Shopping Cart
Remove All
Your shopping cart is currently empty
Anti-AFP Antibody (6V105) is a Mouse antibody targeting AFP. Anti-AFP Antibody (6V105) can be used in IF,IHC,WB.
| Pack Size | Price | USA Warehouse | Global Warehouse | Quantity |
|---|---|---|---|---|
| 50 μL | $218 | 7-10 days | 7-10 days | |
| 100 μL | $317 | 7-10 days | 7-10 days |
| Description | Anti-AFP Antibody (6V105) is a Mouse antibody targeting AFP. Anti-AFP Antibody (6V105) can be used in IF,IHC,WB. |
| Synonyms | α-fetoprotein, α-fetoglobulin, α-1-fetoprotein, Alpha-fetoprotein, Alpha-fetoglobulin, Alpha-1-fetoprotein, Afp |
| Clone | 6V105 |
| Reactivity | Human |
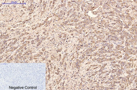
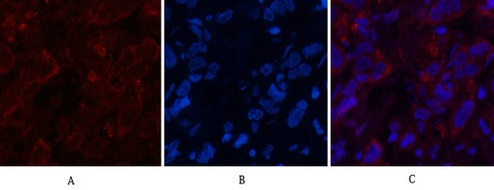
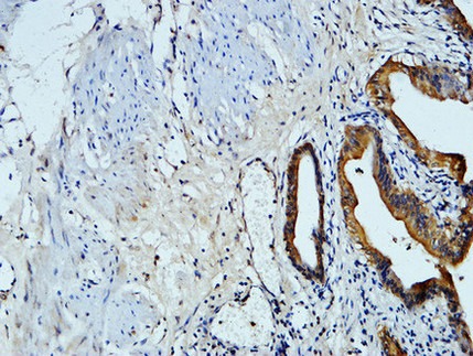
| Verified Activity | 1. Western blot analysis of HepG2, diluted at 1:2,000. 2. Immunohistochemical analysis of paraffin-embedded Human-breast-cancer tissue. 1,AFP alpha 1 Fetoprotein Monoclonal Antibody(17C5) was diluted at 1:200(4°C,overnight). 2, Sodium citrate pH 6.0 was used for antibody retrieval(>98°C,20min). 3,Secondary antibody was diluted at 1:200(room temperature, 30min). Negative control was used by secondary antibody only. 3. Immunohistochemical analysis of paraffin-embedded Human gallbladder. 1, Antibody was diluted at 1:100(4°C overnight). 2, High-pressure and temperature EDTA, pH8.0 was used for antigen retrieval. 3,Secondary antibody was diluted at 1:200(room temperature, 30min). 4. Immunofluorescence analysis of Human-breast-cancer tissue. 1,AFP alpha 1 Fetoprotein Monoclonal Antibody(17C5)(red) was diluted at 1:200(4°C,overnight). 2, Cy3 labled Secondary antibody was diluted at 1:300(room temperature, 50min).3, Picture B: DAPI(blue) 10min. Picture A:Target. Picture B: DAPI. Picture C: merge of A+B. ![]() ![]() ![]() ![]() |
| Application | |
| Recommended Dose | WB: 1:2000; IF: 1:200; IHC: 1:50-300 |
| Antibody Type | Monoclonal |
| Host Species | Mouse |
| Construction | Hybridoma Monoclonal Antibody |
| Purification | The antibody was affinity-purified from mouse ascites by affinity-chromatography using specific immunogen. |
| Appearance | Liquid |
| Formulation | PBS, pH 7.4, containing 0.5%BSA, 0.02% sodium azide as Preservative and 50% Glycerol. |
| Research Background | This gene encodes alpha-fetoprotein, a major plasma protein produced by the yolk sac and the liver during fetal life. Alpha-fetoprotein expression in adults is often associated with hepatoma or teratoma. However, hereditary persistance of alpha-fetoprotein may also be found in individuals with no obvious pathology. The protein is thought to be the fetal counterpart of serum albumin, and the alpha-fetoprotein and albumin genes are present in tandem in the same transcriptional orientation on chromosome 4. Alpha-fetoprotein is found in monomeric as well as dimeric and trimeric forms, and binds copper, nickel, fatty acids and bilirubin. The level of alpha-fetoprotein in amniotic fluid is used to measure renal loss of protein to screen for spina bifida and anencephaly. [provided by RefSeq, Jul 2008], |
| Conjucates | Unconjugated |
| Immunogen | A synthesized peptide: AFP alpha 1 Fetoprotein |
| Gene ID | |
| Uniprot ID |
| Molecular Weight | Theoretical: 70 kDa. |
| Stability & Storage | Store at -20°C or -80°C for 12 months. Avoid repeated freeze-thaw cycles. |
| Transport | Shipping with blue ice. |
| Size | Quantity | Unit Price | Amount | Operation |
|---|

Copyright © 2015-2026 TargetMol Chemicals Inc. All Rights Reserved.