Shopping Cart
Remove All
Your shopping cart is currently empty
Anti-ACTIN Polyclonal Antibody is a Rabbit antibody targeting ACTIN. Anti-ACTIN Polyclonal Antibody can be used in ELISA,WB.
| Pack Size | Price | USA Warehouse | Global Warehouse | Quantity |
|---|---|---|---|---|
| 50 μL | $216 | 7-10 days | 7-10 days | |
| 100 μL | $318 | 7-10 days | 7-10 days |
| Description | Anti-ACTIN Polyclonal Antibody is a Rabbit antibody targeting ACTIN. Anti-ACTIN Polyclonal Antibody can be used in ELISA,WB. |
| Synonyms | ACTB |
| Ig Type | IgG |
| Reactivity | Plant |
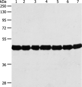
| Verified Activity | 1. Gel: 10%SDS-PAGE, Lysates (from left to right): Cinnamomum camphora leaves, Nicotiana tabacum leaves, Triticum aestivuml leaves, Arabidopsis thaliana leaves, Brassica campestris flowers, Brassica campestris leaves, Vicit Faba leaves, Amount of lysate: 50ug per lane, Primary antibody: 1/500 dilution, Secondary antibody dilution: 1/8000, Exposure time: 20 seconds. ![]() |
| Application | |
| Recommended Dose | WB: 1:500-2000 |
| Antibody Type | Polyclonal |
| Host Species | Rabbit |
| Construction | Polyclonal Antibody |
| Purification | Antigen affinity purification. |
| Appearance | Liquid |
| Formulation | Rabbit IgG in pH7.3 PBS, 0.05% NaN3, 50% Glycerol. |
| Research Background | Member of actin subclass composed of ACT12 and ACT4. RNA is expressed at very low levels in vegetative organs, low levels in flowers and very high levels in pollen. Expression of an ACT12/GUS fusion was found in vascular tissues, tapetum, developing and mature pollen, the root cap and in a ring of pericycle tissues during lateral root initiation and early development. |
| Conjucates | Unconjugated |
| Immunogen | A synthesized peptide: corresponding to residues near the N terminal of Arabidopsis thaliana actin |
| Uniprot ID |
| Molecular Weight | Actual: 42 kDa. |
| Stability & Storage | Store at -20°C or -80°C for 12 months. Avoid repeated freeze-thaw cycles. |
| Transport | Shipping with blue ice. |
| Size | Quantity | Unit Price | Amount | Operation |
|---|

Copyright © 2015-2026 TargetMol Chemicals Inc. All Rights Reserved.