Shopping Cart
Remove All
Your shopping cart is currently empty
Anti-ADRB2 Antibody (3B949) is a Rabbit antibody targeting ADRB2. Anti-ADRB2 Antibody (3B949) can be used in IHC,IP,WB.
| Pack Size | Price | USA Warehouse | Global Warehouse | Quantity |
|---|---|---|---|---|
| 50 μL | $297 | 7-10 days | 7-10 days | |
| 100 μL | $498 | 7-10 days | 7-10 days |
| Description | Anti-ADRB2 Antibody (3B949) is a Rabbit antibody targeting ADRB2. Anti-ADRB2 Antibody (3B949) can be used in IHC,IP,WB. |
| Synonyms | Beta-2 adrenoreceptor, Beta-2 adrenoceptor, Beta-2 adrenergic receptor, B2AR, ADRB2R, ADRB 2 |
| Ig Type | IgG |
| Clone | 3B949 |
| Reactivity | Human,Mouse,Rat,zebrafish |
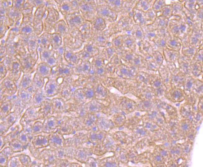
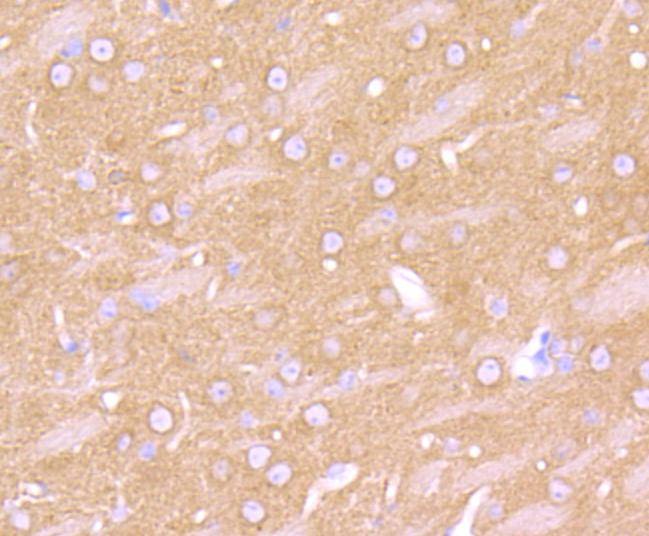
| Verified Activity | 1. Western blot analysis of ADRB2 on zebrafish lysates using anti-ADRB2 antibody at 1/1,000 dilution. 2. Immunohistochemical analysis of paraffin-embedded mouse liver tissue using anti-ADRB2 antibody. Counter stained with hematoxylin. 3. Immunohistochemical analysis of paraffin-embedded mouse brain tissue using anti-ADRB2 antibody. Counter stained with hematoxylin. ![]() ![]() ![]() |
| Application | |
| Recommended Dose | WB: 1:1000-5000; IHC: 1:50-200 |
| Antibody Type | Monoclonal |
| Host Species | Rabbit |
| Construction | Recombinant Antibody |
| Purification | ProA affinity purified |
| Appearance | Liquid |
| Formulation | 1*TBS (pH7.4), 1%BSA, 40%Glycerol. Preservative: 0.05% Sodium Azide. |
| Research Background | Adrenergic receptors (ARs) (the term "adrenergic" reflects the alternative name for epinephrine, adrenaline) include four general types (a1, a2, b1 and b2) which are found in different target tissues and differ in their affinities and responses to various agonists and antagonists. cDNA clones have been isolated for all of the major AR subtypes and a number of closely related receptors have been identified by this approach. Each of the receptors have been shown to consist of single polypeptide chains which transverse the plasma membrane seven times, presumably forming a bundle of helices within the membrane. These transmembrane regions are hydrophobic and are interconnected by extracellular and intracellular hydrophilic loops. The coupling of ARs to specific intracellular effectors is mediated through diverse heterotrimeric G proteins and is regulated by G protein-coupled receptor kinases (GRKs), cAMP-dependent protein kinase A and protein kinase C directed phosphorylation. b2-adrenergic receptors bind cathecholamines (epinephrine, norepinephrine) and influence development, behavior, cardiac function, smooth muscle tone, and metabolism. b2-AR signaling complexes can contain C L-type calcium channel Ca(V)1.2, G protein, adenylyl cyclase, cAMP-dependent kinase, and PP2A phosphatase. |
| Conjucates | Unconjugated |
| Immunogen | Recombinant Protein |
| Uniprot ID |
| Molecular Weight | Theoretical: 60 kDa. |
| Stability & Storage | Store at -20°C or -80°C for 12 months. Avoid repeated freeze-thaw cycles. |
| Transport | Shipping with blue ice. |
| Size | Quantity | Unit Price | Amount | Operation |
|---|

Copyright © 2015-2026 TargetMol Chemicals Inc. All Rights Reserved.