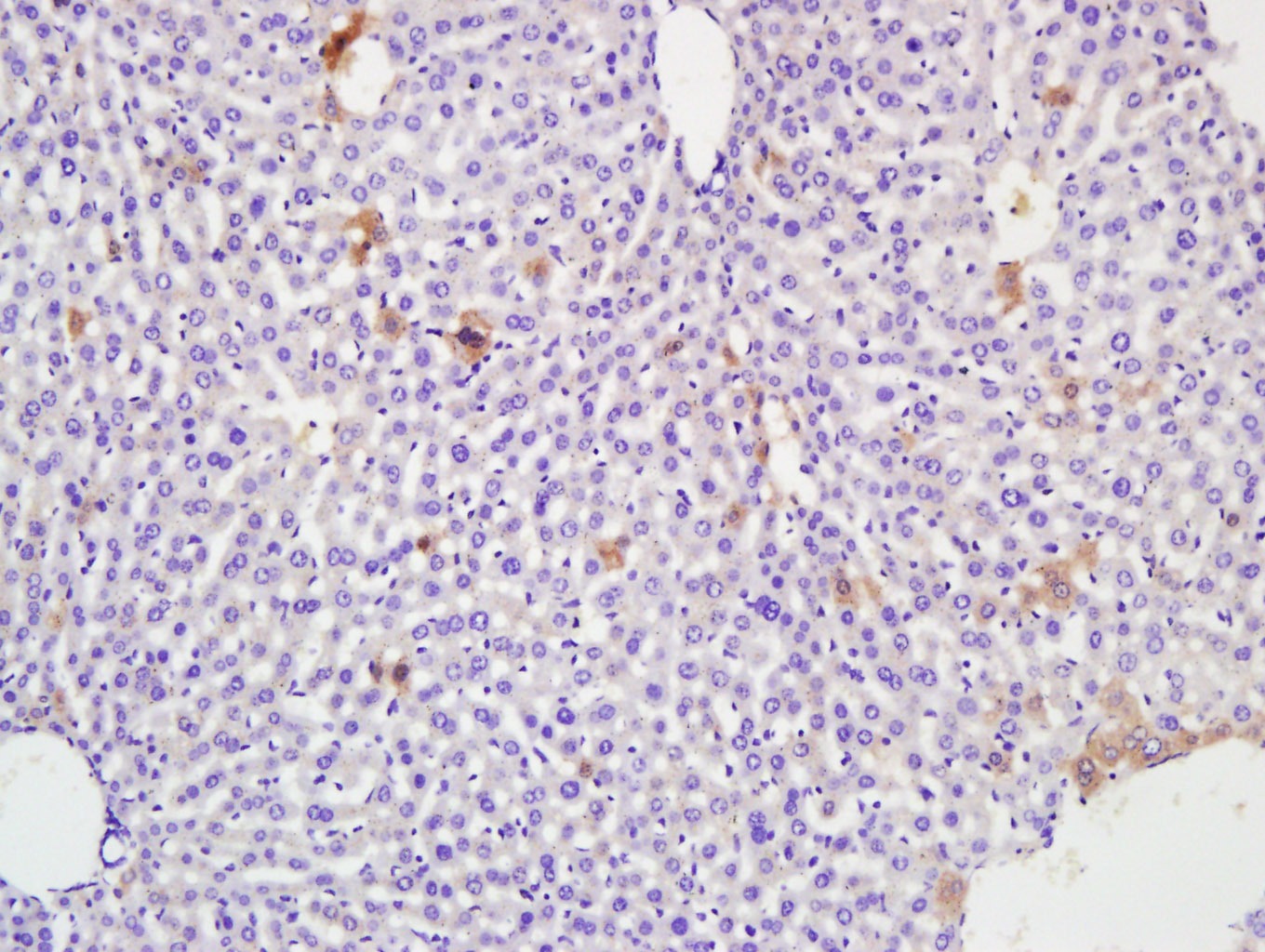
| Verified Activity | 1. Sample: A549 (Human) Cell Lysate at 30 μg Primary: Anti-Mouse serum albumin (TMAB-00091) at 1/300 dilution Secondary: IRDye800CW Goat Anti-Rabbit IgG at 1/20000 dilution Predicted band size: 68 kDa Observed band size: 68 kDa 2. Sample: Lung (Mouse) Lysate at 40 μg Spleen (Mouse) Lysate at 40 μg Primary: Anti-Mouse serum albumin (TMAB-00091) at 1/300 dilution Secondary: IRDye800CW Goat Anti-Rabbit IgG at 1/20000 dilution Predicted band size: 68 kDa Observed band size: 68 kDa 3. Paraformaldehyde-fixed, paraffin embedded (Mouse liver); Antigen retrieval by boiling in sodium citrate buffer (pH6.0) for 15 min; Block endogenous peroxidase by 3% hydrogen peroxide for 20 min; Blocking buffer (normal goat serum) at 37°C for 30 min; Antibody incubation with (Mouse serum albumin) Polyclonal Antibody, Unconjugated (TMAB-00091) at 1:400 overnight at 4°C, followed by a conjugated secondary antibody for 20 min and DAB staining. 4. Paraformaldehyde-fixed, paraffin embedded (Mouse Liver); Antigen retrieval by boiling in sodium citrate buffer (pH6.0) for 15 min; Block endogenous peroxidase by 3% hydrogen peroxide for 20 min; Blocking buffer (normal goat serum) at 37°C for 30 min; Antibody incubation with (Mouse serum albumin) Polyclonal Antibody, Unconjugated (TMAB-00091) at 1:400 overnight at 4°C, followed by a conjugated secondary antibody for 20 min and DAB staining. 5. Sample: Lane 1: Mouse Serum Lane 2: Human Serum Primary: Anti-Albumin (TMAB-00091) at 1/5000 dilution Secondary: IRDye800CW Goat Anti-Rabbit IgG at 1/20000 dilution Predicted band size: 68 kDa Observed band size: 62 kDa ![]() ![]() ![]() ![]() ![]() |
| Application | |
| Recommended Dose | WB: 1:500-2000; IHC-P: 1:100-500; IHC-Fr: 1:100-500; IF: 1:100-500 |
| Antibody Type | Polyclonal |
| Host Species | Rabbit |
| Subcellular Localization | Secreted. |
| Tissue Specificity | Plasma. |
| Construction | Polyclonal Antibody |
| Purification | Protein A purified |
| Appearance | Liquid |
| Formulation | 0.01M TBS (pH7.4) with 0.02% Proclin300 and 50% Glycerol. |
| Concentration | 1 mg/mL |
| Research Background | This gene encodes the most abundant protein in human blood. This protein functions in the regulation of blood plasma colloid osmotic pressure and acts as a carrier protein for a wide range of endogenous molecules including hormones, fatty acids, and metabolites, as well as exogenous drugs. Additionally, this protein exhibits an esterase-like activity with broad substrate specificity. The encoded preproprotein is proteolytically processed to generate the mature protein. A peptide derived from this protein, EPI-X4, is an endogenous inhibitor of the CXCR4 chemokine receptor. [provided by RefSeq, Jul 2016] |
| Immunogen | Mouse serum albumin purified from mouse serum |
| Antigen Species | Mouse |
| Gene Name | ALB |
| Protein Name | Ovalbumin |
| Biology Area | Endoderm,Other Chaperones,Lipid metabolism,Metabolic disorders,Signal transduction proteins ELISA kits,Endoderm,Serum Proteins |
| Function | Serum albumin, the main protein of plasma, has a good binding capacity for water, Ca(2+), Na(+), K(+), fatty acids, hormones, bilirubin and drugs. Its main function is the regulation of the colloidal osmotic pressure of blood. Major zinc transporter in plasma, typically binds about 80% of all plasma zinc. |
| Molecular Weight | Theoretical: 68 kDa. Actual: 62 kDa. |
| Stability & Storage | Store at -20°C or -80°C for 12 months. Avoid repeated freeze-thaw cycles. |
| Transport | Shipping with blue ice. |
| Size | Quantity | Unit Price | Amount | Operation |
|---|

Copyright © 2015-2026 TargetMol Chemicals Inc. All Rights Reserved.