Shopping Cart
Remove All
Your shopping cart is currently empty
Synonyms: PGCA, MSK16, CSPG1, CSPCP, Chondroitin sulfate proteoglycan core protein 1, Chondroitin sulfate proteoglycan 1, Cartilage-specific proteoglycan core protein, Aggrecan core protein 2, Aggrecan core protein, AGC1, ACAN
| Pack Size | Price | USA Stock | Global Stock | Quantity |
|---|---|---|---|---|
| 50 μL | $220 | 7-10 days | 7-10 days | |
| 100 μL | $374 | 7-10 days | 7-10 days |
| Description | Anti-Aggrecan Polyclonal Antibody is a Rabbit antibody targeting Aggrecan. Anti-Aggrecan Polyclonal Antibody can be used in IF,IHC-Fr,IHC-P. |
| Synonyms | PGCA, MSK16, CSPG1, CSPCP, Chondroitin sulfate proteoglycan core protein 1, Chondroitin sulfate proteoglycan 1, Cartilage-specific proteoglycan core protein, Aggrecan core protein 2, Aggrecan core protein, AGC1, ACAN |
| Ig Type | IgG |
| Reactivity | Mouse,Rat (predicted:Human) |
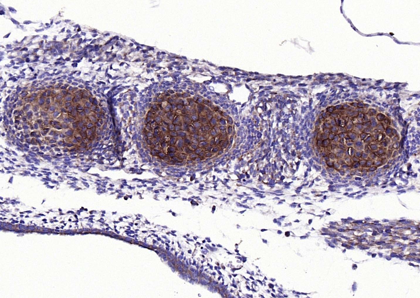
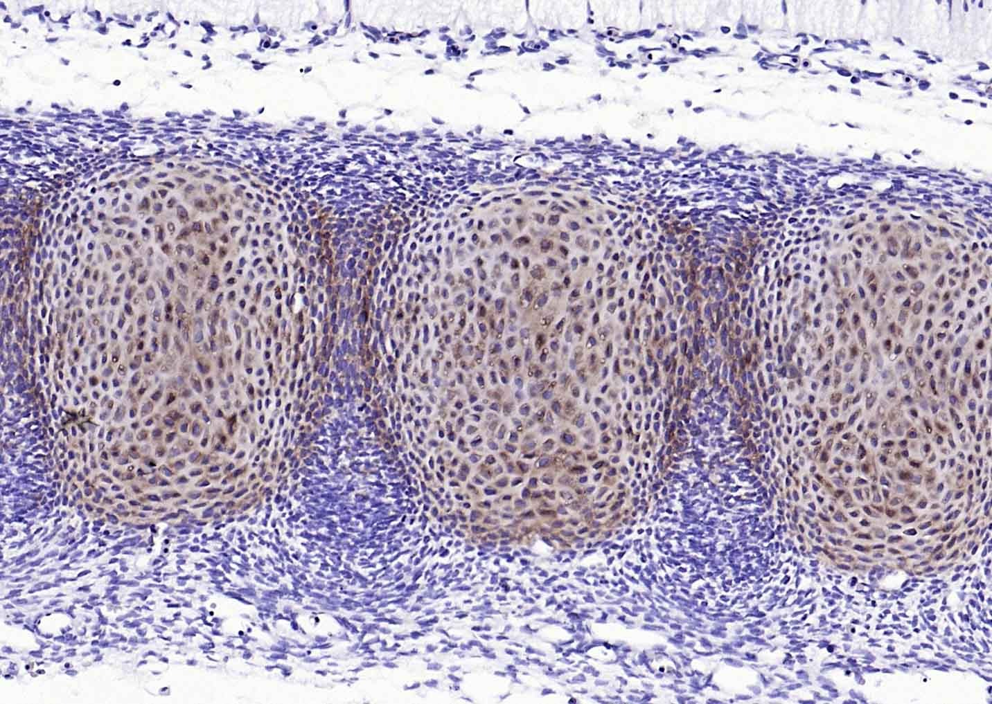
| Verified Activity | 1. Paraformaldehyde-fixed, paraffin embedded (Rat embryo); Antigen retrieval by boiling in sodium citrate buffer (pH6.0) for 15 min; Block endogenous peroxidase by 3% hydrogen peroxide for 20 min; Blocking buffer (normal goat serum) at 37°C for 30 min; Antibody incubation with (ACAN) Polyclonal Antibody, Unconjugated (TMAB-00076) at 1:200 overnight at 4°C, followed by operating according to SP Kit (Rabbit) instructionsand DAB staining. 2. Paraformaldehyde-fixed, paraffin embedded (mouse embryo); Antigen retrieval by boiling in sodium citrate buffer (pH6.0) for 15 min; Block endogenous peroxidase by 3% hydrogen peroxide for 20 min; Blocking buffer (normal goat serum) at 37°C for 30 min; Antibody incubation with (ACAN) Polyclonal Antibody, Unconjugated (TMAB-00076) at 1:200 overnight at 4°C, followed by operating according to SP Kit (Rabbit) instructionsand DAB staining. |
| Application | |
| Recommended Dose | IHC-P: 1:100-500; IHC-Fr: 1:100-500; IF: 1:100-500 |
| Antibody Type | Polyclonal |
| Host Species | Rabbit |
| Subcellular Localization | Secreted, extracellular space, extracellular matrix. |
| Tissue Specificity | Restricted to cartilages. |
| Construction | Polyclonal Antibody |
| Purification | Protein A purified |
| Appearance | Liquid |
| Formulation | 0.01M TBS (pH7.4) with 1% BSA, 0.02% Proclin300 and 50% Glycerol. |
| Concentration | 1 mg/mL |
| Research Background | Aggrecan is a member of a family of large, aggregating proteoglycans (also including versican, brevican and neurocan) which is found in articular cartilage. Aggrecan is composed of three major domains: G1, G2, and G3. Between the G1 and G2 domains there is an interglobulin region (IGD). The IGD region is the major site of cleavage by specific proteases like metalloproteinases (MMPs) and aggrecanase. Aggrecan cleavage has been associated with a number of degenerative diseases including rheumatoid arthritis and osteoarthritis. There is evidence that this family of proteoglycans modulates cell adhesion, migration, and axonal outgrowth in the CNS. |
| Immunogen | KLH conjugated synthetic peptide: mouse ACAN |
| Antigen Species | Mouse |
| Gene Name | ACAN |
| Gene ID | |
| Protein Name | Aggrecan core protein |
| Uniprot ID | |
| Biology Area | Aggrecan,Chondrogenesis |
| Function | Aggrecan has been detected in neural precursor cells (neurospheres; Kabos et al, 2004) During differentiation, neurospheres downregulate Chondroitin sulfate proteoglycans (CSPGs). Proliferating neural precursors synthesize lecticans, including aggrecan, which are downregulated with differentiation; suggesting a link between CSPGs and CNS precursor biology. |
| Molecular Weight | Theoretical: 99 kDa. |
| Stability & Storage | Store at -20°C or -80°C for 12 months. Avoid repeated freeze-thaw cycles. |
| Transport | Shipping with blue ice. |
| Size | Quantity | Unit Price | Amount | Operation |
|---|

Copyright © 2015-2026 TargetMol Chemicals Inc. All Rights Reserved.