Shopping Cart
Remove All
Your shopping cart is currently empty
Anti-AHR Polyclonal Antibody is a Rabbit antibody targeting AHR. Anti-AHR Polyclonal Antibody can be used in FCM, ICC/IF, IF, IHC-Fr, IHC-P.
| Pack Size | Price | USA Warehouse | Global Warehouse | Quantity |
|---|---|---|---|---|
| 50 μL | $220 | 7-10 days | 7-10 days | |
| 100 μL | $372 | 7-10 days | 7-10 days | |
| 200 μL | $529 | 7-10 days | 7-10 days |
| Description | Anti-AHR Polyclonal Antibody is a Rabbit antibody targeting AHR. Anti-AHR Polyclonal Antibody can be used in FCM, ICC/IF, IF, IHC-Fr, IHC-P. |
| Synonyms | Class E basic helix-loop-helix protein 76 (bHLHe76), bHLHe76, Aryl hydrocarbon receptor, AHR, Ah receptor |
| Ig Type | IgG |
| Reactivity | Human,Rat (predicted:Mouse) |
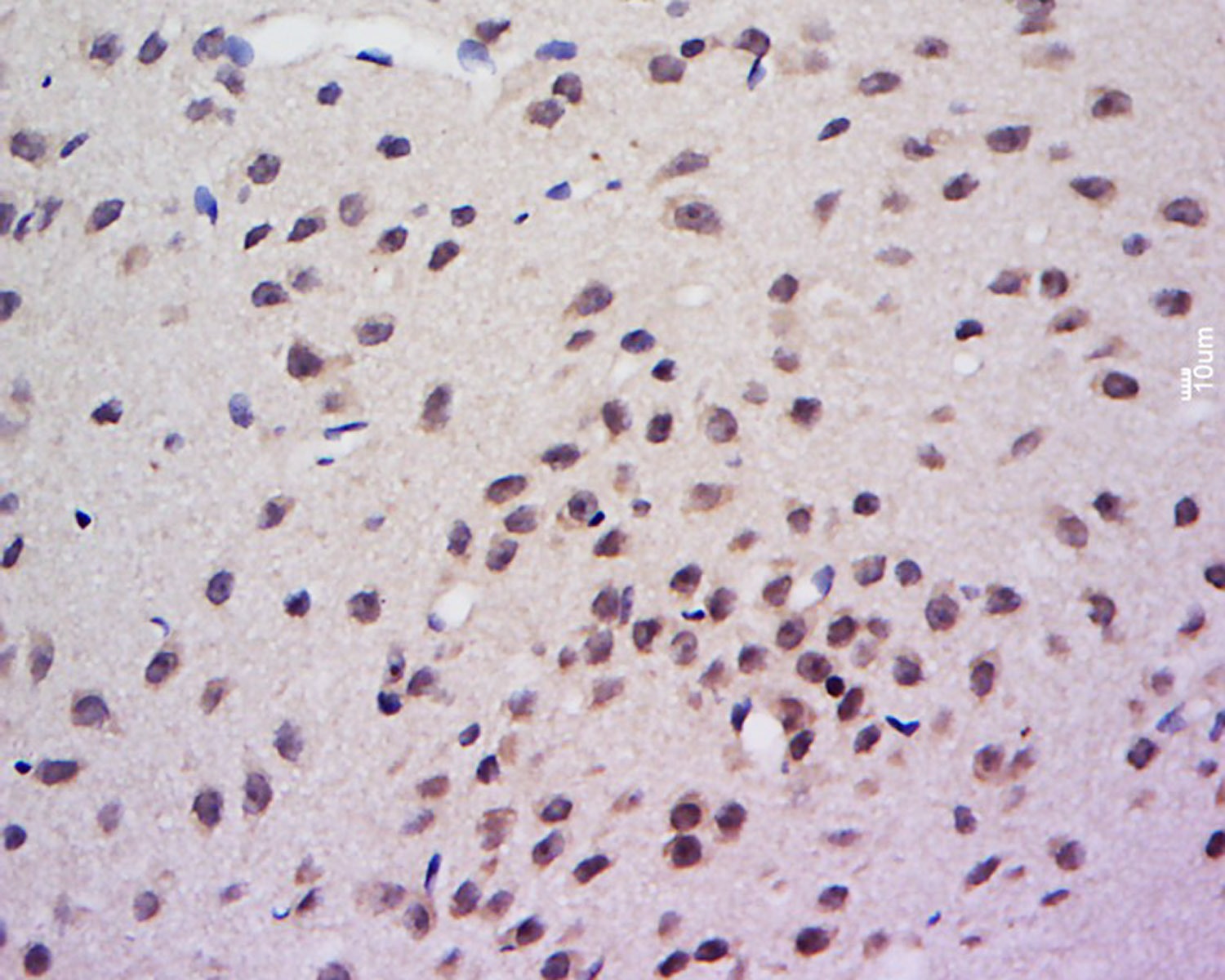
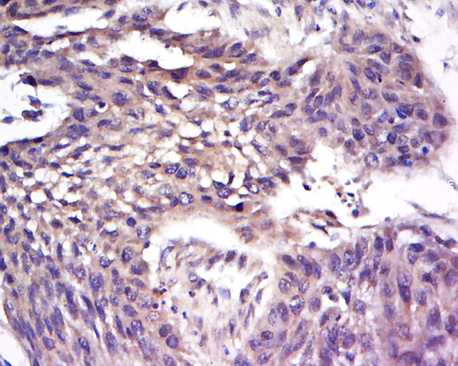
| Verified Activity | 1. HepG2 cell; 4% Paraformaldehyde-fixed; Triton X-100 at room temperature for 20 min; Blocking buffer (normal goat serum) at 37°C for 20 min; Antibody incubation with (AHR) polyclonal Antibody, Unconjugated (TMAB-00080) 1:100, 90 minutes at 37°C; followed by a conjugated Goat Anti-Rabbit IgG antibody at 37°C for 90 minutes, DAPI (blue) was used to stain the cell nucleus. 2. Tissue/cell: Rat brain tissue; 4% Paraformaldehyde-fixed and paraffin-embedded; Antigen retrieval: citrate buffer (0.01M, pH6.0), Boiling bathing for 15 min; Block endogenous peroxidase by 3% Hydrogen peroxide for 30 min; Blocking buffer (normal goat serum) at 37°C for 20 min; Incubation: Anti-AHR Polyclonal Antibody, Unconjugated (TMAB-00080) 1:200, overnight at 4°C, followed by conjugation to the secondary antibody and DAb staining. 3. Tissue/cell: human lung carcinoma; 4% Paraformaldehyde-fixed and paraffin-embedded; Antigen retrieval: citrate buffer (0.01M, pH6.0), Boiling bathing for 15 min; Block endogenous peroxidase by 3% Hydrogen peroxide for 30 min; Blocking buffer (normal goat serum) at 37°C for 20 min; Incubation: Anti-AHR Polyclonal Antibody, Unconjugated (TMAB-00080) 1:200, overnight at 4°C, followed by conjugation to the secondary antibody and DAb staining. 4. Blank control: U937. Primary Antibody (green line): Rabbit Anti-AHR antibody (TMAB-00080) Dilution: 2 μg/10^6 cells; Isotype Control Antibody (orange line): Rabbit IgG. Secondary Antibody: Goat anti-rabbit IgG-PE Dilution: 1 μg/test. Protocol The cells were fixed with 4% PFA (10 min at room temperature) and then permeabilized with 90% ice-cold methanol for 20 min at room temperature. The cells were then incubated in 5% BSA to block non-specific protein-protein interactions for 30 min at room temperature. Cells stained with Primary Antibody for 30 min at room temperature. The secondary antibody used for 40 min at room temperature. ![]() ![]() ![]() ![]() |
| Application | |
| Recommended Dose | FCM=2 μg/Test; ICC/IF=1:100-500; IF=1:100-500; IHC-Fr=1:100-500; IHC-P=1:100-500 |
| Antibody Type | Polyclonal |
| Host Species | Rabbit |
| Subcellular Localization | Cytoplasm. Nucleus. Initially cytoplasmic; upon binding with ligand and interaction with a HSP90, it translocates to the nucleus. |
| Tissue Specificity | Expressed in all tissues tested including blood, brain, heart, kidney, liver, lung, pancreas and skeletal muscle. |
| Construction | Polyclonal Antibody |
| Purification | Protein A purified |
| Appearance | Liquid |
| Formulation | 0.01M TBS (pH7.4) with 1% BSA, 0.02% Proclin300 and 50% Glycerol. |
| Concentration | 1 mg/mL |
| Research Background | This gene encodes a ligand-activated transcription factor involved in the regulation of biological responses to planar aromatic hydrocarbons. This receptor has been shown to regulate xenobiotic-metabolizing enzymes such as cytochrome P450. Its ligands included a variety of aromatic hydrocarbons. |
| Immunogen | KLH conjugated synthetic peptide: human AHR |
| Antigen Species | Human |
| Gene Name | AHR |
| Gene ID | |
| Protein Name | Aryl hydrocarbon receptor |
| Uniprot ID | |
| Function | Ligand-activated transcriptional activator. Binds to the XRE promoter region of genes it activates. Activates the expression of multiple phase I and II xenobiotic chemical metabolizing enzyme genes (such as the CYP1A1 gene). Mediates biochemical and toxic effects of halogenated aromatic hydrocarbons. Involved in cell-cycle regulation. Likely to play an important role in the development and maturation of many tissues. |
| Molecular Weight | Theoretical: 93 kDa. |
| Stability & Storage | Store at -20°C or -80°C for 12 months. Avoid repeated freeze-thaw cycles. |
| Transport | Shipping with blue ice. |
| Size | Quantity | Unit Price | Amount | Operation |
|---|

Copyright © 2015-2026 TargetMol Chemicals Inc. All Rights Reserved.