Shopping Cart
Remove All
Your shopping cart is currently empty
Anti-ADAMTS5 Polyclonal Antibody is a Rabbit antibody targeting ADAMTS5. Anti-ADAMTS5 Polyclonal Antibody can be used in ELISA, WB.
| Pack Size | Price | USA Stock | Global Stock | Quantity |
|---|---|---|---|---|
| 50 μL | $220 | 7-10 days | 7-10 days | |
| 100 μL | $374 | 7-10 days | 7-10 days |
| Description | Anti-ADAMTS5 Polyclonal Antibody is a Rabbit antibody targeting ADAMTS5. Anti-ADAMTS5 Polyclonal Antibody can be used in ELISA, WB. |
| Synonyms | Implantin, Aggrecanase-2, ADMP-2, ADAMTS-5, ADAM-TS5, Adamts5, ADAM-TS 5, A disintegrin and metalloproteinase with thrombospondin motifs 5 |
| Ig Type | IgG |
| Reactivity | Human,Mouse |
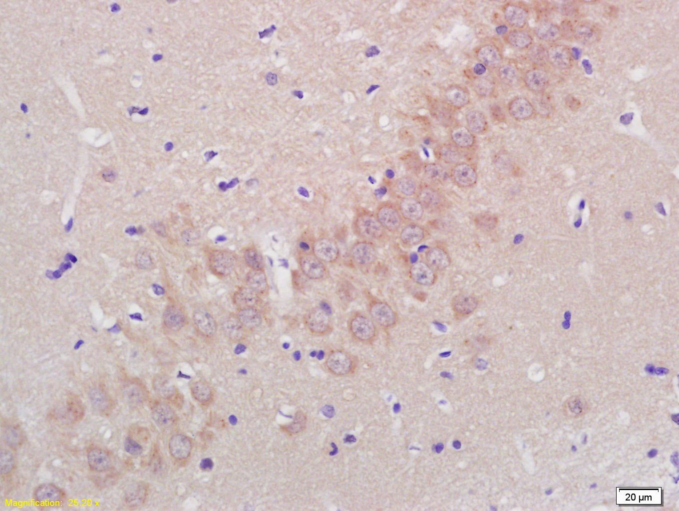
| Verified Activity | 1. Tissue/cell: rat brain tissue; 4% Paraformaldehyde-fixed and paraffin-embedded; Antigen retrieval: citrate buffer (0.01M, pH6.0), Boiling bathing for 15 min; Block endogenous peroxidase by 3% Hydrogen peroxide for 30 min; Blocking buffer (normal goat serum) at 37°C for 20 min; Incubation: Anti-Aggrecanase-2/ADAMTS5 Polyclonal Antibody, Unconjugated (TMAB-00057) 1:200, overnight at 4°C, followed by conjugation to the secondary antibody and DAb staining. 2. Sample: Lane 1: Mouse Placenta tissue lysates Lane 2: Mouse Spleen tissue lysates Lane 3: Human U87MG cell lysates Lane 4: Human U251 cell lysates Lane 5: Human SH-SY5Y cell lysates Lane 6: Human HeLa cell lysates Primary: Anti-ADAMTS5 (TMAB-00057) at 1/1000 dilution Secondary: IRDye800CW Goat Anti-Rabbit IgG at 1/20000 dilution Predicted band size: 102 kDa Observed band size: 102 kDa ![]() ![]() |
| Application | |
| Recommended Dose | ELISA=1:5000-10000; WB=1:500-2000 |
| Antibody Type | Polyclonal |
| Host Species | Rabbit |
| Subcellular Localization | Secreted, extracellular space, extracellular matrix. |
| Tissue Specificity | Expressed at low level in placenta primarily but also detected in heart and brain, cervix, uterus, bladder, esophagus, rib cartilage, chondroblastoma, fibrous tissue and a joint capsule from an arthritic patient. |
| Construction | Polyclonal Antibody |
| Purification | Protein A purified |
| Appearance | Liquid |
| Formulation | 0.01M TBS (pH7.4) with 1% BSA, 0.02% Proclin300 and 50% Glycerol. |
| Concentration | 1 mg/mL |
| Research Background | This gene encodes a member of the ADAMTS (a disintegrin and metalloproteinase with thrombospondin motifs) protein family. Members of the family share several distinct protein modules, including a propeptide region, a metalloproteinase domain, a disintegrin-like domain, and a thrombospondin type 1 (TS) motif. Individual members of this family differ in the number of C-terminal TS motifs, and some have unique C-terminal domains. The encoded preproprotein is proteolytically processed to generate the mature enzyme. This enzyme contains two C-terminal TS motifs and functions as an aggrecanase that cleaves aggrecan, a major proteoglycan of cartilage, and may mediate cartilage destruction in osteoarthritis. [provided by RefSeq, Feb 2016] |
| Immunogen | KLH conjugated synthetic peptide: human ADAMTS5 |
| Antigen Species | Human |
| Gene Name | ADAMTS5 |
| Gene ID | |
| Protein Name | A disintegrin and metalloproteinase with thrombospondin motifs 5 |
| Uniprot ID | |
| Biology Area | Aggrecan,MMP,ADAM Protein Family,ADAM TS |
| Function | Cleaves aggrecan, a cartilage proteoglycan, and may be involved in its turnover. May play an important role in the destruction of aggrecan in arthritic diseases. May play a role in proteolytic processing mostly during the peri-implantation period. |
| Molecular Weight | Theoretical: 102 kDa. Actual: 102 kDa. |
| Stability & Storage | Store at -20°C or -80°C for 12 months. Avoid repeated freeze-thaw cycles. |
| Transport | Shipping with blue ice. |
| Size | Quantity | Unit Price | Amount | Operation |
|---|

Copyright © 2015-2026 TargetMol Chemicals Inc. All Rights Reserved.