Shopping Cart
Remove All
Your shopping cart is currently empty
Anti-Aggrecan Antibody (9Z438) is a Rabbit antibody targeting Aggrecan. Anti-Aggrecan Antibody (9Z438) can be used in IHC.
| Pack Size | Price | USA Warehouse | Global Warehouse | Quantity |
|---|---|---|---|---|
| 50 μL | $296 | 7-10 days | 7-10 days | |
| 100 μL | $497 | 7-10 days | 7-10 days |
| Description | Anti-Aggrecan Antibody (9Z438) is a Rabbit antibody targeting Aggrecan. Anti-Aggrecan Antibody (9Z438) can be used in IHC. |
| Synonyms | PGCA, MSK16, CSPG1, CSPCP, Chondroitin sulfate proteoglycan core protein 1, Chondroitin sulfate proteoglycan 1, Cartilage-specific proteoglycan core protein, Aggrecan core protein 2, Aggrecan core protein, AGC1, ACAN |
| Ig Type | IgG |
| Clone | 9Z438 |
| Reactivity | Human,Rat |
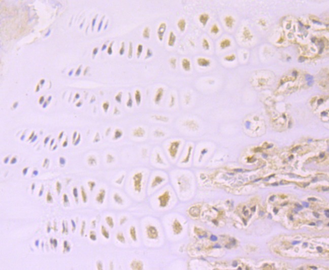
| Verified Activity | 1. Immunohistochemical analysis of paraffin-embedded rat cartilage tissue using anti-Aggrecan antibody. Counter stained with hematoxylin. 2. Immunohistochemical analysis of paraffin-embedded human liver tissue using anti-Aggrecan antibody. Counter stained with hematoxylin. ![]() ![]() |
| Application | |
| Recommended Dose | IHC: 1:50-200 |
| Antibody Type | Monoclonal |
| Host Species | Rabbit |
| Construction | Recombinant Antibody |
| Purification | ProA affinity purified |
| Appearance | Liquid |
| Formulation | 1*TBS (pH7.4), 1%BSA, 40%Glycerol. Preservative: 0.05% Sodium Azide. |
| Research Background | The large chondroitin sulfate proteoglycan, aggrecan, is the predominant proteoglycan present in cartilage. Aggrecan is a member of the chondroitin sulphate proteoglycan family, which also includes versican/PG-M, neurocan and brevican. Aggrecan is a complex multidomain macromolecule that undergoes extensive processing and post-translational modification. Aggrecan in cartilage forms aggregates with hyaluronan and link protein, embedded in a collagen network. Aggrecan accounts for the compressive stiffness and resilience of the hyaline cartilage. Many forms of inflammatory arthritis are shown to be accompanied with aggrecan degradation and loss from the cartilage. Brevican is a brain proteoglycan of the aggrecan/versican/neurocan family. In the adult brain, the brevican core protein undergoes proteolytic cleavage and exists as a full-length form a carboxy-terminal fragment and an amino-terminal fragment. |
| Conjucates | Unconjugated |
| Immunogen | Recombinant Protein |
| Uniprot ID |
| Molecular Weight | Theoretical: 250/246/239 kDa. |
| Stability & Storage | Store at -20°C or -80°C for 12 months. Avoid repeated freeze-thaw cycles. |
| Transport | Shipping with blue ice. |
| Size | Quantity | Unit Price | Amount | Operation |
|---|

Copyright © 2015-2026 TargetMol Chemicals Inc. All Rights Reserved.